TUMOR METASTASICO.
Son los tumores óseos malignos mas frecuentes y deben ser tenidos en cuenta, en las personas mayores. (3).
Hasta el 70% de los pacientes con un tumor primario conocido, tienen metástasis óseas. (57). Provienen frecuentemente de mama, pulmón, próstata, riñón y tiroides.
La mayoría afectan la columna, cráneo, pelvis y parte proximal de los huesos largos. Son muy raras en la parte distal, los codos y las rodillas. (3, 57). (Fig 222).
Se producen por diseminación hematógena. La columna vertebral es el sitio mas común, por su alta vascularización y el alto contenido de medula ósea roja. (3, 57).

Fig 222. Metástasis.
Mayor frecuencia en adultos mayores. Predominio en columna, huesos planos y parte proximal
de los huesos largos. Lesión metafisodiafisiaria, de ubicación cortical o excéntrica.
La apariencia de las metástasis depende del balance entre el tumor y la repuesta del hueso afectado. Han sido clasificadas en 3 tipos dependiendo de la reacción ósea: (58, 59).
Una mejor descripción de este tipo de lesiones, se realiza en el capítulo dedicado a la medula ósea.
Las líticas son hipointensas en T1 e hiperintensas en T2 y las blásticas hipointensas en ambas secuencias, por la presencia de menos tumor entre las trabéculas escleróticas. (58). (Fig 223 a 228).
La presencia de un halo hiperintenso a la lesión, que corresponde a edema, es un indicador de alta especificidad de lesión metastásica. (58). (Fig 229).
Existe otro tipo de metástasis conocida como lesión intertrabecular, que se encuentra hasta en un tercio de los casos. Este tipo de lesión no produce alteración ósea y no son detectadas con Rx simple, ni con gamagrafía. (3, 59). (Fig 230 y 231).
El compromiso de la cortical, es un factor clave para la temprana detección de las lesiones con gamagrafía. (57). Las lesiones aisladas de la medula ósea, pueden dar falsos negativos y detectarse únicamente con la RM. (3, 57, 59).
La tomografía por emisión de positrones con contraste (PET), es la modalidad mas sensible para la detección de enfermedad metastásica. (3).
Hasta la mitad de las micrometástasis o lesiones menores de 3 mm, no son detectadas por ninguna modalidad. (59).

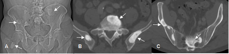
Fig 223. Metástasis blásticas.
A: Rx AP, B y C: TAC axial. Múltiples lesiones densas en los huesos iliacos, columna y fémur derecho, por metástasis blásticas de neoplasia pulmonar.



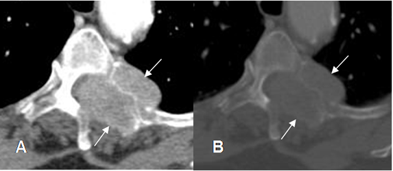
Fig 225. Metástasis líticas.
A: TAC axial en ventana de tejido y B: TAC axial en ventana osea. Lesión lítica que compromete los elementos posteriores en el lado izquierdo, por metástasis de neoplasia renal. Hay masa de tejidos blandos, que se extiende hacia el canal medular.

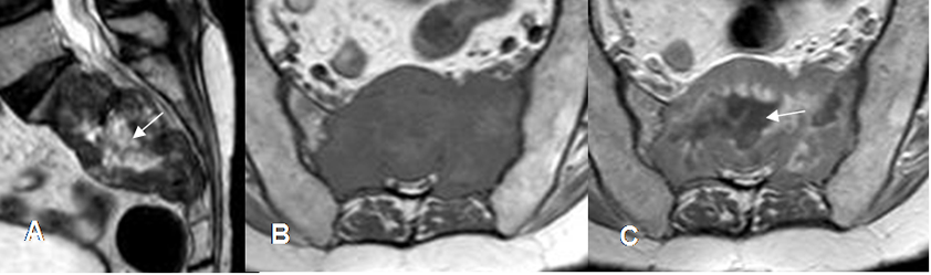
Fig 226. Metástasis líticas
A: RM sagital en T2. Lesión neoplásica que compromete el sacro, de señal heterogénea con predominio hipointenso y centro hiperintenso. (Flecha).
B: RM axial en T1 y C: RM axial en T1 con contraste. La lesión compromete el sacro y se extiende hasta el canal medular. Muestra realce heterogéneo, con centro necrótico (Flecha), secundario a lesión metastásica de neoplasia pulmonar.

Fig 227. Metástasis mixtas.
A: TAC reconstrucción sagital en ventana de tejido, B: TAC reconstrucción sagital en ventana ósea y C: TAC axial Múltiples lesiones líticas (Flechas delgadas) y blásticas (Flechas gruesas), por neoplasia de mama.

Fig 228 A. Metástasis mixtas.
A: RM sagital en T1, B: RM sagital en T2 y C: RM sagital en STIR. Igual paciente anterior. Alteración en la señal de L2 y L4, hipointensas en T1 y T2 e hiperintensas en STIR, por metástasis mixtas de neoplasia de mama.
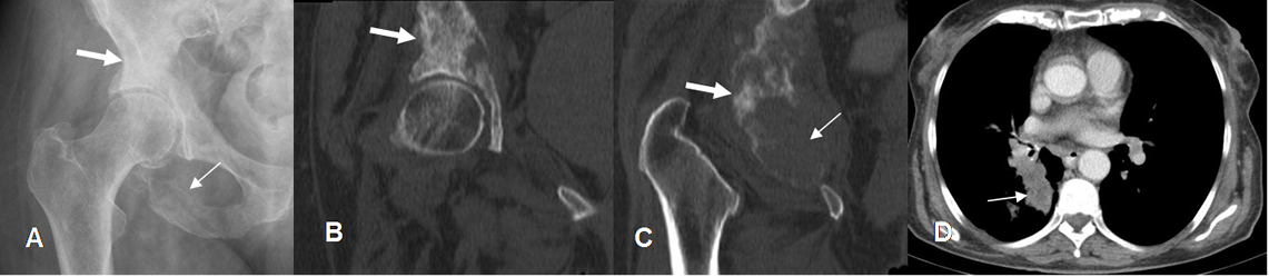
Fig 228 B. Metástasis mixta.
A: Rx AP, B y C: TAC reconstrucción coronal y D: TAC axial de tórax. Lesiones líticas en el ramo isquiopúbico (Flechas delgadas) y blásticas en el acetábulo (Flechas gruesas), que rodean la cadera, correspondiendo a enfermedad metastásica de pulmón.

Fig 229. Tumor metastásico.
A: RM sagital en T1. Lesiones hipointensas en D12 y L1, por enfermedad metastásica de próstata.
B: RM sagital en T1 con contraste. Realce con halo hiperintenso, signo de enfermedad metastásica.

Fig 230. Micrometástasis.
A: Rx lateral. No se encuentran alteraciones.
B: TAC reconstrucción sagital y C: TAC axial. Múltiples lesiones líticas vertebrales, por micrometástasis secundaria a infiltración leucémica.

Fig 231. Micrometástasis.
A: RM sagital en T1, B: RM sagital en T2 y C: RM axial en T1. Múltiples imágenes hipointensas en ambas secuencias,
menores de 1 cm, en un paciente con neo de próstata, por micrometástasis.
| Fecha de creación | Marzo 1 de 2011 |
| Fecha de actualización | Diciembre 20, 2011 |