SARCOMA SINOVIAL.
Patología que ocurren cerca de la articulación, pero sin origen intra-articular. (50).
Ocurre en adolescentes y adultos jóvenes, entre los 15 y 40 años, con predominio en la fosa poplítea. (50, 51). (Fig 199).
Produce síntomas leves y tiene crecimiento lento inicialmente, que lo hace confundir con patología benigna. (50).
Muestra grado de malignidad intermedio.
En la Rx se aprecia masa de tejidos blandos, con calcificación periférica o excéntrica y puede erosionar el hueso vecino. (50). (Fig 199 A).
En la TAC aparece una lesión multilobular, profunda y heterogénea, similar o hipodensa al músculo, con áreas de necrosis y sangrado. (50, 51).
En la RM imagen bien definida, heterogénea, hipointensa en T1 e hiperintensa en T2. La señal heterogénea es conocida como el triple signo: señal hipointensa, intermedia e hiperintensa en T2 por su celularidad, edema, componente quístico, sangrado, necrosis, calcificación y fibrosis. Contiene septos que realzan con el contraste y niveles líquido/líquido. (50, 51). (Fig 199 A y B).
Fig 199. Sarcoma sinovial.
Mayor frecuencia entre 15 y 40 años. Lesión de tejidos blandos, con predominio en la fosa poplítea.

Fig 199 A. Sarcoma sinovial.
A: Rx AP. Prominencia de los tejidos blandos, en la parte interna y externa del muslo.
No se identifica compromiso óseo.
B y C: Ecografía: Se encuentra masa de tejidos blandos de ecogenicidad heterogénea, con algunas zonas quísticas y con aumento focal de su vascularización.

Fig 199 B. Sarcoma sinovial.
A: RM coronal en T1, B: RM coronal en T2, C y D: RM coronal en STIR. Igual paciente anterior. Lesión de tejidos blandos de predominio sólido, aunque con algunas áreas quísticas. (Flechas delgadas). No ocasiona compromiso óseo y se asocia con adenopatía inguinal. (Flechas gruesas).

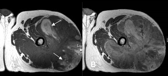
Fig 199 C. Sarcoma sinovial.
A: RM axial en T1 simple y B: RM axial en T1 con contraste. Igual paciente anterior.
Lesión de comportamiento agresivo, que cruza compartimientos. Muestra algunas áreas hiperintensas por sangrado subagudo (Flechas) y realce heterogéneo del contraste.
| Fecha de creación | Marzo 1 de 2011 |
| Fecha de actualización | Febrero 24, 2014 |