GENERALIDADES TRAUMA.
Una fractura se define como la solución de continuidad de un hueso, cartílago o ambos. (1, 2, 3). Si solo hay fractura del cartílago, se conoce como fractura condral y si compromete el hueso y el cartílago, fractura osteocondral. (3).
Toda fractura se asocia a una lesión de los tejidos blandos, de severidad variable. (3).
Las articulaciones son las regiones del cuerpo, que permiten realizar los movimientos. Además por su elasticidad permiten soportar el peso y los estiramientos. (1).
Su estabilidad está determinada por elementos activos (músculos) y pasivos (Cápsula, ligamentos y la forma de la superficie articular). (1).
Las lesiones traumáticas del aparato osteomuscular son un proceso dinámico y el resultado de fuerzas externas agresoras directas o indirectas y la resistencia de los tejidos. (1).
La resistencia de los tejidos depende de: (1).
- Elasticidad: Capacidad del tejido para recuperar su forma inicial, cuando se deja de aplicar una fuerza que lo deforma.
- Plasticidad: Cuando se supera la fuerza que un tejido puede soportar, este se rompe.
Las sales minerales óseas se rompen con menos fuerzas, que las fibras de colágeno. (1).
Los diferentes tipos de fracturas dependen de: (1).
- Características del impacto:
- Magnitud y duración de la fuerza aplicada: La gravedad de una fractura es proporcional a la energía y duración del impacto. A mayor energía, mayor conminución y compromiso de tejidos blandos.
- Tipo de fuerza:
- Trauma directo: Impacto directo en el hueso, que produce fracturas conminutas, transversas o estrelladas.
- Trauma indirecto: Fuerzas por compresión, distensión, angulación, rotación y combinaciones, que ocasionan fracturas oblicuas, espiroideas y transversas.
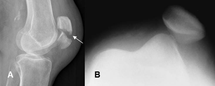
- Dirección: Una misma fuerza produce diferente tipo de lesión, dependiendo de la dirección en que actúe. Ej: Un trauma directo en la parte anterior de la patela, puede causar su fractura y uno en la parte medial, puede producir su luxación. (Fig 1).

Fig 1. Lesiones según la dirección del impacto.
A: Rx lateral. Fractura transversa, en el tercio medio de la patela.
B: Rx tangencial. Luxación lateral de la patela.
- Calidad del hueso: Depende de la proporción entre el tejido óseo frágil y el tejido conectivo elástico. Con el envejecimiento disminuye la masa ósea y el hueso se vuelve mas débil. Este tipo de hueso, se puede fracturar con un trauma mas leve. Por este mecanismo, se producen las fracturas por insuficiencia y las patológicas.
- Calidad de los tejidos de sostén: La menor resistencia de los tejidos, facilita la aparición de fracturas en los ancianos.
- Edad del paciente: El componente osteomuscular mas débil, varía con la edad del paciente. En los niños corresponde a la placa de crecimiento, en los adultos jóvenes los tendones y ligamentos y en los ancianos, las trabéculas óseas. Por lo anterior un mismo trauma en un niño ocasiona fracturas de la fisis, en los adultos jóvenes esguinces o luxaciones y en los ancianos fracturas.
| Fecha de creación |
Marzo 1 de 2011 |
| Fecha de actualización |
Diciembre 14, 2014 |