OSTEOBLASTOMA.
Es un tumor benigno o localmente agresivo. (16).
Aunque es similar a un osteoma, mayor de 2 cm, son 2 patologías diferentes. (16, 18).
El osteoblastoma tiende a la progresión y en algunos casos es localmente agresivo, pero no origina metástasis a distancia. Hay controversia si esta lesión, corresponde a un osteosarcoma de bajo grado de malignidad. (13, 18).
Aparece entre la 2º y 3º décadas y afecta los elementos posteriores de las vértebras y el sacro y los huesos largos, con predominio en el fémur. (13, 16, 18). (Fig 64).
Produce dolor y se puede acompañar de escoliosis y compresión medular o neural. (16).
Imagen metafisodiafisiaria de densidad variable, pudiendo ser lítica, blástica o mixta. (18). Es similar al osteoma osteoide, pero con un nido mas grande. (16). (Fig 65 y 66).
Sus bordes son bien definidos o de comportamiento agresivo y su matriz puede tener calcificación. (13, 18).
En la RM son hipointensos en T1 e hiperintensos en T2. Si la mineralización de la matriz es extensa, puede ser heterogéneo o hipointenso en T2. (13). (Fig 67 A).
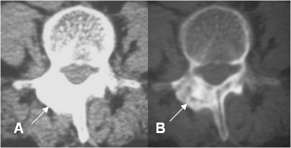
En las vértebras predomina la lesión lítica, que puede producir expansión. En los casos agresivos hay ruptura de la cortical y masa de tejidos blandos. (16). (Fig 67 B).
Todos estos tumores realzan con el contraste, por su gran vascularización. (13
El tratamiento consiste en curetaje e injertos óseos. (13).

Fig 64. Osteoblastoma.
Mayor frecuencia entre la 2º y 3º décadas. Predominio en columna, sacro y huesos largos. Lesión metafisodiafisiaria y en los elementos posteriores de las vértebras, de ubicación cortical.

Fig 65. Osteoblastoma.
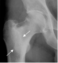
Rx AP. Lesión densa en la región intertrocantérica, por osteoblastoma.

Fig 66. Osteoblastoma.
Rx AP. Lesión lítica y bien definida, con bordes escleróticos, en la metáfisis tibial, por osteoblastoma.

Fig 67 A. Osteoblastoma.
A: RM sagital en T1 y B: RM sagital en T2. lesión expansiva que compromete los elementos posteriores vertebrales, heterogénea y de predominio hipointenso en T1 e hiperintenso en T2, por osteoblastoma.

Fig 67 B. Osteoblastoma.
A: TAC axial en ventana de tejido y B: en ventana ósea. Lesión expansiva y esclerótica, en la lámina derecha de la vértebra, sin ruptura de la cortical, que corresponde a osteoblastoma.
| Fecha de creación | Marzo 1 de 2011 |
| Fecha de actualización | Agosto 20, 2012 |