SCHWANOMA.
Es una lesión excéntrica al nervio, originada del epineuro. (44, 45).
Son comunes entre los 20 y 30 años y compromete los nervios espinales, la cadena simpática de cuello y cara y las extremidades, con predominio en el ulnar y el peroneo. (45). (Fig 173 A).
La mayoría son móviles y asintomáticos y se pueden separar del nervio de origen. (45).
Mediante ecografía es difícil diferenciar un neurofibroma, de un schwanomas. Se encuentran como lesión hipoecoica, bien definida y fusiforme, que sigue la distribución de una raíz nerviosa. (9). (Fig 173 B).
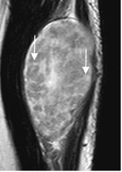
Con RM la imagen es ovalada, isointensa al músculo en T1 e hiperintensa y heterogénea en T2. Presenta borde bien definido, denso en TAC e hipointenso en RM, que corresponde al epineuro. (44, 45). (Fig 174, 175 y 176).
Es clásico el signo de target en los tumores neurogénicos, mas frecuente en el neurofibroma. Se describe como zona hipointensa en T2, dentro de una lesión hiperintensa, que corresponde a un foco de fibrosis central. (44). (Fig 177).
Otro hallazgo que sugiere origen neurogénico, es el signo fascicular. Corresponden a imágenes anulares en T2, con periferia mas hiperintensa. (45). (Fig 178 A).
Los tumores malignos son mas sintomáticos con dolor y déficit motor. Comprometen troncos grandes, como ciático, plejo braquial y lumbosacro. (45).
Por imágenes se encuentra una lesión grande, de borde mal definido y con signos de hemorragia y necrosis. Hay realce variable del contraste, de forma heterogénea o periférica. (44, 45). (Fig 178 B).

Fig 173 A. Schwanoma.
Mayor frecuencia entre los 20 y 30 años. Lesión de tejidos blandos con predominio en nervios paraespinales, cadena simpática, nervio ulnar y peroneo.

Fig 173 B. Neurofibroma.
A y B: Ecografía. Imagen ovalada, de bordes bien definidos y consistencia heterogénea, con algunas zonas quísticas. En el doppler es poco vascularizada y corresponde a neurofibroma.


Fig 176. Neurofibroma.
A: RM coronal en T1 simple y B: RM coronal en T1 con contraste. Imagen fusiforme que sigue la topografía del nervio ulnar, con realce del contraste secundario a neurofibroma.

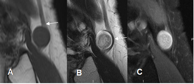
Fig 177. Signo de Target.
A y B: RM axial en T2. Neurofibromas en el nervio ulnar, con signo de Target. (Zona hipointensa central).

Fig 178 A. Signo fascicular.
RM sagital en T2. Imágenes anulares y de bordes hiperintensos, por lesión de origen neurogénico

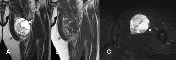
Fig 178 B. Schwanoma.
A: RM coronal en T2 y B: RM coronal en T1 con contraste. Lesión redondeada y de bordes bien definidos, sobre los músculos aductores. Tiene consistencia mixta con áreas quísticas y realce del contraste en las zonas sólidas.
C: RM axial en STIR. Se identifica nivel líquido-líquido, por sangrado.
| Fecha de creación | Marzo 1 de 2011 |
| Fecha de actualización | Abril 5, 2015 |