MIELOMA.
Es un tumor originado de células B, diferenciadas a células plasmáticas. (47).
Aparece después de los 60 años y el antecedente de radiación aumenta el riesgo. (13, 47).
Clínicamente se manifiesta con fatiga, dolor óseo de espalda y costillas, con fracturas o no. En el laboratorio se detecta anemia, hipercalcemia, proteinemia y se diagnostica por elevación de la banda monoclonal M, en la electroforesis de proteínas. (47).
El pronóstico es variable y la supervivencia puede ser de meses o años. (47).
La Rx simple puede ser normal en 50-75% de los casos en el estado inicial y hasta el 20% de los avanzados. (48).
En la Rx se encuentran 4 formas de compromiso: (13, 47).
Fig 187. Mieloma.
Mayor frecuencia en mayores de 60 años. Predominio columna, cráneo y parte proximal del fémur y húmero. Lesión diafisiaria, de ubicación central.
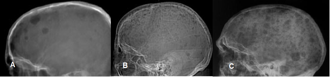
Fig 188. Mieloma.
A, B y C: Rx lateral. Espectro de hallazgos en el cráneo del mieloma, con múltiples lesiones en sacabocado y de bordes mal definidos.

Fig 189. Mieloma.
A y B: TAC axial. Lesiones líticas en la bóveda craneana, por mieloma.

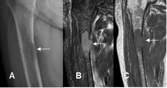
Fig 190. Mieloma.
A: Rx AP y B: Rx lateral. Lesión focal mixta en el tercio proximal del radio.
C: RM sagital en STIR y D: RM sagital en T1 con contraste. Lesión lítica, con ruptura de la cortical y masa de tejidos blandos que realza, por plasmocitoma solitario.

Fig 191. Plasmocitoma solitario.
A: Rx AP, B: RM coronal en STIR y C: RM coronal en T1. Lesión lítica en la diáfisis femoral, con ruptura de la cortical, por plasmocitoma solitario.
Fig 192. Mieloma.
A: Rx lateral y B: Rx AP. Lesiones líticas y de bordes definidos, pero no escleróticos, en las vértebras, fémur y ramo isquiopúbico, por mieloma.
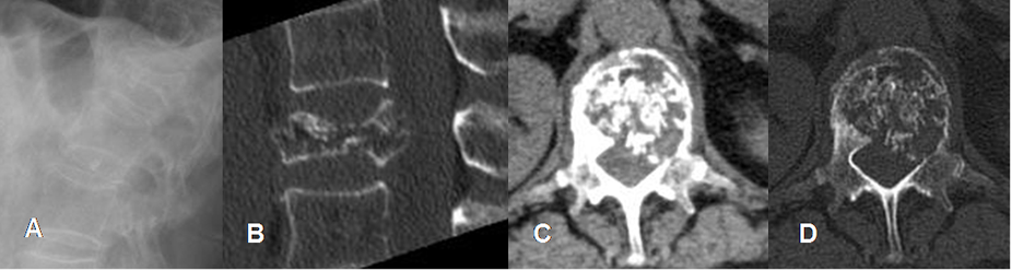
Fig 193. Mieloma.
A: Rx lateral, B: TAC reconstrucción sagital y C: TAC axial en ventana osea.
Moderada osteoporosis, con lesiones líticas que comprometen todas las vértebras.
Fig 194. Mieloma.
A: RM coronal en T1, B: RM coronal en T2 y C: RM coronal en STIR. Patrón parcheado en los huesos fémur e iliaco, hipointenso en T1 y T2 e hiperintenso en STIR, por mieloma.

Fig 196. Mieloma.
A: Rx lateral. Osteoporosis generalizada, sin lesiones focales.
B: RM sagital en T1 y C: RM sagital en STIR. Completa reconversión a medula roja en los cuerpos vertebrales, con lesión focal y aguda en D12.
Fig 197. Mieloma.
A: TAC axial en ventana de tejido, B: TAC axial en ventana osea y C: RM axial con contraste. Múltiples lesiones líticas en el sacro y los iliacos. Se encuentra masa de tejidos blandos que realza con el contraste y comprime el saco dural en el lado izquierdo.
Fig 198. Mieloma.
A: Rx lateral, B: TAC reconstrucción sagital, C: TAC axial en ventana de tejido y D: TAC axial en ventana osea. Osteopenia generalizada, con fractura patológica en D11 y fragmento retropulsado.
| Fecha de creación | Marzo 1 de 2011 |
| Fecha de actualización | Abril 5, 2015 |