LESIONES ARTICULARES.
Las lesiones articulares son difíciles de diagnosticar con Rx simple, si solo hay lesión ligamentaria. Se sospechan por la presencia de derrame articular, que produce desplazamiento de los planos grasos o edema en los tejidos blandos.
Las secuencias en T2 y STIR son las mas sensibles para detectar el edema y líquido, en las lesiones agudas. (Fig 155 y 156).

Fig 155. Derrame articular.
A: Rx lateral. Visualización del cojinete graso anterior normal (Flecha delgada) y el posterior, siempre patológico, que indica derrame articular. (Flecha gruesa).

Fig 156. Derrame articular.
A: Rx AP. Desplazamiento lateral del cojinete graso glúteo, que hace sospechar derrame articular.
B: RM coronal y C: RM axial en STIR. Se confirma el derrame articular, por artritis infecciosa.
Existe una gran variedad de lesiones traumáticas, que pueden afectar las articulaciones: (1).

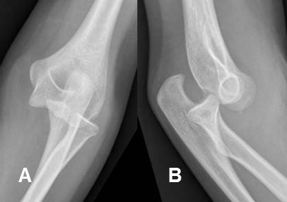
Fig 157. Luxación posterior del codo.
A: Rx AP y B: Rx lateral, que muestran luxación de las articulaciones ulnohumeral y radioulnar proximal.

Fig 158. Luxación glenohumeral.
A: Rx AP. Luxación glenohumeral anterior.
B: TAC axial. Se confirma la luxación. Adicionalmente hay un fragmento libre intra-articular.

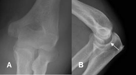
Fig 159. Subluxación.
A: Rx AP. No se identifican alteraciones.
B: Rx lateral. Aumento del espacio entre el epicóndilo medial y la cavidad coronoides, por subluxación.

Fig 160. Subluxación anterior.
A: Rx AP de hombro y B: TAC axial. Desalineación anterior de la articulación glenohumeral, con pérdida parcial de la relación articular.

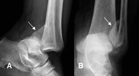
Fig 161. Luxofractura.
A: Rx lateral y B: Rx AP. Luxación anterior del tobillo, con fractura desplazada de la tibial distal.

Fig 162. Luxofractura.
A: Rx AP. Luxación anterior del hombro.
B: Rx AP. Después de la reducción, se identifican fragmentos óseos sueltos en la parte inferior de la glenoides.
C: TAC reconstrucción coronal. Se confirma la luxofractura, con fractura desplazada y conminuta de la glenoides inferior.

Fig 163. Diastasis.
A: Rx AP y B: TAC axial. Diastasis de la sínfisis púbica, conservándose íntegras las articulaciones sacroiliacas. Hay fractura vertical del sacro, sobre la línea media.

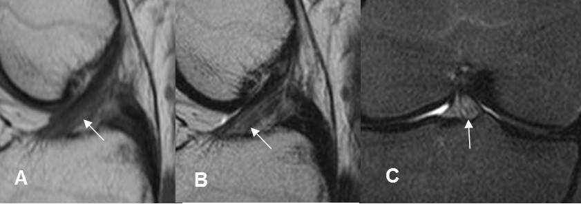
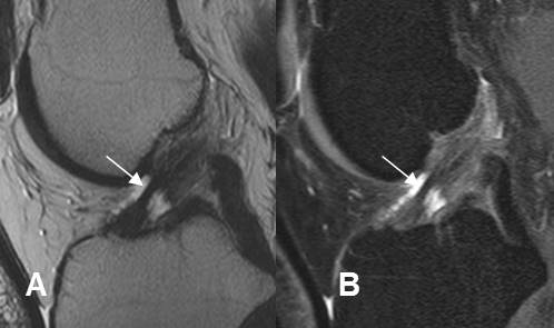
Fig 164. Esguince grado I.
A: RM sagital en T1, B: RM sagital en T2 y C: RM coronal en STIR. Alteración de la señal en el tercio distal del LCA, pero sin ruptura de fibras, por esguince GI.

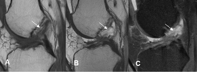
Fig 165. Esguince GII.
A: RM sagital en T2 y B: RM sagital en STIR. Adelgazamiento, con solución de continuidad en la mayoría de las fibras del LCA, por ruptura parcial.

Fig 166. Esguince G III.
A: RM sagital en T1, B: RM sagital en T2 y C: RM sagital en STIR. Ruptura completa del LCA en su origen femoral, con cambios inflamatorios agudos.

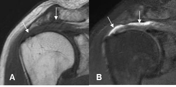
Fig 167. Bursa SASD patológica.
A: RM coronal en T1: Ausencia de la grasa normal en la bursa.
B: RM coronal en STIR. Líquido en la bursa SASD, por proceso inflamatorio.

Fig 168. Bursitis anserina.
A: RM coronal en STIR y B: RM axial en T2. Lesión quística septada, en relación con los
tendones de la pata de ganso, que corresponde a bursitis.
| Fecha de creación | Marzo 1 de 2011 |
| Fecha de actualización | Diciembre 14, 2014 |