TUMORES DE TEJIDOS BLANDOS.
Son tumores raros y los benignos son mucho mas comunes. Son difíciles de cuantificar, porque muchos lipomas, hemangiomas y otros, no son confirmados. (5).
Las lesiones son típicamente únicas. Las múltiples sugieren lipomas, tumores desmoides o neurofibromatosis. (5).
Se han utilizado algunos criterios para diferenciar entre una lesión de tejidos blandos benigna y maligna, aunque existen muchas discrepancias: (5). (Fig 50A).

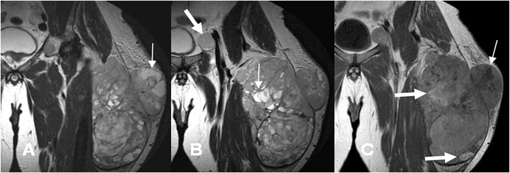
Fig 50 A. Sarcoma pleomórfico indiferenciado.
A y B: RM coronal en T2. Lesión de tejidos blandos, de bordes definidos con una seudocápsula, comportamiento agresivo y 10 cm de diámetro mayor. Muestra señal heterogénea, con algunas zonas quísticas (Flechas delgadas) y adenopatía metastásica inguinal. (Flecha gruesa).
C: RM coronal en T1 con contraste. Gran porcentaje del tumor realza con el contraste, pero se identifican zonas hipointensa, por necrosis. (Flechas delgadas). Existen zonas hiperintensas, por sangrado subagudo. (Flechas gruesas).
Como en los tumores óseos, la RM es la modalidad de elección, para hacer el estadiaje en los tumores de tejidos blandos. (14).
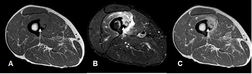
Se considera que hay invasión osea, si se pierde la interfaz entre la cortical del hueso y la lesión, en un corte axial de T1 o hay edema peritumoral o cambios reactivos en T2. El
compromiso de la cortical, con aumento de su señal, debe buscarse en los planos axial y sagital, para evitar falsos positivos. (14). (Fig 50 B).
El compromiso de la circunferencia se clasificado en menor del 25%, entre 25% y 50% y mayor del 50%. (14).

Fig 50 B. Compromiso menor de la cortical .
A: RM axial en T1, B: RM axial en STIR y C: RM axial en T1 con contraste. Sarcoma de tejidos blandos, que compromete un 20% de la circunferencia de la cortical.
En resumen se puede predecir malignidad con alta sensibilidad, si se encuentra una lesión de tejidos blandos hiperintensa y heterogénea en T2, mayor de 33 mm de diámetro. Hay una alta especificidad de malignidad, si existe necrosis tumoral, compromiso óseo o neurovascular y un tamaño mayor de 66 mm. (5). (Fig 49).
| Fecha de creación | Marzo 1 de 2011 |
| Fecha de actualización | Marzo 5, 2015 |