TUMORES DE TEJIDOS BLANDOS NO NEOPLASICOS.
Cuando se encuentra una masa palpable, la ecografía es la mejor y mas rápida modalidad para la valoración inicial y determinar la consistencia sólida o líquida de la lesión. La Rx simple contribuye poco o puede mostrar calcificaciones u osificación. (56).
Hay varios tipos de lesiones: (56).
Son ocasionados por trauma cerrado o abierto. Su apariencia en ecografía es variable. Los agudos pueden ser hiperecoicos y los crónicos anecoicos, con bordes bien definidos o irregulares. (Fig 208).
Con la TAC se aprecia lesión focal, que compromete los tejidos blandos superficiales o los grupos musculares.
(Fig 209 A).
En la RM la señal depende de la degradación de la hemoglobina (Hb). Los agudos y menores de 48 horas son hipointensos en T1 y T2. Los subagudos son hiperintensos en T1, debido a la presencia de metaHb y los crónicos presentan halo hipointenso en T2, secundario a la hemosiderina. (Fig 209 B).
En todos los casos se identifican las lesiones musculares asociadas, con la ecografía y la RM.
Los hematomas se diferencian de tumores que sangran, porque disminuyen de tamaño progresivamente y sus contornos no realzan con el contraste.
En caso de requerirse, la biopsia debe hacerse en un área no hemorrágica.

Fig 208. Hematoma muscular.
A: Rx lateral de pierna. Prominencia en los tejidos blandos de la región posterior.
B: Ecografía axial. Colección líquida dentro del músculo gemelo, por hematoma.

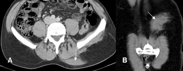
Fig 209 A. Hematoma muscular.
A: TAC axial y B: TAC reconstrucción coronal. Imagen ovalada y densa, por detrás de los músculos paravertebrales en el lado izquierdo, que aparece después de un trauma y corresponde a hematoma de tejidos blandos.

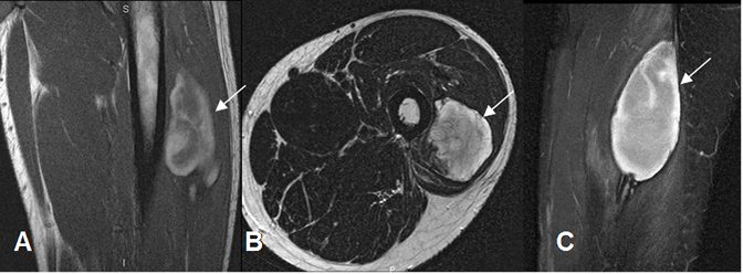
Fig 209 B. Hematoma muscular subagudo.
A: RM coronal en T1. Colección heterogénea en el músculo vasto externo, con áreas hiperintensas por evolución subaguda.
B: RM axial en T2 y C: RM sagital en STIR. Colección intramuscular, definida e hiperintensa.
Aparece en adolescentes y adultos jóvenes, después de lesiones musculares parcialmente calcificadas. Generalmente son secundarias a patología traumáticas, aunque el antecedente no se encuentra en todos los casos.
Son lesiones bien definidas y con calcificación periférica en Rx y TAC. Las calcificaciones de tumores generalmente son centrales. (Fig 210A y 210B).
En RM es hipointensa en T1, señal intermedia o alta en T2 y con area hipointensa, que corresponde a la calcificación.

Fig 210A. Calcificación.
Ecografía. Imagen ecogénica y superficial que produce sombra acústica.
Corresponde a calcificación inespecífica de los tejidos blandos.

Fig 210B. Miositis osificante.
A: Rx de cadera y B: TAC axial. 2 casos diferentes donde existe calcificación de tejidos blandos en relación con grupos musculares, por miositis osificante.
Ocurren por reacción inflamatoria secundaria, con o sin infección.
Se puede identificar con Rx, ecografía, TAC o RM dependiendo de su composición. (Métal, vidrio, madera, etc). (Fig 211 y 212).

Fig 211. Cuerpo extraño. Paciente con antecedente de trauma abierto en la cara.
A: Rx AP. Imagen lineal y densa.
B: Ecografía. Imagen ecogénica con hiper-refringencia posterior.
C: TAC axial y D: TAC reconstrucción en 3D. Imagen densa proyectada por debajo del hueso malar, que corresponde a cuerpo extraño. (Vidrio).

Fig 212. Cuerpo extraño.
A: Rx lateral. Prominencia de los tejidos blandos en la parte anterior de la pierna.
B: RM sagital y C: RM axial en T2. Imagen hipointensa y rodeada por líquido, que corresponde a cuerpo extraño de madera.
También es una reacción a cuerpo extraño, que se fibrosa y calcifica. (Fig 213, 214 y 215).

Fig 213. Granuloma.
A: Rx AP y B: TAC axial. Presencia de granulomas calcificados en ambas regiones glúteas.

Fig 214. Granuloma.
Ecografía. Lesión de tejidos blandos bien definida y de consistencia sólida, por granuloma de tejidos blandos.

Fig 215. Granuloma.
A: Rx AP. Calcificaciones proyectadas sobre la parte interna del acetábulo.
B: Ecografía. Imagen ecogénica en la región glútea, que produce sombra acústica por calcificación.
C: RM axial y D: RM coronal en T1. La lesión es hipointensa en todas las secuencias y corresponde a granuloma.
Son masas pulsátiles, con bordes calcificados en la Rx. Tienen continuidad con un vaso, señal doppler en su interior y ausencia de flujo en RM, si no está trombosado. (Fig 216).

Fig 216. Lesión vascular.
A: RM sagital en T1 y B: RM sagital en T2. Imagen ovalada que ocupa la fosa poplítea, de señal heterogénea.
C: AngioRM con contraste. Se confirma la formación de un aneurisma de la poplítea, el cual está parcialmente trombosado.
Pueden ocasionar reacción a cuerpo extraño y ser multiseptados. Cuando el contenido es rico en proteínas, la señal puede ser alta en T1. (Fig 217 A, B y C).

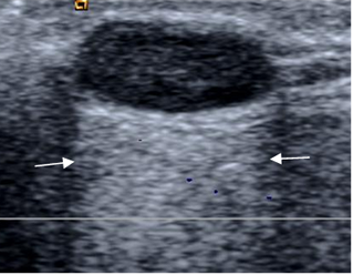
Fig 217 A. Quiste sebáceo.
Ecografía. Imagen ovalada, superficial y bien definida, con ecos internos. Produce reforzamiento posterior, lo que indica su composición líquida.

Fig 217 B. Quiste de inclusión.
A: RM axial en T1 y B: RM axial en T2. Formación de imagen quística en la planta del pie, que aparece después de la extracción de un cuerpo extraño, por quiste de inclusión.

Fig 217 C. Quiste de inclusión.
A: Rx lateral, B: RM sagital en T1, C: RM sagital en T2 y D: RM sagital en STIR.
Lesión de tejidos blandos y consistencia quística, que erosiona la parte posterior de la falange distal, del 3º dedo.
Pueden ser dolorosos y causar sintomatología por compresión de estructuras (Sindrome del carpo, del tarso, etc.). En ecografía son anecoicos, aunque puede ser lobulados y con septos. En la TAC son hipodensos y con señal variable en RM según su contenido, con septos y borde hipointensos en T2. Ej: Quiste de Baker, bursitis, quistes parameniscales. (Fig 218 A, B y C).
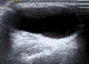
Fig 218 A. Ganglión.
Ecografía sagital. Lesión de consistencia líquida en el dorso de la muñeca, por ganglión.

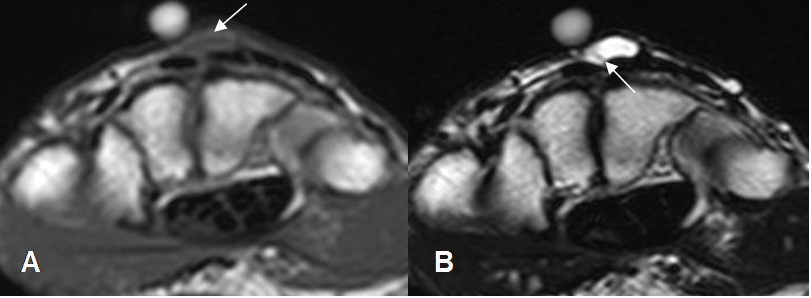
Fig 218 B. Ganglión quístico.
A: RM axial en T1 y B: RM axial en T2. Lesión isointensa en T1 e hiperintensa en T2 en el dorso del carpo, por ganglión.
Se observa septo delgado en T2. (Flecha).

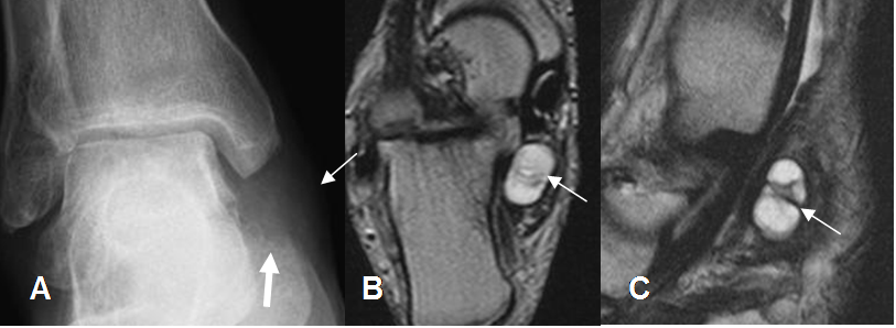
Fig 218 C. Sindrome del tarso.
A: Rx AP. Prominencia de tejidos blandos por debajo del maléolo interno (Flecha delgada), que erosiona en calcáneo. (Flecha gruesa).
B: RM axial y C: RM sagital en T2. Lesión ovalada, de consistencia líquida, en relación con el tendón del tibial posterior, que ocupa el canal del tarso, por ganglión.
| Fecha de creación | Marzo 1 de 2011 |
| Fecha de actualización | Abril 5, 2015 |