FIBROMATOSIS.
Corresponde a la proliferación de tejido fibroso, con un comportamiento biológico intermedio entre la fibrosis benigna y el fibrosarcoma. (9, 28).
La fibromatosis puede ser dividida en: (28).
El tumor desmoide se origina de la aponeurosis muscular, de la pared abdominal. Es una patología localmente invasiva y con alta recurrencia, después de la cirugía.
Las distintas formas de fibromatosis, producen imágenes hipoecoicas en la ecografía. (9).

Fig 111. Fibromatosis.
Mayor frecuencia en adultos mayores. Predominio en los tejidos blandos de las manos y los pies.
Enfermedad de Dupuytren:
Es el tipo mas común de las fibromatosis. (28).
Aparece en adultos mayores, con predominio en los hombres y casi la mitad presenta compromiso bilateral. (28, 29).
Se caracteriza por la formación de nódulos subcutáneos y fibrosis progresiva, que tardíamente se transforman en bandas. Compromete los tendones flexores y ocasiona contractura de los dedos, siendo los compartimientos 4º y 5º los mas comúnmente afectados. (28, 29).
Las distintas formas de fibromatosis, producen imágenes hipoecoicas en la ecografía. (9). (Fig 112 A).
En la RM se observan por bandas hipointensas en T2, superficiales y paralelas a los tendones flexores. (28, 29). (Fig 112 B, 112 C y 113).

Fig 112 A. Fbromatosis.
Ecografia en corte sagital. Imagen ovalada, hipoecoica y parcialmente definida, en los tejidos blandos superficiales de la palma de la mano, por encima de los tendones flexores y compatible con fibromatosis.

Fig 112 B. Fibromatosis.
A: RM axial en T1 y B: RM axial en T2. Presencia de tejido inflamatorio agudo hipointenso en T1 e hiperintenso en T2, que rodea los tendones flexores, a nivel de la muñeca.

Fig 112 C. Fibromatosis.
A: RM coronal en T1 y B: RM coronal en STIR. Tejido inflamatorio agudo hipointenso en T1
e hiperintenso en STIR, que rodea los tendones flexores, en la muñeca y la palma de la mano.

Fig 113. Enfermedad de Dupuytren.
A: RM sagital en T1, B: RM sagital en T2 y C: RM sagital en STIR. Deformidad en flexión del dedo, con imagen ovalada que se relaciona con el mecanismo flexor. Esta lesión es hipointensa en T1 y T2 e hiperintensa en STIR, por el componente fibroso y corresponde a enfermedad de Dupuytren.
Enfermedad de Ledderhose:
Esta forma de fibrosis superficial ocurre entre 30 y 50 años y tiene predominio medial. (28).
Los nódulos subcutáneos se adhieren a la piel o estructuras profundas, pueden ser únicos o múltiples y generalmente son menores de 3 cm. (28, 32).
La enfermedad es asintomática, hasta que invade o comprime estructuras neurovasculares o musculares. (28).
Se identifica como lesiones heterogéneas iso o hipointensas al músculo en T1 y T2 y un grado variable de realce con el contraste. (28, 30, 31). (Fig 114 y 115).
En casos de lesión agresiva, hay compromiso del tejido subcutáneo, músculo o hueso y los nódulos pueden ser hiperintensos en T2 y STIR. (32).
Estas lesiones deben diferenciarse de los nódulos reumatoideos, que son lesiones de tejidos blandos, localizada entre el calcáneo y la piel y que realza con el contraste. (32).

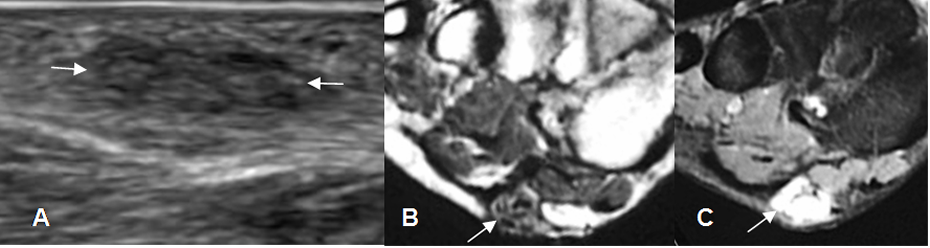
Fig 114. Fibromatosis plantar.
A: Ecografía vista sagital. Imagen hipoecoica y parcialmente definida en la planta del pie.
B: RM coronal en T1 y C: RM coronal en STIR. Area redondeada y superficial, que
reemplaza la grasa, hipointensa en T1 e hiperintensa en STIR.

Fig 115. Fibromatosis plantar gigante.
A: RM sagital en T2. Imagen ovalada en la planta del pie, hipointensa en T2, por la presencia de tejido fibroso.
B: RM sagital en T1 simple y C: RM T1 con contraste. Lesión hipointensa, que realza fuertemente con el contraste.
Tumor desmoide:
Se identifica en adultos jóvenes y por fuera de la cavidad peritoneal. Los músculos recto
anterior y oblicuo interno, son los mas comúnmente comprometidos. (28). (Fig 116).
Son lesiones intramusculares de señal variable, heterogénea y generalmente isointensa al músculo en T1 e intermedia en T2. (28). (Fig 117 y 118).
Su recurrencia local después del tratamiento es alta. (28).

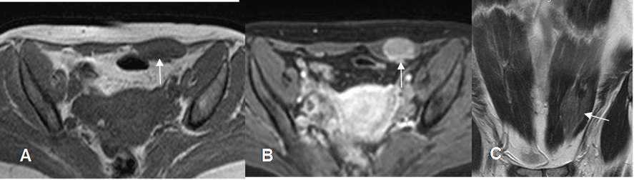
Fig 116. Tumor desmoide.
Mayor frecuencia en adultos jóvenes. Predominio en los músculos de la pared abdominal.

Fig 117. Tumor desmoide.
A: RM axial en T1, B: RM axial en STIR y C: RM coronal en T1 con contraste. Engrosamiento del músculo recto abdominal izquierdo, el cual es hipointenso en T1, hiperintenso en STIR y realza con el contraste, por tumor desmoide.

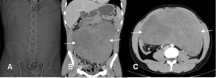
Fig 118.Tumor desmoide.
A: Rx AP. Efecto de masa periumbilical, que desplaza las asas intestinales.
B: TAC reconstrucción coronal y C: TAC axial. Gran lesión de consistencia sólida y heterogénea, que produce efecto de masa sobre los órganos abdominales, por tumor desmoide.
| Fecha de creación | Marzo 1 de 2011 |
| Fecha de actualización | Abril 4, 2015 |