TERMINOLOGIA.
Hay gran cantidad de términos utilizados para la descrición de las fracturas:

Fig 33. Compromiso de las corticales.
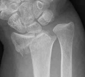
Rx AP. Fractura completa en el radio distal (Flecha gruesa) e incompleta en el cubito distal. (Flecha delgada).

Fig 34. Fractura transversa.
A: Rx AP y B: TAC reconstrucción coronal. Fracturas transversas en el húmero distal y el maléolo externo.

Fig 35. Fractura espiroidea.
A: TAC reconstrucción coronal y B: TAC reconstrucción 3D. Fractura espiroidea en la diafisis tibial. Adicionalmente hay fractura oblicua del peroné.


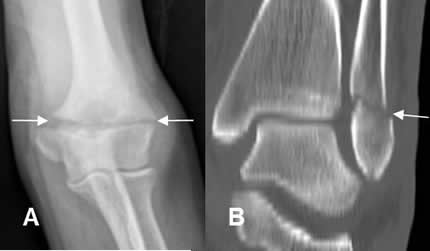
Fig 37. Fractura oblicua-transversa.
A: Rx tobillo AP y B: RM corte coronal. Fractura no desplazada del maléolo externo (Flecha delgada), con edema de tejidos blandos. (Flecha gruesa).


Fig 39. Fractura en mariposa.
Rx AP. Fractura conminuta en la tibia distal. En la parte superior tiene el aspecto en mariposa (Flecha gruesa) y en la inferior hay otra fractura vertical. El paciente tiene material de osteosíntesis en al peroné, por fractura previa.

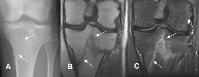
Fig 40. Fractura en “Y”.
A: Rx AP, B: RM coronal en T1 y C: RM coronal en STIR. Fractura conminuta de la tibia proximal, no desplazada y con trazo en “Y”.

Fig 41. Fractura conminuta.
A: Rx lateral: Fractura conminuta e impactada del calcáneo.
B: TAC axial y C: TAC reconstrucción 3D: Múltiples fragmentos óseos, por estallido del calcaneo.

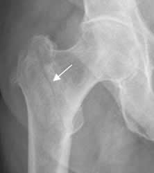
Fig 42. Angulación en varo.
Rx AP. Fractura subtrocantérica de la cabeza femoral, con desviación medial del fragmento distal.

Fig 43. Angulación en valgo.
Rx AP. Fractura del radio distal, con desplazamiento lateral del fragmento distal.

Fig 44. Angulación anterior.
Rx lateral. Fractura angulada anteriormente, en la diáfisis del cúbito.

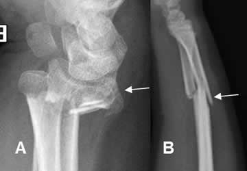
Fig 45. Angulación posterior.
A: Rx lateral. Fractura del radio distal con desplazamiento posterior del extremo distal.
B: Rx lateral. Fracturas del brazo, con leve angulación posterior del radio.

Fig 46. Fractura no desplazada.
Rx AP. Fracturas no desplazadas en las bases del 3º y 4º metacarpianos, cuyos fragmentos permanecen en contacto.

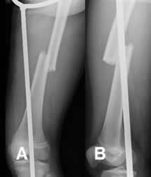
Fig 47. Fractura diastasada.
A: y B: Rx lateral. Fracturas conminutas, rotadas y diastasadas en las diáfisis femorales.


Fig 49. Fractura impactada.
A y B: Rx AP de hombro. Fracturas impactadas y con diferente grado de desplazamiento de la cabeza humeral.


Fig 51. Avulsión del codo.
Desplazamiento inferior del núcleo de crecimiento, del epicóndilo medial.

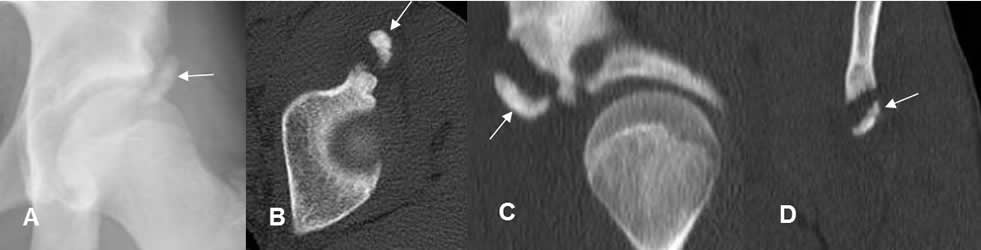
Fig 52 A. Avulsión.
A: Rx AP, B: TAC axial, C: TAC reconstrucción sagital y D: TAC reconstrucción coronal. Fragmento en relación con la espina tibial anterior inferior, que corresponde a avulsión.


Fig 53. Avulsión.
A: RM coronal en T1 y B: RM coronal en STIR. Cambios inflamatorios sobre la tuberosidad isquiática izquierda por avulsión. Hay retracción en el origen de los isquiotibiales.

Fig 54. Fractura abierta.
Rx lateral. Fractura conminuta del fémur distal con burbujas de aire en los tejidos blandos, por fractura expuesta.


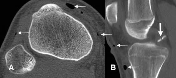
Fig 56. Cuerpo extraño.
A: Rx AP y B: Rx lateral. Trauma directo en el codo, con imágenes redondeadas y densas en la parte medial, que corresponden a cuerpos extraños. (Flechas delgadas). Igualmente se identifica aire en los tejidos blandos. (Flechas gruesas).

Fig 57 A. Fractura stress.
A: Rx AP, B: Rx oblicua y C: TAC reconstrucción lateral. Imagen en sentido transverso, sobre el tercio medio de la tibia, que corresponde a fractura de stress.

Fig 57 B. Fractura de stress.
RM coronal en STIR: Edema en el alerón del sacro izquierdo, por fractura de stress.


Fig 59. Fractura de stress.
TAC axial. Zona de fibrosis en el alerón izquierdo del sacro, resultado de reparación por fractura de stress.


Fig 61. Fractura patológica.
A: Rx AP. Alteración en la densidad de la cabeza del húmero, con matriz condroide, por la presencia de encondroma. Se aprecia fractura transversa y no desplazada a nivel del cuello.
B: Rx AP. Imagen ovalada y radiolúcida en la diáfisis humeral, compatible con quiste simple. Existe fractura asociada, no desplazada y en sentido oblicuo.
| Fecha de creación | Marzo 1 de 2011 |
| Fecha de actualización | Diciembre 15, 2014 |