ESTADIAJE DE TUMORES.
Para hacer el estadiaje local de un tumor óseo de comportamiento agresivo o no, la RM es la modalidad de elección. (6, 14).
El estadiaje corporal requiere de otros estudios, como TAC de tórax y abdomen, mamografía en mujeres, gamagrafía ósea, etc, para tratar de identificar lesión poliostótica o tumor metastásico. (6). (Fig 44 y 45).

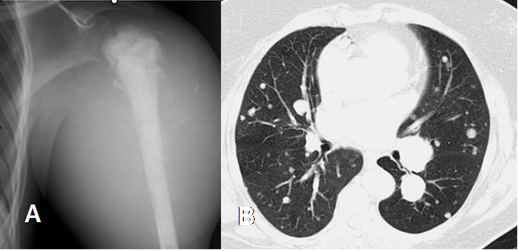
Fig 44. Estadiaje.
A: Rx AP. Masa de tejidos blandos con calcificación osteoide de la matriz, por osteosarcoma.
B: TAC axial. Múltiples nódulos pulmonares bien definidos, por enfermedad metastásica.

Fig 45. Lesiones múltiples.
Gamagrafía ósea. Múltiples lesiones con captación del trazador, por enfermedad metastásica.
Se utiliza la clasificación de Enneking y del AJCC (Clasificación del American Joint Committee on Cancer), para el estadiaje: (6, 15).
Sistema de Enneking: Se basa en 3 criterios:
Clasificación de la AJCC revisada en 2003 y basada en 4 criterios:
Los compartimientos son espacios anatómicos separados por cartílago, sinovial, fascias, ligamentos, periostio o huesos. El compromiso de estas barreras naturales, corresponde a extensión extracompartimental. (14, 15). (Fig 46 a 49).

Fig 46. Diagrama del estadiaje.
A: Lesión localizada en el compartimiento lateral del muslo.
B: Lesión que del compartimiento lateral se extiende al posterior, por comportamiento agresivo.

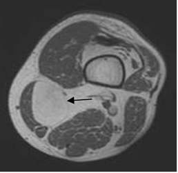
Fig 47. Estadiaje.
RM axial en T1. Lipoma intramuscular en el biceps femoral, que no cruza compartimientos.

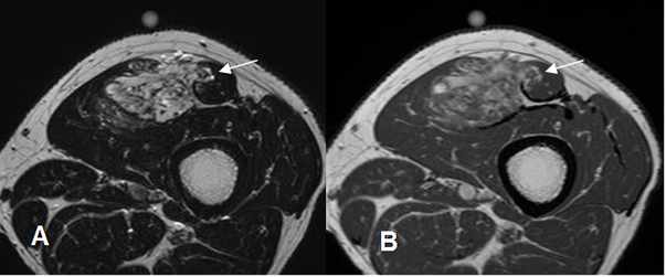
Fig 48. Estadiaje.
A: RM axial en T2 y B: RM axial en T1 con contraste. Histiocitoma fibroso maligno del recto anterior, que se extiende al músculo sartorio.

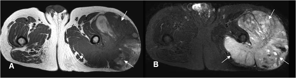
Fig 49 A. Estadiaje.
RM axial en T2. Liposarcoma que compromete los músculos vastos interno y externo, recto anterior y recto intermediario.

Fig 49 B. Estadiaje.
A: RM axial en T1 y B: RM axial en STIR. Tumoración de tejidos blandos en el muslo, que cruza compartimientos e invade los grupos musculares, correspondiendo a sarcoma de tejidos blandos.
Estadiaje de neoplasias benignas: (6).
| Fecha de creación | Marzo 1 de 2011 |
| Fecha de actualización | Enero 13, 2013 |