HEMANGIOENDOTELIOMA, HEMANGIOPERICITOMA Y ANGIOSARCOMA.
Son tumores vasculares con variable grado de agresividad y cuya distinción radiológica es muy difícil. (40).
El hemangioendotelioma se origina del endotelio vascular y tiene una agresividad intermedia. Es mas frecuente en los tejidos blandos. (40).
El hemangiopericitoma se origina de células que rodean los capilares. También es de agresividad intermedia y mas común en la 5 década. (40).
El angiosarcoma se origina de células endoteliales y linfomatosas. Muestra comportamiento agresivo, con recurrencia local y metástasis pulmonares. Puede aparecer
en la parte superficial de los tejidos blandos o en los huesos largos. (40).
Todos estos tumores producen lesiones óseas líticas agresivas, con o sin formación de masa en los tejidos blandos. Pueden encontrarse vasos dilatados y niveles líquido/líquido.
A diferencia de los hemangiomas, no se encuentra componente graso. (40).
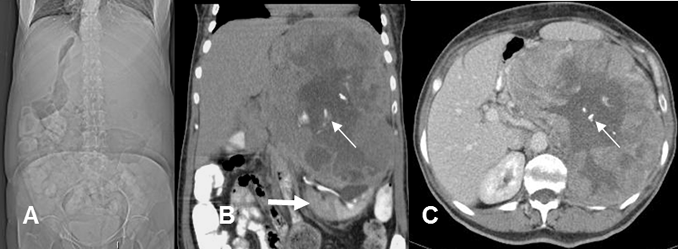
Tienen señal intermedia en T1 y T2, identificando vasos dilatados. La presencia de necrosis, es un signo de malignidad. (41). (Fig 156 B).

Fig 156 B. Angiosarcoma.
A: Rx AP. Efecto de masa, con desplazamiento medial e inferior de las asas intestinales.
B: TAC reconstrucción coronal y C: TAC axial. Masa heterogénea, que desplaza inferiormente el riñón izquierdo, (Flecha gruesa) con zona hipodensa central por necrosis. Además existen calcificaciones gruesas. (Flechas delgadas). No se identifica el bazo y la lesión corresponde a un angiosarcoma originado de este órgano.
| Fecha de creación | Marzo 1 de 2011 |
| Fecha de actualización | Febrero 24, 2014 |