OTROS TUMORES MALIGNOS DE TEJIDOS BLANDOS.
Leiomiosarcoma:
Es el 3º tumor maligno de tejidos blandos en frecuencia. (26).
Es común en adultos entre los 50 y 60 años y de predominio en el retroperitoneo.
Puede ser superficial o profundo y ocasiona una masa de tejidos blandos, de señal intermedia en T1 y T2, con sangrado y necrosis central. (26). (Fig 219).

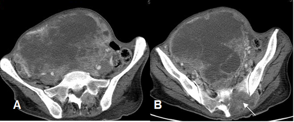
Fig 219. Leiomiosarcoma.
A y B: TAC axial. Gran lesión heterogénea en el retroperitoneo, por leiomiosarcoma.
En B hay lesión lítica del sacro.
Metástasis musculares:
Son muy frecuentes las originadas de adenocarcinoma de mama, riñón, pulmón y tracto gastrointestinal. (26).
Aparecen en el diafragma, músculos intercostales, deltoides y recto abdominal. (26).
Son masas redondeadas, de apariencia inespecífica y con necrosis. Presentan abundante edema y son hiperintensas en T2. (26). (Fig 220 A y B).
Las metástasis subcutáneas son mas frecuentes que las profundas, de tumor de mama, melanoma y linfoma. Producen nódulos, que reemplazan la grasa subcutánea. (6). (Fig 221).
Fig 220 A. Metástasis muscular.
A: TAC axial en ventana de tejido y B: en ventana ósea. Neoplasia pulmonar con adenopatías peritraqueales. Existen metástasis en los tejidos blandos, en relación con el músculo subescapular izquierdo (Flechas delgadas) y lesión lítica costal derecha. (Flechas gruesas).

Fig 220 B. Metástasis subcutánea.
A y B: TAC axial con contraste. Neoplasia pulmonar central izquierda, con derrames pleurales bilaterales, adenopatías mediastinales e hiliares contralaterales. En B se encuentra imagen redondeada y superficial en los tejidos blandos, que corresponde a metástasis subcutánea.
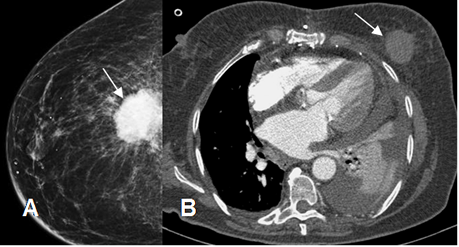
Fig 221. Neoplasia de mama.
A: Mamografía y B: TAC axial. Masa densa y espiculada en la región profunda de la mama, por neoplasia. En la TAC hay además atelectasia y derrame pleural, por enfermedad metastásica.
| Fecha de creación | Marzo 1 de 2011 |
| Fecha de actualización | Enero 31, 2012 |