DEFECTO FIBROSO CORTICAL.
Mas que una neoplasia, es considerado junto al fibroma no osificante, defectos del desarrollo. (3).
Generalmente es descubierto en las primeras 2 décadas. (23). (Fig 94).
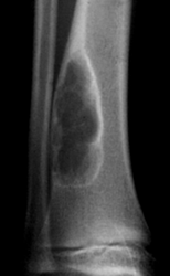
Produce una lesión cortical radiolúcida, bien definida, de bordes escleróticos y en la metáfisis de los huesos largos. Generalmente son menores de 2 cm. (23). (Fig 95).
La mayoría desaparecen espontáneamente, quedando una cicatriz esclerótica. (Fig 96, 97 A y B).
En ocasiones puede crecer hacia la medular de hueso, originando un fibroma no osificante. (3, 23).

Fig 94. Defecto fibroso cortical.
Mayor frecuencia en las primeras 2 décadas. Predominio en huesos largos.
Lesión metafisiaria, de ubicación cortical.
Fig 95. Defecto fibroso cortical.
Rx AP. Imagen lítica, de bordes bien definidos y escleróticos, por defecto fibroso cortical.

Fig 96. Defecto fibroso cortical.
A: Rx AP y B: Rx lateral. Lesión metafisiaria, de bordes escleróticos, secundaria a regresión de un defecto fibroso cortical.

Fig 97 A. Defecto fibroso cortical.
A: Rx AP y B: Rx Lateral. Imagen densa y de bordes bien definidos en el fémur distal.
C: RM sagital en T1 y D: RM sagital en T2. La imagen es hipointensa en ambas secuencias, por su alto contenido fibroso y de bordes escleróticos, correspondiendo a lesión residual de un defecto fibroso cortical.

Fig 97 B. Defecto fibroso cortical.
A: Rx AP. Imagen densa, en la parte distal del peroné.
B: RM coronal en T1, C: RM sagital en T2 y D: RM sagital en STIR. Esta lesión es hipointensa en todas las secuencias y corresponde a la calcificación de un defecto fibroso cortical.
| Fecha de creación | Marzo 1 de 2011 |
| Fecha de actualización | Abril 4, 2015 |