VALORACION RADIOLOGICA.
La radiografía (Rx) simple es la modalidad de elección inicial, para la valoración del trauma. (1). Las lesiones articulares son difíciles de diagnosticar con Rx simple, si solo hay lesión ligamentaria. Se deben sospechar por la presencia de derrame articular, que produce desplazamiento o pérdida de los planos grasos. (1). (Fig 2).

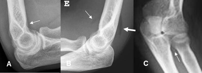
Fig 2. Derrame articular.
A: Rx lateral. Cojinete anterior, en un paciente normal.
B: Rx lateral. Visualización del cojinete graso anterior (Flecha delgada) y el posterior, siempre patológico y que indica derrame articular. (Flecha gruesa). No se aprecian fracturas.
C: Rx oblicua. Fractura desplazada de la cabeza del radio.
El cartílago y la cavidad articular son radiotransparentes y forman el espacio articular radiológico. (2). (Fig 3).
Fig 3. Espacio articular normal.
Rx AP. Espacio articular, entre las estructuras óseas.

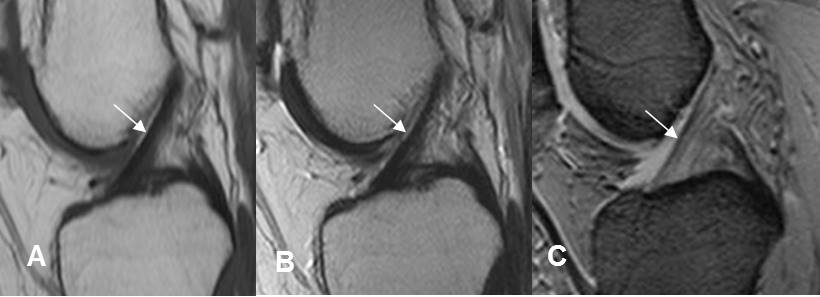
Fig 4. LCA normal.
A: RM sagital en T1, B: RM sagital en T2 y C: RM sagital en GE. Fibras hipointensas en todas las secuencias en un ligamento normal y rodeado por grasa.

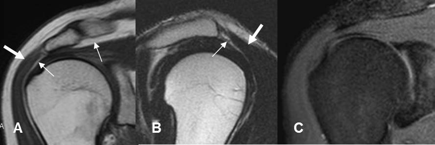
Las bursas son bolsas cubiertas por tejido sinovial, que disminuyen el roce entre el hueso y los tendones. (1). (Fig 6).
Fig 6. Bursa subacromio subdeltoidea normal.
A: RM coronal en T1 y B: RM sagital en T2. Bursa normal, con contenido de grasa. (Flechas delgadas). Músculo deltoides normal. (Flechas gruesas).
C: RM coronal en STIR. Supresión de la grasa, sin encontrar cambios inflamatorios.
Se ha propuesto la regla del 2, para la valoración del trauma: (1, 2).

Fig 7. Luxación de los dedos.
A: Rx AP del 5º dedo. No se aprecian anormalidades.
B: Rx lateral del 5º dedo. Luxación posterior de la articulación interfalángica distal.


Fig 9. 2 huesos.
A: Rx AP y B: Rx lateral. En extremidades con 2 huesos, estos deben incluirse completamente.


Fig 11. Fractura de escápula.
Rx tangencial de hombro. Fractura angulada del tercio medio de la escápula.

Fig 12. Estudio comparativo.
Rx AP. Imagen tratada como fractura marginal en la parte medial del núcleo de crecimiento izquierdo. (Flecha gruesa). Nótese la mayor prominencia de los tejidos blandos. (Flecha delgada).
En la mayoría de lesiones el diagnóstico con la Rx simple es fácil. Con algunos casos sutiles, se debe recurrir a otros signos secundarios como edema de tejidos blandos, obliteración o desplazamiento de los planos grasos, derrame articular, reacción perióstica, nivel líquido/grasa intra-articular, etc. (2). (Fig 13 a 17).
Fig 13. Edema de tejidos blandos.
Rx AP. Prominencia de los tejidos blandos en relación con el maléolo externo, sin encontrar clara fractura.

Fig 14. Obliteración de los planos grasos.
A: Rx lateral. Plano graso normal del músculo pronador cuadrado.
B: Rx lateral. Pérdida del plano graso, por fractura no desplazada del radio distal.

Fig 14 A. Signo de pronador cuadrado.
A: Rx lateral. Pérdida de la grasa del pronador cuadrado, por fractura no desplazada del radio distal.
B: RM coronal en T1. Se confirma la fractura del radio distal, la cual tiene compromiso intra-articular.

Fig 15. Derrame articular.
A: Rx AP. Desplazamiento lateral del cojinete graso glúteo, que hace sospechar derrame articular.
B: RM coronal y C: RM axial en STIR. Se confirma el derrame articular, por artritis infecciosa.


Fig 17. Hemartrosis.
A: Rx AP. Fracturas no desplazadas, ni deprimidas en los platillos tibiales.
B: Rx lateral con rayo horizontal. Nivel grasa/líquido en la región suprapatelar, por hemartrosis.
La tomografía axial computarizada (TAC) está indicada en el estudio de zonas anatómicas complejas, por la superposición de estructuras, como el hombro, el codo, la cadera, el tobillo, la columna y la cara. Esta modalidad permite detectar mas fracturas, la posición de los fragmentos, la presencia de cuerpos libres, el compromiso intra-articular y la valoración de la consolidación. En ocasiones son útiles las reconstrucciones sagitales y coronales, para una mejor caracterización. (1, 2, 3). (Fig 18 y 19).

Fig 18. Fractura no vista en Rx.
A: Rx lateral. Rectificación cervical, sin desalineación, ni fracturas. Calcificación en la parte anterior del disco C5-C6.
B: TAC axial. Fractura oblicua y no desplazada en la lámina izquierda de C5, no sospechada con la Rx.

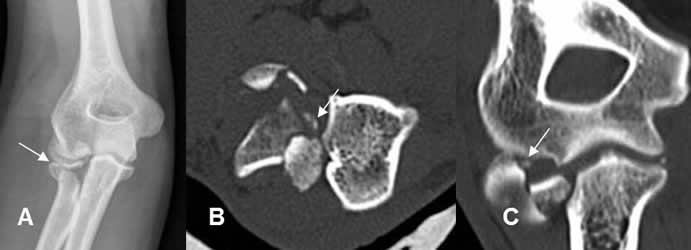
Fig 19. Fractura del codo.
A: Rx AP. Fractura en la cabeza del radio.
B: TAC axial. Fractura conminuta del radio, con varios fragmentos sueltos.
C: TAC reconstrucción coronal. Cuerpo libre intra-articular.
La TAC permite valorar lesiones en pacientes inmovilizados con yeso, férulas y otros elementos de fijación, sin disminuir la calidad de la prueba. En casos de elementos metálicos utilizar alto miliamperaje, ventanas de hueso y reconstrucciones, para tratar de disminuir los artefactos. Las reconstrucciones 3D son de mucha ayuda para la planificación del manejo, por parte del ortopedista. (1, 2). (Fig 20, 21 y 22).

Fig 20. Reducción de luxación.
A: Rx lateral. Luxación reducida y fijada con yeso.
B: TAC reconstrucción sagital. Después de la reducción se identifica fractura en la parte anterior de la coronoides, no sospechada en la Rx.

Fig 21. Mala posición de tornillos.
A: Rx AP. Tornillo superior derecho, con extremo medializado.
B: TAC axial. El tornillo rompe la cortical medial y ocupa el receso lateral.
C: TAC reconstrucción sagital y D: TAC reconstrucción coronal. El tornillo ocupa la parte superior del agujero de conjunción, lugar por donde sale la raíz nerviosa.

Fig 22. TAC con reconstrucción 3 D.
A: Rx AP y B: TAC reconstrucción sagital. Fractura conminuta e impactada del techo acetabular.
C: TAC reconstrucción 3D vista anterior y D: vista posterior. Se puede identificar que el compromiso del techo acetabular, compromete predominantemente la parte posterior.
La RM es la modalidad de elección para el estudio del sistema osteomuscular. (1). Es muy sensible para la valoración del trauma con Rx y TAC normales y permite detectar contusiones de la microtrabécula, fracturas intraóseas y fracturas osteocondrales. (1). (Fig 23 A, B y C).
En casos de fracturas se encuentran imágenes lineales hipointensas en T1, en el interior de la zona de edema trabecular. (1). La RM es la primera línea para el diagnóstico de fracturas ocultas de la cabeza femoral y el escafoides. (1). (Fig 24 y 25).
La detección de niveles liquido/líquido o líquido/grasa, son signos de compromiso intra-articular. (1, 3). (Fig 26).

Fig 23 A. Fractura oculta.
A: Rx AP. Cambios degenerativos en la sínfisis púbica, pero sin detectar fracturas.
B: RM axial en T1 y C: RM axial en STIR. Fractura no desplazada del ramo isquiopúbico (Flechas), con cambios inflamatorios en los tejidos blandos.

Fig 23 B. Trauma oculto.
A: Rx AP y B: Rx lateral. Paciente con trauma directo, donde no se encuentran alteraciones.
C: RM coronal en T1 y D: RM sagital en T1. Edema óseo del platillo tibial lateral, con fisura no deprimida.

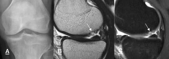
Fig 23 C. Lesión condral.
A: Rx AP. No se encuentran alteraciones.
B: RM sagital en T2 y C: RM sagital en STIR. Defecto en el cartílago sobre el borde inferior del cóndilo femoral medial, por desprendimiento condral.

Fig 24. Fractura del escafoides.
A: Rx AP. Fractura transversa del escafoides, en su tercio medio.
B: RM sagital en T1. La fractura se identifica, como línea hipointensa.
C: RM coronal en STIR. Edema y fractura del escafoides (Flecha delgada). Adicionalmente se aprecia contusión del semilunar (Flecha gruesa).

Fig 25. Fractura de la cabeza femoral.
A: Rx AP. Línea radiolúcida en la cabeza femoral, sugestiva de fractura.
B: RM coronal en T1 y C: RM coronal en STIR. Edema óseo en la cabeza femoral, con imagen hipointensa y en sentido oblicuo, que corresponde a fractura.

Fig 26. Derrame articular.
RM axial en STIR. Nivel líquido/líquido en la articulación de la rodilla, por fractura intra-articular.
Las contusiones de la microtrabécula aparecen por fuerzas de impactación y compresión (3). Su ubicación permite conocer el mecanismo del trauma y la dirección de la energía, para buscar lesiones asociadas de músculos y ligamentos. Se aprecian como áreas mal definidas hipointensas en T1, hiperintensas en T2 y STIR. (1). (Fig 27, 28 y 29).

Fig 27. Contusión osea.
A: Rx AP. No se aprecian signos de lesión traumática.
B: RM coronal y C: RM sagital en STIR. Contusión osea en la parte postero-superior del platillo tibial medial.

Fig 28. Mecanismo del trauma directo.
A: RM coronal en STIR. Contusión osea en el compartimiento medial, que puede lesionar las estructuras de la esquina posterolateral y el LCL.
B: RM coronal en STIR. Contusión del cóndilo femoral lateral, debiendo descartar lesión del LCM.
C: RM coronal en STIR. Contusión en la parte posterior de la tibia, por lo que se debe buscar lesión del LCA
D: Contusión en la parte anterior de la tibia y cóndilo femoral medial, a descartar lesión del LCP y esquina posterolateral.

Fig 29. Contusión ósea.
RM sagital en STIR. Clásica contusión del platillo tibial y cóndilo femoral lateral, con signo de la muesca, encontrado en rupturas del LCA.
La principal utilidad de la ecografía en las fracturas, es la detección del derrame articular. También es utilizada para el diagnóstico y seguimiento de las lesiones musculares asociadas. (1). (Ver capítulo dedicado a esta patología). (Fig 30).

Fig 30. Ecografía.
Ecografía en la parte medial de la rodilla, que confirma el derrame articular.
Está indicado el estudio con arteriografía, ante la sospecha o signos clínicos de lesión vascular. Igualmente por la proximidad de las fracturas a los grandes vasos y traumas penetrantes por arma blanca y bala. Ej lesiones de vasos subclavios, por fracturas complejas de clavícula o articulaciones esternoclaviculares, arteria braquial por luxación del codo o fractura del húmero, etc. (1, 3). (Fig 31 y 32).

Fig 31. Arteriografía.
A: Rx AP y B: Rx lateral. Luxación posterior de la rodilla.
C: Arteriografía. Oclusión de la arteria poplítea.

Fig 32. AngioTAC.
Otro caso de luxación complicada con oclusión de la poplítea derecha. Segmento femoropopliteo izquierdo normal.
| Fecha de creación | Marzo 1 de 2011 |
| Fecha de actualización | Diciembre 14, 2014 |