LINFOMA.
Es una rara manifestación extranodal del linfoma no hodgkin, aunque tiene buen pronóstico. (13, 46).
Pico de aparición entre la 6º y 7º décadas. (46). (Fig 184).
Afecta principalmente los huesos largos, pelvis, vértebras y costillas y produce una lesión metafisodiafisiaria de apariencia variable e inespecífica. Va desde una Rx normal o imagen lítica o blástica, hasta una gran lesión agresiva con destrucción cortical y masa de tejidos blandos, con reacción perióstica en capas. (46).
En RM es hipointensa en T1 e hiperintensa en T2 y STIR. Es característica la infiltración medular, con poca destrucción cortical y una extensa masa de tejidos blandos. (46). (Fig 185 a 186).

Fig 184. Linfoma.
Mayor frecuencia entre 6º y 7º década. Predominio en huesos largos, vértebras, costillas y pelvis.
Lesión metafisodiafisiaria, de ubicación central.

Fig 185. Linfoma.
A: TAC axial, B: RM axial en T2 y C: RM sagital en T1. Gran cúmulo de adenopatías retroperitoneales, que rodean mas del 50% de la circunferencia de la aorta, por linfoma. Están en íntimo contacto con el cuerpo vertebral, pero sin comprometerlo.

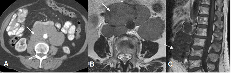
Fig 186. Linfoma.
A: TAC axial, B: RM sagital en T1 con contraste y C: RM sagital en T2. Cúmulo de adenopatías paravertebrales dorsales, con compromiso vertebral y masa de tejidos blandos que se extiende al canal modular. (Flecha).

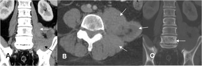
Fig 186 A. Linfoma.
A: TAC reconstrucción coronal y B: TAC axial. Engrosamiento de los músculos psoas y paraespinales en el lado izquierdo.
C: TAC reconstrucción coronal en ventana de hueso. Adicionalmente se identifica esclerosis en el cuerpo de L5, sin destrucción ósea.

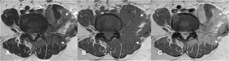
Fig 186 B. Linfoma.
A: RM axial en T2, B: RM axial en T1 simple y C: RM axial en T1 con contraste. Igual paciente anterior. Infiltración de los músculos psoas y paraespinales del lado izquierdo, que realzan con el contraste, por linfoma.

Fig 186 C. Linfoma.
A: RM sagital en T1. Igual paciente anterior. Infiltración del cuerpo de L5. (Flecha gruesa). El canal medular está ocupado, por tejido blando. (Flechas delgadas).
B: RM sagital y C: RM coronal en T1 con contraste. Realce heterogéneo del contraste, en L5. La masa de tejidos blandos paravertebral izquierda se extiende al canal medular y rodea el saco dural.
| Fecha de creación | Marzo 1 de 2011 |
| Fecha de actualización | Mayo 14, 2012 |