REACCION PERIOSTICA.
La reacción perióstica de los tumores óseos son de varios tipos y generalmente presentes, en patologías de comportamiento maligno. Algunos procesos benignos, pueden originar reacción perióstica de aspecto similar a lesiones malignas. Es vista en casos de osteomielitis, fracturas en proceso de consolidación, etc. (3, 4, 11, 12).
Se clasifica en ininterrumpida o continua e interrumpida. (3, 4, 11, 12).
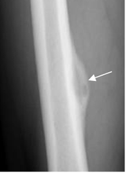
ININTERRUMPIDA: Formado por capas sólidas de densidad perióstica, que indica crecimiento lento y generalmente benigno. Ej: Osteoma osteoide, osteoblastoma, etc. (Fig 37 y 38).
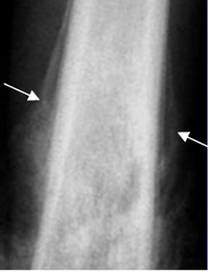
INTERRUMPIDA: Indica crecimiento rápido, que sugiere malignidad y pueden ser: (Fig 39).

Fig 37. Diagrama de reacción perióstica benigna.
Reacción en capa única, por crecimiento lento.

Fig 38. Reacción perióstica benigna.
Rx AP. Reacción perióstica continua, en un osteoma osteoide.

Fig 39. Diagrama de reacción perióstica agresiva.
Diferentes tipos de reacción perióstica: Triángulo de Codman, capas de cebolla, sol naciente y peine.

Fig 40. Reacción perióstica agresiva.
Rx AP. Reacción perióstica en capas de cebolla, por la presencia de osteosarcoma.

Fig 41. Reacción perióstica agresiva del osteosarcoma.
A: Rx AP. Reacción perióstica en peine.
B: Rx AP y C: TAC axial. Reacción perióstica en sol naciente.

Fig 42. Reacción perióstica agresiva.
Rx AP. Reacción perióstica de un osteosarcoma, del tipo triángulo de Codman.
| Fecha de creación | Marzo 1 de 2011 |
| Fecha de actualización | Marzo 5, 2015 |