OSTEOSARCOMA.
Es el tumor maligno primario originado de la matriz osteoide, que ocupa el 2º lugar en frecuencia, después del mieloma. (16).
Tiene 2 picos de aparición. Entre los 10 y 25 años y después de los 40, originado de lesiones previas, como la enfermedad de Paget, cambios por radioterapia, displasia fibrosa, osteomielitis crónica, etc. (13, 16, 18).
Clínicamente se asocia con dolor y prominencia de la región.
Se desarrolla en las metáfisis de los huesos largos y el 50% aparece alrededor de la
rodilla. El siguiente lugar es el húmero proximal. (16). (Fig 68).
Tienen una apariencia heterogénea en Rx, con zonas líticas y blásticas. Las zonas de
esclerosis corresponden a calcificación de la matriz. Ocasiona una lesión destructiva o
permeativa central, con ruptura de la cortical y masa de tejidos blandos. (13, 16).
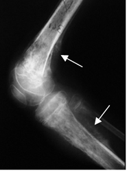
La reacción perióstica es de tipo agresivo, tipo triángulo de Codman, peine, sol naciente
o multilaminar. (16). (Fig 40, 41, 42 ver generalidades de tumores y 69).
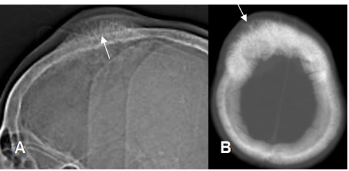
El TAC permite detectar las calcificaciones de la matriz. (16). (Fig 70 A y B).
La RM se utiliza para hacer el estadiaje local, evaluar toda la longitud del hueso y
detectar lesiones skip. Estas también denominadas lesiones satélites, están separadas del
tumor original por medula osea normal. Son poco frecuentes y corresponden a metástasis
intramedulares o un tumor multifocal. (16).
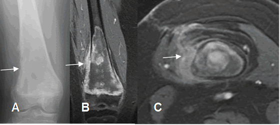
La imagen clásica es una lesión heterogénea hipointensa en T1, hiperintensa en T2 y
STIR, con masa de tejidos blandos y que realza con el contraste. Las áreas de
calcificación son hipointensas en todas las secuencias. Se pueden encontrar signos de
necrosis y sangrado. (16). (Fig 71 A, 71 B y 71 C).
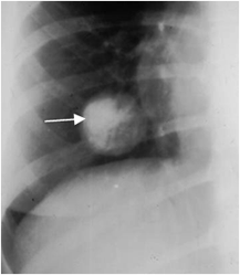
Las metástasis pulmonares del osteosarcoma, pueden calcificar. (16). (Fig 72).
Este tipo de tumor se ha dividido en varios subtipos:
A diferencia de los otros tipos tiene predominio diafisiario. (18). Produce erosión cortical, con reacción perióstica en peine. Su origen condroblástico, produce baja densidad en la TAC e imagen hipointensa en T1 y T2.
Los osteosarcomas también pueden ser:
Fig 68. Osteosarcoma.
Dos picos de aparición entre la 2º y 3º décadas y después de los 40 años. Predominio en los huesos largos. Lesión metafisiaria, de ubicación excéntrica y cortical.

Fig 69. Osteosarcoma.
Rx lateral. Reacción perióstica en peine en la parte posterior del fémur, por osteosarcoma parosteal.

Fig 70 A. Osteosarcoma.
A: Rx lateral. Reacción perióstica en sol naciente, con prominencia de tejidos blandos.
B: TAC axial. Calcificación osteoide de la matriz, con reacción perióstica en sol naciente.

Fig 70 B. Osteosarcoma.
TAC axial. Engrosamiento de la tibia proximal, con formación de matriz osteoide. (Flecha delgada). Existe masa de tejidos blandos y destrucción de la cortical (Flecha gruesa), por osteosarcoma.
Fig 71 A. Osteosarcoma.
A: Rx AP y B: TAC axial. Lesión expansiva de comportamiento maligno y origen cortical.
C: RM axial en STIR y D: RM coronal en STIR. También se encuentra compromiso medular
y gran masa heterogénea de tejidos blandos, por osteosarcoma.

Fig 71 B. Osteosarcoma.
A: Rx AP, B: RM coronal en STIR y C: RM axial en STIR. Lesión permeativa en el fémur distal, acompañada por masa de tejidos blandos, que corresponde a osteosarcoma.

Fig 71 C. Osteosarcoma.
A: Rx lateral y B: Rx AP. Lesión permeativa en el fémur distal, con reacción perióstica en triángulo de Codman y masa de tejidos blandos.
C: RM axial en T1 con contraste. Masa de tejidos blandos que realza con el contraste, con áreas de necrosis.

Fig 72. Metástasis osteosarcoma.
Rx PA. Lesión redondeada y con calcificación excéntrica, que corresponde a metástasis de un osteosarcoma.

Fig 73. Osteosarcoma.
Rx lateral. Imágenes permeativas en el fémur distal y la tibia proximal, con reacción perióstica agresiva, por osteosarcoma multifocal.
| Fecha de creación | Marzo 1 de 2011 |
| Fecha de actualización | Abril 4, 2015 |