QUISTE SIMPLE.
Existen 3 hipótesis, sobre el origen de la lesión: (13):
En muchos casos hay una lesión pre-existente, como el tumor de células gigantes, osteoblastoma, condroblastoma, etc. (13, 39).
Se encuentra entre 5 y 15 años y puede ser asintomático o presentar dolor, por una fractura patológica. (35). (Fig 139).
Compromete la metáfisis de los huesos largos, con predominio del húmero y fémur proximal. (35, 38). (Fig 134).
Se aprecia como imagen osteolítica, expansiva, excéntrica, con bordes bien definidos Aunque generalmente es unicameral, puede presentar septos y dar la apariencia de burbujas de jabón. (35, 39). (Fig 135 y 136). No presenta reacción perióstica, lo que ayuda a diferenciarlo del quiste óseo aneurismático, que si la tiene. (3).
El signo del fragmento caído es patognomónico. Se produce por un fragmento fracturado de la cortical, que flota dentro del líquido. (35).
En la RM la lesión es lobulada y con septos. Presenta niveles líquido/líquido, que requieren de al menos 10 minutos del paciente acostado en la mesa de examen, para su formación. En T1 puede tener señal mas alta que el agua, por el alto contenido de proteínas o la presencia de sangrado subagudo. (13, 35, 39). (Fig 137 y 138).
Puede sanar dejando una zona residual y calcificada. (39).
En algunos casos la primera manifestación de esta entidad, puede ser una fractura patológica. (Fig 139 A y B).

Fig 134. Quiste óseo simple.
Mayor frecuencia entre los 5 y 15 años. Predominio en la parte proximal de los huesos largos.
Lesión metafisiaria, de ubicación excéntrica.

Fig 135. Quiste óseo simple.
A: Rx AP, B: TAC reconstrucción sagital y C: TAC axial. Imagen ovalada y de bordes escleróticos en el escafoides, por quiste simple.

Fig 136. Quiste óseo simple.
A: TAC reconstrucción sagital, B y C: TAC axial. Imagen central de bordes parcialmente definidos, que reemplaza le medular del tercio proximal del fémur y corresponde a quiste simple.

Fig 137. Quiste óseo simple.
A: Rx AP. Imagen central y diafisiaria, de bordes bien y escleróticos.
B: RM sagital en T1, C: RM sagital en T2 y D: RM sagital en STIR. La lesión sigue la señal de intensidad del agua en todas las secuencias y corresponde a quiste simple.

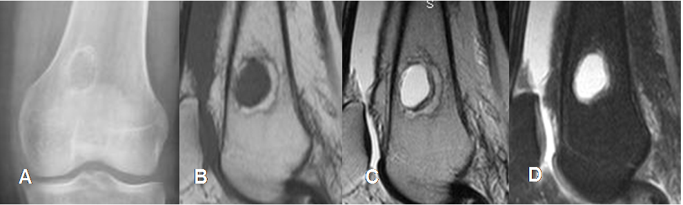
Fig 138. Quiste óseo simple.
A: Rx lateral. Lesión radiolúcida y de bordes definidos, no escleróticos en el calcáneo.
B: RM axial en T1 y C: RM sagital en T2. Quiste simple, pero llama la atención, la señal intermedia en T1, por el alto contenido de proteínas.

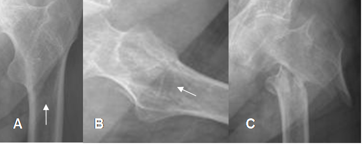
Fig 139 A. Quiste óseo simple.
A: Rx AP y B: Rx axial. Paciente de la Fig 136, con sutil imagen radiolúcida en el fémur proximal.
C: Rx AP. Meses después, presenta fractura patológica subtrocantérica.

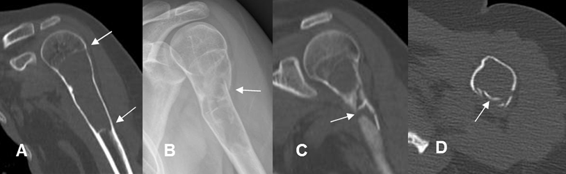
Fig 139 B. Fractura patológica.
A: TAC reconstrucción coronal. Alteración en la medular del tercio proximal del húmero, por quiste óseo simple.
B: Rx AP, C: TAC reconstrucción coronal y D: TAC axial. Después de un trauma directo se identifica deformidad y solución de continuidad en la parte posterior, por fractura patológica y conminuta.
| Fecha de creación | Marzo 1 de 2011 |
| Fecha de actualización | Febrero 24, 2014 |