OSTEOMA OSTEOIDE.
Lesión benigna osteoblástica, caracterizada por un nido de tejido osteoide rodeado por esclerosis reactiva. (13).
La mayoría aparecen entre la 2º y 3º décadas y con el clásico de dolor nocturno, que cede con ASA. (13, 16, 17, 18).
Por definición son lesiones menores de 1.5 cm. Tumores mas grandes, corresponden a osteoblastomas. (13,17).
Es una lesión cortical, de la región metafisodiafisiaria de los huesos largos, con predominio en el fémur y la tibia. (16, 17). (Fig 58).
Algunos osteomas osteoides son medulares y aparecen en las vértebras o huesos pequeños de las manos y los pies. (13, 16).
Se identifica como lesión densa cortical, con nido radiolúcido central, calcificado o no. (16, 18).
La TAC es la modalidad de elección para identificar el nido, mediante cortes de 1.5 mm de espesor. (16). También es de mucha utilidad para la detección de lesiones intra-articulares y en los cuerpos vertebrales. (13, 17). (Fig 59 y 60).
La gamagrafía es una modalidad muy específica, para este tipo de lesión. (13). (Fig 61).
En la RM se aprecia lesión hipointensa en T1 e hiperintensa en T2, que realza con el contraste. El nido es hipointenso en ambas secuencias por la fibrosis y cuando está calcificado. (16, 17). (Fig 62 y 63).
El manejo puede hacerse con resección o ablación percutánea del nido, guiado por TAC. (13, 16, 18).
Se ha reportado involución espontánea y recidiva de lesiones. (16).

Fig 58. Osteoma osteoide.
Mayor frecuencia entre la 2º y 3º décadas. Predominio en los huesos largos.
Lesión metafisodiafisiaria, de ubicación cortical.

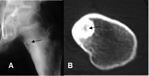
Fig 59. Osteoma osteoide.
A: Rx AP y B: TAC axial. Imagen en el cuello femoral, con nido denso, por osteoma osteoide.

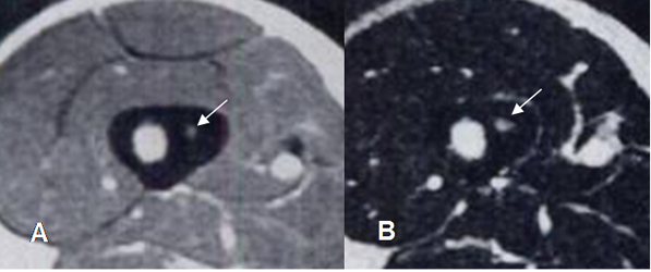
Fig 60. Osteoma osteoide.
A: Rx AP y B: TAC axial. Imagen cortical y esclerótica, pudiendo identificar el nido parcialmente calcificado.
Fig 61. Osteoma osteoide.
Gamagrafía. Aumento de la captación en el cuello femoral izquierdo, por osteoma osteoide.
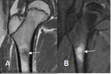
Fig 62. Osteoma osteoide.
A: RM coronal en T1 y B: RM coronal en STIR. Osteoma osteoide hipointenso en T1 e hiperintenso en STIR, con nido central hipointenso.

Fig 63. Osteoma osteoide.
A: RM axial en T1 con contraste y B: RM axial en T2. Nido no calcificado, hiperintenso en T2 y que realza con el contraste.
| Fecha de creación | Marzo 1 de 2011 |
| Fecha de actualización | Abril 4, 2015 |