OSTEOMA.
Lesión originada de la parte externa del hueso y aparece frecuentemente en el cráneo, la cara y huesos largos. (3, 16).
Tienen la mayor frecuencia entre la 4º y 5º década. (3). (Fig 54).
Se aprecia como lesión redonda, muy densa, bien definida y de localización cortical. (16).
Generalmente son menores de 3 cm y sin cambios de lesión agresiva. (Fig 55, 56 y 57).
En la RM es hipointensa en todas las secuencias, por la presencia de hueso compacto.
Fig 54. Osteoma.
Mayor frecuencia entre la 4º y 5º décadas. Predominio en cráneo, cara y huesos largos.
Lesión metafisodiafisiaria, de ubicación cortical.

Fig 55. Osteoma,
A: Rx AP y B: TAC axial. Imagen densa y homogénea, en relación con el seno frontal derecho por osteoma.

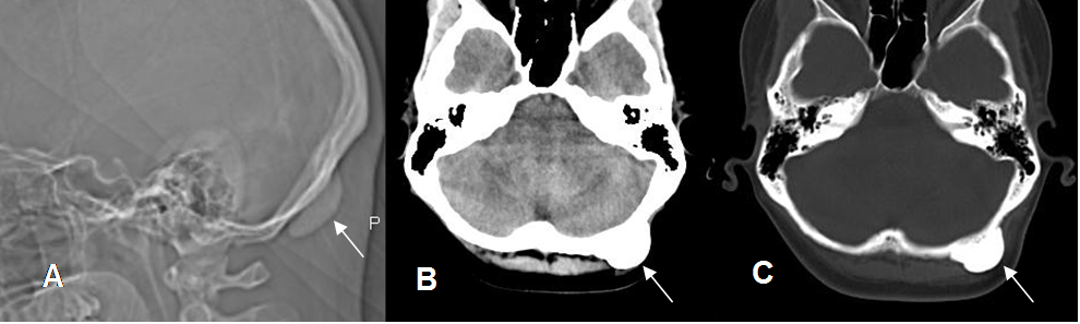
Fig 56. Osteoma.
A: Rx lateral, B: TAC axial en ventana de tejido y C: en ventana osea. Lesión ovalada y densa homogénea, a nivel occipital izquierdo, por osteoma.
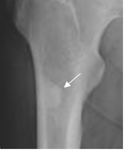
Fig 57. Osteoma.
Rx AP. Lesión densa y homogénea, en la diafisis femoral, de localización excéntrica, por osteoma.
| Fecha de creación | Marzo 1 de 2011 |
| Fecha de actualización | Septiembre 23, 2011 |