SARCOMA DE EWING.
Es el 2º tumor maligno mas frecuente en niños y adolescentes, después del osteosarcoma y se origina de células neuroectodérmicas primitivas. (37).
Tiene un pico de aparición entre los 10 y 15 años. (18, 37).
Aparece en la región metafisodiafisiaria, de los huesos largos, con predominio en el fémur, la tibia y el sacro. (18, 37). (Fig 125).
Se manifiesta con fiebre y masa palpable. Algunos síntomas pueden simular un proceso infeccioso, lo que puede retardar el diagnóstico y empeorar el pronóstico. (37).
En la Rx se identifica una lesión central de características agresivas, reacción perióstica en capas de cebolla, masa de tejidos blandos y sin mineralización de la matriz, (13, 18, 37). (Fig 126 A y B).
En la RM es hipo o isointensa en T1 y T2 por la alta celularidad. Señal heterogénea en la masa de tejidos blandos y realza con el contraste. (37).
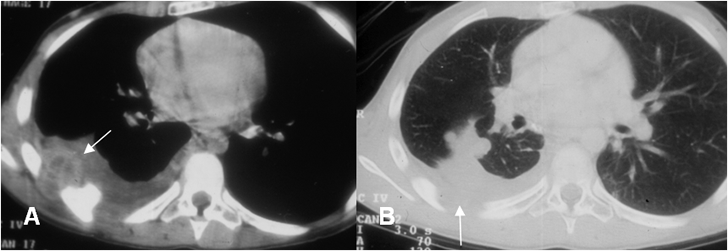
Se debe descartar enfermedad metastásica pulmonar y lesiones skip, lo que empeora el pronóstico. (37). (Fig 127).
La recurrencia del tumor después del tratamiento es alta. (37).

Fig 125. Sarcoma de Ewing.
Mayor frecuencia entre los 10 y 15 años. Predominio en huesos largos y el sacro.
Lesión metafisodiafisiaria, de ubicación central.

Fig 126 A. Sarcoma de Ewing.
A: Rx AP. Lesión moteada en la diáfisis tibial, sin ruptura de la cortical, ni masa de tejidos blandos, por sarcoma de Ewing.
B: Rx AP. Imagen moteada en el fémur distal, con reacción perióstica agresiva (Flechas), masa de tejidos blandos y sin calcificación de la matriz, por sarcoma de Ewing.

Fig 126 B. Sarcoma de Ewing.
A: Rx AP. Prominencia de tejidos blandos en la parte interna del muslo, con remodelación del fémur y reacción perióstica en capas de cebolla.
B: TAC axial. Masa heterogénea de tejidos blandos que compromete los músculos posteriores y con zonas hipodensas por necrosis. (Flechas delgadas). Hay reacción perióstica ósea. (Flecha gruesa).

Fig 127. Sarcoma de Ewing.
A: TAC axial en ventana de tejido y B: TAC axial en ventana de hueso. Tumoración de localización extrapleural, la cual destruye los arcos costales y que corresponde a sarcoma de Ewing.
| Fecha de creación | Marzo 1 de 2011 |
| Fecha de actualización | Agosto 20, 2012 |