ENCONDROMA.
Es un tumor benigno de la intramedular, originado por remanente de cartílago en la metáfisis. Es la 2º mas frecuente neoplasia cartilaginosa benigna, después del osteocondroma. (3, 21).
Es asintomático y se puede encontrar como hallazgo incidental.
Frecuente entre la 3º y 4º décadas, en huesos tubulares (Fémur) y los huesos cortos de las manos. (21). (Fig 85).
Produce una lesión central y diafisiaria de contornos lobulados y con calcificación central en arcos y anillos. (21). (Fig 86 y 87).
El TAC puede demostrar calcificación de la matriz y ruptura en la cortical y la RM reemplazo medular por imagen con focos hiperintensos en T1 y T2 por calcificación. (21). (Fig 88, 89 A y B).
Como complicaciones existen las fracturas patológicas y transformación maligna a sarcomas (Condro, angio y fibrocondrosarcoma). (21).
La encondromatosis múltiple o enfermedad de Ollier, se presenta en la niñez con fracturas, deformidad y masas palpables. El síndrome de Mafucci, se asocia con hemangiomas y linfangiomas de tejidos blandos en la extremidad afectada, pudiendo identificar osteofitos en la Rx simple. (21).

Fig 85. Encondroma.
Mayor frecuencia entre la 3º y 4º décadas. Predominio en el fémur y las manos.
Lesión diafisiaria, de ubicación central.

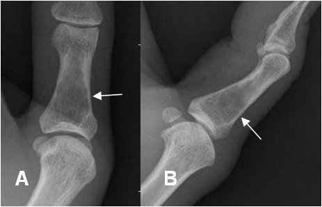
Fig 86. Encondroma.
A: Rx AP y B: Rx lateral. Imagen lítica de bordes mal definidos y con leve expansión a nivel del pulgar, por encondroma.

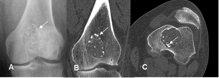
Fig 87. Encondroma.
A: Rx AP, B: TAC reconstrucción coronal y C: TAC axial. Lesión lítica central, de bordes definidos y calcificaciones condroides periféricas, por encondroma.

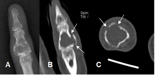
Fig 88. Encondroma.
A: Rx AP, B: TAC reconstrucción coronal y C: TAC axial. Lesión expansiva y lítica en la falange proximal del 5º dedo, con ruptura de la cortical, (Flechas) que corresponde a encondroma.

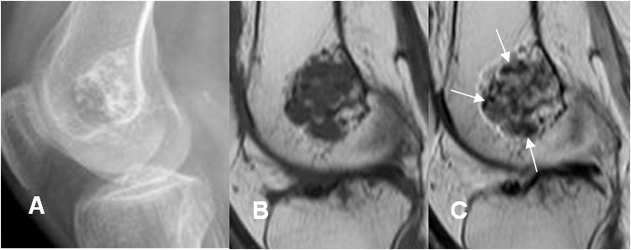
Fig 89 A. Encondroma.
A: Rx lateral, B: RM sagital en T1, C: RM sagital en T2 y D: RM sagital en STIR. Lesión diafisiaria y central, con focos hiperintensos y calcificación condroide, típica y diagnóstica de encondroma.

Fig 89 B. Encondroma.
A: Rx lateral. Imagen ovalada y con calcificación condroide de la matriz por encondroma.
B: RM sagital en T1 simple y C: RM sagital en T1 con contraste. La lesión muestra realce
heterogéneo del contraste y zonas hipointensas en su interior, que corresponden a las calcificaciones. (Flechas).
| Fecha de creación | Marzo 1 de 2011 |
| Fecha de actualización | Marzo 22, 2012 |