TUMOR DE CELULAS GIGANTES.
Este tumor también ha sido conocido con otros nombres como sarcoma mieloide, osteoclastoma, osteoblastoclastoma. (33).
Es un tumor difícil de clasificar entre benigno y maligno, porque hasta la mitad pueden recurrir localmente y tienen la posibilidad de originar metástasis pulmonares. (34, 35).
Es mas frecuente entre 20 y 40 años, con pico en la 3º década, (33, 34).
Aparece en las metáfisis de los huesos largos maduros, después que se han cerrado los núcleos de crecimiento y con predominio en la tibia. También pueden aparecer en el sacro. (13, 18, 34). (Fig 119).
Se manifiesta con dolor, limitación del movimiento y edema. (18, 33).
El asocio con quiste óseo aneurismático en frecuente. (33).
Se encuentra lesión lítica y expansiva de bordes mal definidos, excéntrica, con trabeculaciones y sin calcificación de la matriz. Adelgaza la cortical, pero sin romperla. (18, 33, 34). (Fig 120 y 121).
En RM se aprecia como imagen bien definida con borde hipointenso, que corresponde a la cortical adelgazada o seudocápsula. El componente sólido es hipointenso en T1 y T2, por alta celularidad, contenido de hemosiderina o fibrosis. El componente quístico, puede presentar nivel líquido/líquido. Se observa gran realce del contraste, por ser una lesión hipervascular. (13, 33, 35). (Fig 122 y 123).
Puede presentar transformación maligna a fibrosarcoma, osteosarcoma o sarcoma pleomórfico indiferenciado, después de radioterapia o resecciones repetidas a. (35).
El tumor de células gigantes maligno, puede ser primario o secundario a radioterapia. (33).
Produce metástasis pulmonares, que corresponden a implantes benignos y no acaban con la vida del paciente. (33, 35).
Tiene una alta frecuencia de recurrencia en los bordes.
Radiológicamente debe diferenciarse del quiste óseo aneurismático. (18).
La recurrencia de una lesión se diagnostica como una nueva lesión lítica o desaparición del injerto óseo. (33).
La radioterapia está reservada para tumores que son inoperables por su localización o que requieren de amputación de la extremidad. (33).
Otra forma de presentación del tumor de células gigantes, es el que compromete las vainas tendinosas. (36).
Puede ser una lesión difusa o localizada y compromete las muñecas y las manos. (36).
Produce masa una dolorosa, adherida a estructuras profundas. (36).
Esta lesión se puede calcificar, siendo hipointenso en T1, iso o hipointenso en T2 y realza del contraste. (36). (Fig 124 A, B y C).

Fig 119. Tumor de células gigantes.
Mayor frecuencia entre los 20 y 40 años. Predominio en los huesos largos y el sacro.
Lesión metafisiaria, de ubicación excéntrica.

Fig 120. Tumor de células gigantes.
Rx AP. Imagen excéntrica, lítica y parcialmente definida, en la metáfisis tibial, por tumor de células gigantes.

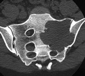
Fig 121. Tumor de células gigantes.
TAC reconstrucción coronal. Imagen expansiva y lítica, en el alerón del sacro, sin ruptura de la cortical, por tumor de células gigantes.

Fig 122. Tumor de células gigantes.
A: Rx lateral, B: RM coronal en T1 y C: RM sagital en T2. Lesión metafisiaria hipointensa en T1 e hiperintensa en T2, que rompe la cortical y forma una seudocápsula hipointensa en ambas secuencias.

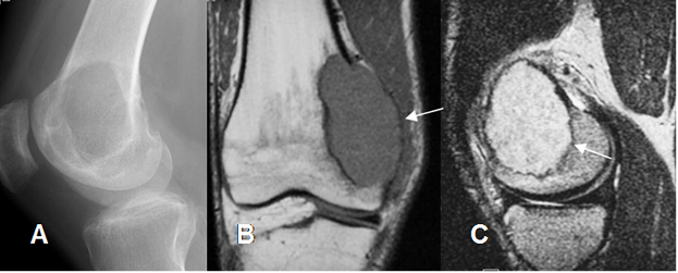
Fig 123. Tumor de células gigantes.
A: Rx lateral. Lesión expansiva y sin ruptura de la cortical, en la cabeza del peroné.
B: RM sagital y C: RM axial en T1 con contraste. Formación de seudocápsula y gran realce del contraste.

Fig 124 A. Tumor de células gigantes.
A: RM axial en T1, B: RM sagital en T2 y C: RM coronal en STIR. Tumor de células gigantes en la vaina tendinosa flexora del pulgar, manifestado por imagen ovalada y sólida, hipointensa en todas las secuencias.
Fig 124 B. Tumor de células gigantes.
A: Rx AP. Erosión de bordes escleróticos, en las bases del 4º y 5º metacarpiano y el hueso ganchoso. B: RM axial en T1 y C: RM sagital en T2. Masa de tejidos blandos hipointensa en ambas secuencias, que erosiona el hueso, por tumor de células gigantes.

Fig 124 C. Tumor de células gigantes.
A: RM axial, B y C: RM axial y sagital con contraste. Igual paciente anterior. La lesión de tejidos blandos realza con el contraste.
| Fecha de creación | Marzo 1 de 2011 |
| Fecha de actualización | Abril 4, 2015 |