OSTEOCONDROMA.
Es el mas común tumor óseo benigno y se considera una alteración del desarrollo, mas que una verdadera neoplasia. (13, 19).
Está compuesto por tejido medular y cortical, que está cubierto por una capa de cartílago y tiene continuidad con el hueso sano. (19).
Es causada por separación de un fragmento de la placa de crecimiento, que crece y presenta osificación osteocondral. (13). También puede aparecer después de radioterapia, en la zona o periferia del campo. (13, 19).
Su apariencia en la Rx simple es diagnóstica y solo se utilizan otras modalidades, cuando tiene una localización poco usual o son muy sintomáticos. (19).
Ocurre en niños y adultos jóvenes, antes de los 25 años. (18, 20).
Tienen localización excéntrica y metafisiaria por su relación con la placa de crecimiento y predominio en las extremidades inferiores (alrededor de la rodilla) y el húmero. (18,19, 20). (Fig 74).
La mayoría de estas lesiones son asintomáticas y se detectan de forma incidental.
Clínicamente se encuentra una masa no dolorosa. En los pacientes sintomáticos el dolor es producido por el efecto de masa y la compresión local de estructuras vasculonerviosas o bursas, fracturas o transformación maligna. (18, 19).
En la Rx se identifica como una prominencia ósea bien definida, que se continúa con el hueso normal. Puede tener una base amplia o ser pediculado. (18, 19). (Fig 75).
El TAC es útil para identificar la continuidad, en lugares difíciles como la columna y pelvis. (19). (Fig 76).
En la RM se aprecia anillo periférico hipointenso en todas las secuencias, que corresponde a la cortical del hueso y la capa de cartílago. (Fig 77).
La osteocondromatosis múltiple, se asocia a un patrón de herencia autonómica dominante (13, 18). Su diagnóstico es mas temprano sobre los 5 años, por la multiplicidad de lesiones y el grado de deformidad ocasionado y los hallazgos radiológicos son similares, al osteocondroma único. (19). (Fig 78).
La transformación maligna del osteocondroma, se origina de la capa de cartílago. (19).
Los hallazgos sospechosos incluyen: Crecimiento de una lesión que había permanecido estable, irregularidad de sus contornos, erosión o destrucción del hueso vecino, aparición de zona radiolúcida en el interior de la lesión y masa de tejidos blandos con calcificaciones irregulares. El engrosamiento de la capa de cartílago superior a 1.5 cm, en un hueso maduro, debe hacer sospechar transformación maligna a condrosarcoma. (13, 19). (Fig 79, 80 A y B).

Fig 74. Osteocondroma.
Aparece en pacientes menores de 25 años. Predominio en los huesos largos.
Lesión metafisiaria, de ubicación excéntrica.

Fig 75. Osteocondroma.
A: Rx AP, B: Rx axial y C: TAC axial. Exostosis en el cuello femoral, que tiene continuidad con la medular del hueso, por osteocondroma.
Fig 76. Osteocondroma.
A: Rx AP y B: TAC axial. Area de exostosis en la diáfisis femoral, por osteocondroma.
Fig 77. Osteocondroma.
A: Rx AP, B: RM coronal en T1 y C: RM sagital en T1. Exostosis del húmero con continuidad de la medular osea, por osteocondroma.

Fig 78. Osteocondroma.
A: Rx lateral y B: Rx AP. Osteocondromatosis múltiple en diferentes pacientes .
Fig 79. Malignización de lesión.
A: Rx lateral. Cambios residuales, después del curetaje de un osteocondroma.
B: Rx lateral después de 1 año. Incremento e irregularidad de la reacción perióstica, del húmero distal.

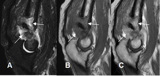
Fig 80 A. Malignización de lesión.
A: RM sagital en STIR, B: RM sagital en T1 simple y C: RM sagital en T1 con contraste.
Igual paciente anterior. Además de la osteolisis del húmero distal, se aprecia masa de tejidos blandos hipointensa en T1, hiperintensa en STIR y que realza con el contraste, por degeneración maligna de un osteocondroma.

Fig 80 B. Osteocondroma malignizado.
A: Rx AP. Osteocondromatosis múltiple (Flechas) y fractura patológica en la cadera derecha, fijada con material de osteosíntesis.
B: RM coronal en T1, C: RM coronal en T2 y D: RM coronal en STIR. Lesión de aspecto condroide que ha aumentado de tamaño. En la parte central se encuentra área hipointensa en T1 e hiperintensa en T2 y STIR, que hacen sospechar la transformación a condrosarcoma.
| Fecha de creación | Marzo 1 de 2011 |
| Fecha de actualización | Diciembre 11, 2011 |