DISPLASIA FIBROSA.
Es una alteración de etiología desconocida, donde la medula ósea es reemplazada por tejido fibroso. (23, 25).
Se encuentra en pacientes entre 20 y 30 años. (13, 18).
Tiene localización diafisiaria y pueden se centrales o excéntricas. (18).
Compromete principalmente las costillas, el cráneo, el fémur y la tibia. (23, 25). (Fig 100).
Hay varias formas de presentación. (18, 23, 25
En Rx se aprecia como una lesión radiolúcida, bien definida y que puede tener bordes escleróticos. En ocasiones tiene aumento en la densidad de su matriz, dando apariencia de vidrio deslustrado. (13, 23, 25). Este aspecto es característico, sobre todo en la TAC (18). (Fig 101, 102 A y B).
Puede asociarse a lesiones quísticas. (23).
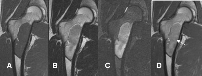
En RM se encuentra imagen hipointensa o de señal intermedia en T1 y de señal variable en T2, dependiendo del grado de celularidad, contenido fibroso, sangrado y componente quístico. Presenta borde esclerótico e hipointenso en ambas secuencias y realce variable del contraste. (13, 25). (Fig 103 A y B).
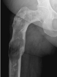
En la etapa crónica hay debilitamiento de los huesos que soportan peso, produciendo fracturas y deformidad. Es clásico el signo de cayado de pastor, en el fémur proximal.
(3, 18). (Fig 104).
Un bajo porcentaje de lesiones, puede presentar transformación sarcomatosa. Debe sospecharse cuando aparece erosión cortical y masa de tejidos blandos. (13, 23).

Fig 100. Displasia fibrosa.
Mayor frecuencia entre los 20 y 30 años. Predominio en costillas, cráneo, fémur y tibia.
Lesión diafisiaria, de ubicación central o excéntrica.

Fig 101. Displasia fibrosa.
Rx AP del miembro inferior izquierdo. Alteración de la densidad en toda la extremidad, por displasia fibrosa poliostótica.

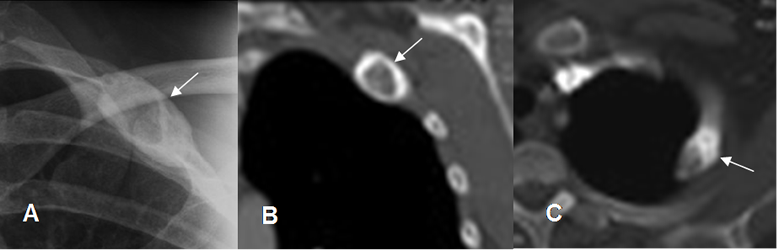
Fig 102 A. Displasia fibrosa.
A: Rx AP, B: TAC reconstrucción coronal y C: TAC axial. Lesión expansiva de bordes escleróticos en el arco anterior de la 2º costilla, por displasia fibrosa.
Fig 102 B. Displasia fibrosa.
A: Rx AP y B: lateral y C: TAC axial. Esclerosis y engrosamiento de los huesos frontales, con apariencia de vidrio esmerilado, por displasia fibrosa cráneofacial.

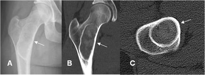
Fig 103 A. Displasia fibrosa.
A: Rx AP. Imagen ovalada, de bordes bien definidos y escleróticos, en el cuello femoral. No hay ruptura de la cortical, ni masa de tejidos blandos.
B: TAC reconstrucción coronal y C: TAC axial en ventana de hueso. Imagen de apariencia benigna, con matriz en “vidrio deslustrado”.

Fig 103 B. Displasia fibrosa.
A: RM coronal en T1, B: RM coronal en T2, C: RM coronal en STIR y D: RM coronal en T1 con contraste. Igual paciente anterior. Se identifica imagen ovalada e hipointensa en T1 y T2, hiperintensa en STIR y que realza con el contraste (Flecha). La lesión es hipointensa en T2, por el alto contenido fibroso.

Fig 104. Displasia fibrosa.
Rx AP. Deformidad en cayado de pastor, secundaria a displasia fibrosa.
| Fecha de creación | Marzo 1 de 2011 |
| Fecha de actualización | Abril 4, 2015 |