LOCALIZACION DE TUMORES.
Para localizar los tumores, se puede hacer una clasificación longitudinal o transversal de la lesión: (4, 12).
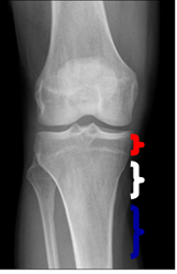
LONGITUDINAL: (Fig 16).

Fig 16. Localización longitudinal.
Rx AP. Zona roja: Epífisis, Blanca: Metáfisis y Azul: Diáfisis.

Fig 17. Lesión epifisiaria.
A: Rx AP y B: TAC reconstrucción coronal. Lesión epifisiaria, que corresponde a condroblastoma.

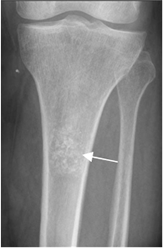
Fig 18. Lesión metafisiaria.
A: Rx AP y B: RM coronal en T1. Lesión metafisiaria secundaria a osteosarcoma.

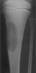
Fig 19. Lesión diafisiaria.
Rx AP. Imagen compatible con encondroma, en la diafisis tibial.
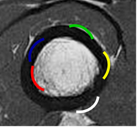
TRANSVERSAL: (Fig 20).

Fig 20. Localización transversal.
RM axial en T1. Zona roja: Lesión central. Azul: Excéntrica. Amarilla: Superficial y
Verde: De tejidos blandos.

Fig 21. Lesión central.
A: Rx AP. Lesión central en la tibia distal, por quiste simple.
B: TAC axial. Lesión central en el cuello femoral, por condroblastoma.

Fig 22. Lesión excéntrica.
Rx AP. Lesión excéntrica en la diáfisis tibial, por defecto fibroso cortical.

Fig 23. Localización cortical.
RM axial en T1. Zona roja: Lesión endostal. Azul: Intracortical. Amarilla: Subperióstica. Verde: Perióstica y Blanca: Parosteal.

Fig 24. Lesión cortical.
A: Rx AP. Lesión expansiva de localización subperióstica, por metástasis de neoplasia renal.
B: Rx AP. Exostosis en cortical de la tibia proximal, por osteocondroma.
C: TAC axial. Lesión parosteal, secundaria a osteosarcoma.

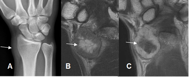
Fig 25. Lesión de tejidos blandos.
A: Rx AP. Prominencia de los tejidos blandos en la muñeca, sin compromiso óseo.
B: RM coronal en T2 y C: RM coronal en T1 con contraste. Imagen de tejidos blandos de predominio fibroso y necrosis central, que corresponde a schwanoma del nervio radial.
| Fecha de creación | Marzo 1 de 2011 |
| Fecha de actualización | Diciembre 8, 2011 |