CONDROSARCOMA.
El condrosarcoma es el 3º mas común tumor maligno óseo primario, después del mieloma y el osteosarcoma. Puede ser primario o secundario, por transformación maligna de un osteocondroma o encondroma. (22).
Es mas frecuente entre la 4º y 5º décadas y se manifiesta por dolor de varios meses de evolución y masa palpable. (21, 22).
Se divide en central o intramedular y periférico, cuando se origina del extremo de una exostosis. (21).
Tiene predominio por los huesos tubulares largos como el encondroma (Fémur y tibia), la pelvis, la columna y las costillas. (21). (Fig 90).
En Rx se aprecia una lesión multilobulada, de bordes mal definidos, mixta lítica y esclerótica. La esclerosis corresponde a calcificación de la matriz condroide, puntiforme, en aros y anillos. Se asocia a ruptura de la cortical y masa de tejidos blandos. (21, 22). (Fig 91 y 92).
Con la RM se describe imagen lobulada, como todas las lesiones cartilaginosas. Su señal es intermedia o hipointensa en T1 con puntos hiperintensos, pero en menor grado que el encondroma. La porción no mineralizada es hiperintensa en T2, por el alto contenido de agua. Pueden existir áreas hipointensas por fibrosis o calcificación gruesa. (13, 21, 22). (Fig 93 A y 93 B).
Algunos autores consideran que no se puede diferenciar el encondroma del condrosarcoma, por imágenes. (21).
Las lesiones en las manos y los pies, son poco probable que sean malignas, ya que estas generalmente comprometen el esqueleto axial (columna y pelvis). (21).
Se recomienda hacer solo el diagnóstico de condrosarcoma, cuando hay clara destrucción de la cortical y masa de tejidos blandos. La clínica también es fundamental. La mayoría de encondromas se descubren accidentalmente y casi todos los condrosarcomas ocasionan dolor. (21).
La presencia de masa de tejidos blandos, excluye el encondroma. El encondroma realza con el contraste de forma periférica y el condrosarcoma, tiene un patrón septal y periférico. (22).

Fig 90. Condrosarcoma.
Mayor frecuencia entre la 4º y 5º década. Predominio en huesos largos, pelvis, columna y costillas. Lesión metafisodiafisiaria, de ubicación central o excéntrica.

Fig 91. Condrosarcoma.
A: Rx AP y B: TAC axial. Gran masa de tejidos blandos de crecimiento agresivo, con calcificaciones en palomitas de maíz, secundario a condrosarcoma.

Fig 92. Condrosarcoma.
A: TAC axial en ventana de tejido y B: TAC axial en ventana osea. Lesión de comportamiento agresivo en el 2º dedo, con adelgazamiento de la cortical, masa de tejidos blandos y calcificación condroide de la matriz, por condrosarcoma.
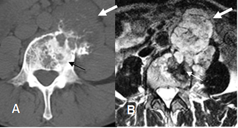
Fig 93 A. Condrosarcoma.
A: TAC axial y B: RM axial en T2. Lesión vertebral mixta, con componente lítico y esclerótico. (Flechas delgadas). Hay masa de tejidos blandos de comportamiento agresivo y que crece anteriormente (Flechas gruesas), por condrosarcoma.

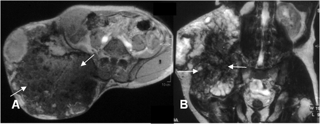
Fig 93 B. Condrosarcoma.
A: RM axial en T1 y B: RM coronal en T2. Gran lesión heterogénea y lobulada en relación con el hueso iliaco, de predominio hipointenso, que corresponde a condrosarcoma.
| Fecha de creación | Marzo 1 de 2011 |
| Fecha de actualización | Agosto 20, 2012 |