CAMBIOS POST-TRATAMIENTO.
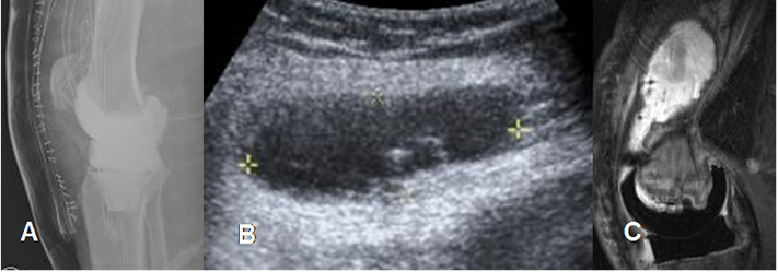
Los cambios post-quirúrgicos (PostQx) y la colocación de cemento y material metálico, pueden dificultar el seguimiento de los tumores. La comparación con estudios previos es indispensable, para diferenciar la recurrencia, de los cambios post-tratamiento. (Fig 201 A y B).
Una cavidad postQx puede rellenarse de injertos óseos o con cemento (Polimetil metacrilato). El cemento se distribuye homogéneamente e incorpora al hueso. Tiene alta densidad en la TAC y baja señal en todas las secuencia de RM. (52). (Fig 202 y 203).
La RM tiene muy buena capacidad para los controles y disminuye los artefactos metálicos. (52).
Colocar un marcador en la zona quirúrgica, ayuda a reconocer que al área fue adecuadamente estudiada. (55).

Fig 201 A. Cambios PostQx.
A: Rx AP. Lesión en la tibia, que corresponde a tumor de Ewing.
B: Rx AP. Resección de la lesión y colocación de material articulado.

Fig 201 B. Cambios PostQx.
Rx AP. Amputación y colocación de prótesis en el húmero proximal, por resección de osteosarcoma.

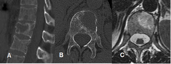
Fig 202. Cambios tratamiento.
A: TAC reconstrucción sagital, B: TAC axial y C: RM axial en T2. Lesión lítica vertebral, por mieloma.

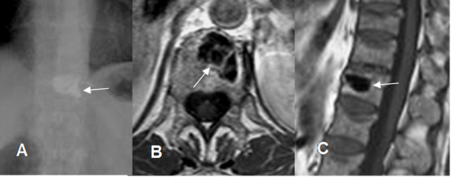
Fig 203. Cambios tratamiento.
A: Rx AP, B: RM axial en T1 y C: RM sagital en T1. Igual paciente anterior. Vertebroplastia con cemento, encontrado como imagen densa en la Rx e hipointensa en la RM.
El uso de contraste es controvertido. Está indicado ante la sospecha de necrosis o para conocer la respuesta al tratamiento. La recurrencia tumoral depende del tipo y grado del tumor y el tratamiento realizado (Resección sola, resección y reconstrucción adicional, radioterapia complementaria, etc).
Por lo general la imagen de la recurrencia tumoral y su realce, es similar al de la lesión inicial. (52, 55). (Fig 203, 204 y 205).
Tienen alto riesgo de recurrencia los tumores de alto grado, de localización profunda y con márgenes de resección cercanos o positivos. Los sarcomas de tejidos blandos tienen una recurrencia local tan alta, como del 50%. (55).
Los tumores pueden recurrir en el hueso, los tejidos blandos o ambos. La recurrencia de tejidos blandos es difícil de detectar, si no es palpable, cambia la densidad o se calcifica. (52).

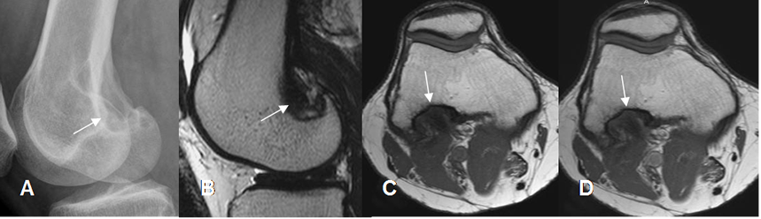
Fig 204. Cambios PostQx.
A: Rx lateral y B: RM sagital en T2. Remodelación en la parte posterior del cóndilo femoral lateral, por el curetaje de un osteoblastoma.
C: RM axial en T1 simple y D: RM axial en T1 con contraste. El defecto óseo está ocupado por tejido blando, sin realce del contraste que sugiera recidiva tumoral.

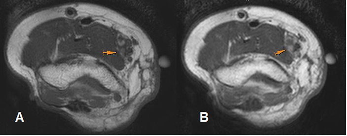
Fig 205. Cambios PostQx.
A: RM axial en T1 simple y B: RM axial en T1 con contraste. Seguimiento de resección de un sarcoma pleomórfico indiferenciado. Hay leve realce del contraste en la parte medial, que resultó ser fibrosis residual.
En el año 2000 se establecieron los criterios de unificación, para el seguimiento de tumores, conocidos como RECIST. (Response Evaluation Criteria in Solid Tumors). (53).
Se definieron 4 categorías de respuesta:
Se define una lesión como medible, cuando el eje mas largo es superior a los 2 cm en un corte axial y se localiza en un órgano no móvil. (Difícil valorar en los ovarios). (53).
Una lesión es no medible, cuando es menor de 1 cm, corresponde a enfermedad leptomeningea, ascitis, derrame pleural o pericárdico, neumonitis, linfangitis cutánea, enfermedad inflamatoria de la mama, lesiones quísticas o necróticas o tumores situados
en una zona irradiada. (53).
Signos de recurrencia tumoral: (52, 55).
La radioterapia se utiliza como tratamiento adyuvante pre o postquirúrgico. Ocasiona daño en los osteoblastos y reemplazo graso medular, con un máximo entre las 6 y 8 semanas. La reconversión posterior a medula normal, es muy rara, por las altas dosis recibidas. (54, 55). (Fig 206).
Después del año de tratamiento, se aprecia osteopenia en la Rx simple y posteriormente una fibrosis reparativa. A los 2- 3 años hay un aspecto moteado con áreas de osteopenia, trabeculación y esclerosis, que pueden simular la enfermedad de Paget, pero sin expansión asociada. Si hay destrucción ósea, la infección o recurrencia tumoral, debe ser considerada. (54).
La osteitis produce alteración mal definida en la señal, sin destrucción ósea, ni masa de tejidos blandos, lo que ayuda a diferenciarla de infección o tumor.
Los cambios de los tejidos blandos son mas variables. El tejido celular subcutáneo adquiere un patrón reticular, con un máximo entre los 12 y 18 meses. En la mayoría de los casos, recobran su normalidad entre los 2 y 3 años. En el músculo se produce aumento de la señal en T2 y moderado realce del contraste. (55).

Fig 206. Cambios por radioterapia.
A: RM sagital en T1 y B: RM sagital en T2. Gran hiperintensidad en ambas secuencias de las vértebras L1 a L5, por conversión a MO grasa, secundaria a radioterapia.
La radioterapia también puede inducir la aparición de sarcomas. Su diagnóstico requiere de biopsia y debe cumplir las siguientes condiciones: (54, 55).
El histiocitoma fibroso maligno, es el tipo histológico mas frecuente (55) y también se pueden inducir tumores benignos, como los osteocondromas. (54).
La quimioterapia adyuvante, aumenta significativamente la tasa de supervivencia.
Produce necrosis tumoral como signo de buena respuesta y disminución del tamaño de la lesión. En algunos casos ocasiona sangrado, que incrementa el tamaño del tumor.
Por imágenes hay áreas heterogéneas en la RM, que no realzan con el contraste. También pueden aparecer colecciones PostQx: (55).

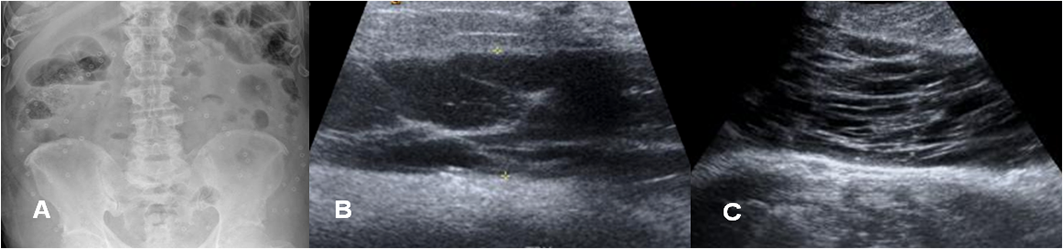
Fig 207 A. Seroma.
A: Rx AP. Paciente con múltiples cirugías abdominales, a la que se le colocó una malla abdominal.
B y C: Ecografías. En el PostQx aparecen cambios inflamatorios en la cicatriz Qx y se identifica colección líquida, con ecos y septos en su interior, que corresponde a seroma.
Fig 207 C. Seroma.
A: RM axial en T2, B: RM sagital en T2 y C: RM sagital en STIR. Signos de laminectomía derecha, por hernia de disco en A. Se encuentra colección líquida en los tejidos blandos, por la formación de seroma.
| Fecha de creación | Marzo 1 de 2011 |
| Fecha de actualización | Abril 5, 2015 |