EPONIMOS.
Durante mucho tiempo se han descrito múltiples lesiones musculoesqueléticas, con epónimos o términos que pueden ser confusos. Son nombres cortos que describen una lesión característica. (12).
El epónimo se origina del nombre de una persona o grupo de personas que han descrito una estructura anatómica, clasificado un sistema, una enfermedad, un tipo de lesión, un signo, una técnica quirúrgica, etc. (13).
Es aconsejable estar familiarizado con estos términos para evitar confusiones, ya que son muy utilizados en la práctica diaria, aunque la recomendación es evitar su uso. (13).
Algunos de los términos mas utilizados: (6, 12, 13).

Fig 168. Dedo en martillo.
A: Rx lateral. Avulsión sobre la inserción del tendón extensor, en la base en la falange distal.
B: RM sagital en T1. Se confirma la avulsión. El tendón extensor se aprecia íntegro.
Fig 169. Fractura de don Juan.
A: Rx lateral y B: TAC axial de calcáneo. Fractura impactada y conminuta del calcáneo, con un ángulo de bohler negativo.
C: TAC reconstrucción lateral. Fractura en el cuerpo de D12.

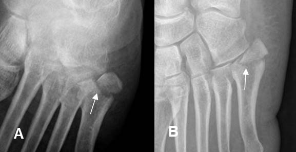
Fig 170. Fractura del bailarín.
A: Rx AP y B: Rx oblicua del pie. Fractura desplazada y con compromiso intra-articular, en la base del 5º metatarsiano, por avulsión del peroneo corto.

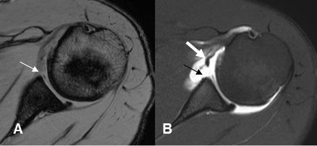
Fig 171. Lesión de Bankart.
A: RM axial en FFE y B: ArtroRM axial. Signos de lesión de Bankart, que se confirma en la ArtroRM. (Flecha delgada). Adicionalmente hay ruptura del LGH medio. (Flecha gruesa).

Fig 172. Lesión de Bankart óseo.
A: Rx AP. Luxación anterior del hombro.
B: Rx AP. Después de la reducción, se aprecian fragmentos óseos por debajo de la glenoides.
C: TAC axial. Fractura del borde anterior de la glenoides, por Bankart óseo.
D: TAC reconstrucción coronal. Fractura de la glenoides inferior, con fragmentos desplazados.
Fig 173. Fractura de Barton volar.
Rx oblicua. Fractura intra-articular y en sentido oblicuo, en la parte anterior del radio.

Fig 174. Fractura de Barton dorsal.
A: TAC axial y B: TAC reconstrucción sagital. Fractura intra-articular, que compromete la parte posterior del radio.

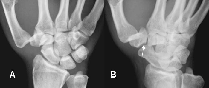
Fig 175 A. Luxación carpometacarpiana.
A: Rx AP y B: Rx oblicua. Luxación de articulación carpometacarpiana del pulgar, sin fractura del metacarpiano. Irregularidad en el trapecio, que puede corresponder a fisura.

Fig 175 B. Luxofractura de Bennet.
A: Rx AP y B: Rx oblicua. Subluxación de la articulación carpometacarpiana del pulgar y fractura en la base del metacarpiano, por luxofractura de Bennet.

Fig 176. Luxofractura de Rolando.
Rx AP. Luxofractura conminuta en la articulación metacarpofalángica del pulgar, por lesión de Rolando.
Fig 177. Fractura de Bowing.
Rx AP. Presencia de curvatura lateral en la diáfisis del radio, por deformidad plástica.

Fig 178. Fractura del boxeador.
A: Rx AP de mano. Fractura oblicua en la cabeza del 5º metatarsiano.
B: Rx oblicua de mano. Fractura en la diáfisis del 5º metatarsiano.

Fig 179. Fractura en torus.
A: y B: Rx AP. Cortical “arrugada en el tercio distal del radio, por fracturas en torus.

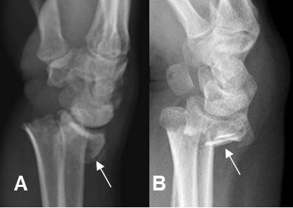
Fig 180. Fractura de Colles.
A: y B: Rx lateral de muñeca. Fractura de Colles, con desplazamiento posterior del fragmento distal del radio.

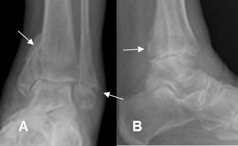
Fig 181. Fractura de Cotton.
A: Rx AP y B: Rx lateral. Fractura trimaleolar, con compromiso de ambos maleolos y la parte posterior de la tibia.

Fig 182. Fractura de Chance.
Fractura transversa y no desplazada, en el cuerpo vertebral y los elementos posteriores.

Fig 183. Fractura de Chopart.
A: Rx AP y B: Rx lateral. Luxo fractura de la articulación taloescafoidea.

Fig 184. Fractura de Chauffeur.
A y B: Rx AP de muñeca. C: RM coronal en STIR. Fractura intra-articular y en sentido oblicuo, en la parte lateral del radio distal.

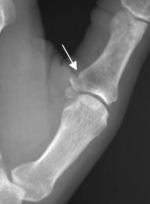
Fig 185. Fractura del esquiador.
A: Rx AP y B: Rx lateral del pulgar. Fractura en la base de la falange proximal del 1 dedo.

Fig 186. Fractura por explosión.
A: TAC axial y B: TAC reconstrucción sagital. Fractura conminuta del cuerpo vertebral, con compromiso de la columna anterior, media y posterior y fragmento retropulsado.

Fig 187. Fractura de Galeazzi.
A: Rx lateral, B: Rx AP y C: Rx oblicua. Fractura espiroidea y algo cabalgada, del radio y luxación en la articulación radioulnar distal.

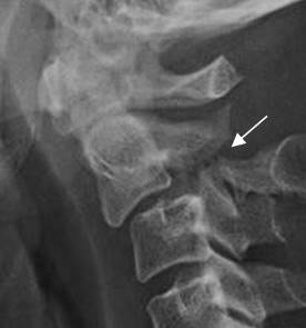
Fig 188. Fractura de Hagman.
Rx lateral. Fractura en los elementos posteriores de C2, con anterolistesis GI de C2, sobre C3.

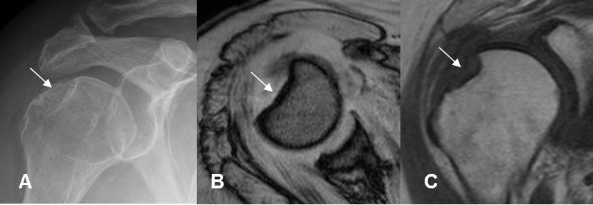
Fig 189. Fractura de Hill Sachs.
A: Rx AP, B: RM axial en FFE y C: RM coronal en T1. Zona deprimida en la parte superoexterna de la cabeza del húmero, por fractura de Hill Sachs.

Fig 190. Fractura de Jefferson.
A y B: TAC axial. Fractura conminuta del arco anterior y de la parte derecha del arco posterior de C1. Existen fragmentos libres dentro del canal y compromiso del agujero vertebral en el lado izquierdo. (Flecha gruesa).
C: TAC reconstrucción coronal. Desalineación entre las masas laterales de C1 y C2.

Fig 191. Fractura de Jones.
A: Rx Oblicua y B: Rx lateral. Fractura transversa, lineal y no desplazada, en el tercio proximal del 5º metatarsiano.

Fig 192. Enfermedad de Kienböck.
A: Rx AP. Hueso semilunar con pérdida de su configuración y aumento de la densidad.
B: RM coronal en T1. Semilunar hipointenso, por la presencia de osteonecrosis.

Fig 193. Lefort I.
A y B: TAC reconstrucción coronal. Fractura lineal de la pirámide nasal izquierda en A y deprimida de la derecha en B. Adicionalmente hay múltiples fracturas orbitarias en B.

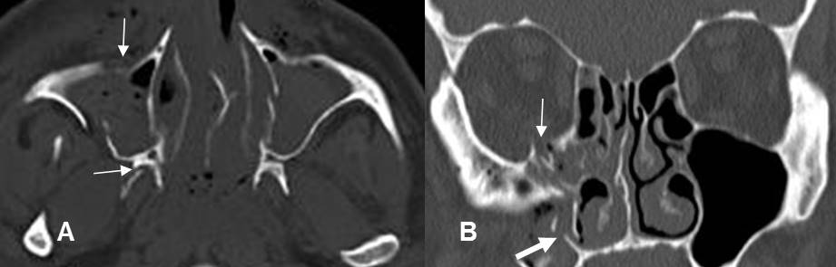
Fig 194. Lefort II.
A: TAC axial. Fractura de la lámina pterigoidea y el piso de la órbita derecha.
B: TAC reconstrucción coronal. Fractura no desplazada de la órbita. Adicionalmente hay fractura de la pirámide nasal derecha. (Flecha gruesa).

Fig 195. Lefort III.
A: TAC axial y B: TAC reconstrucción coronal. Múltiples fracturas en los antros maxilares y los rebordes orbitarios. En el lado derecho hay compromiso del piso de la órbita y el arco cigomático. (Flecha gruesa).

Fig 196. Fractura de Lisfranc.
A: Rx AP. Pérdida en la nitidez en las 2º y 3º articulaciones tarsometatarsianas, por fracturas no desplazadas en el plano AP.
B: TAC reconstrucción coronal. Fracturas conminutas en la cuña media y lateral, las cuales están desplazadas posteriormente.
Fig 197. Fractura de Maisonneuve.
A: Rx lateral y B: Rx AP. Fractura espiroidea de la tibia y el peroné proximales, con diastasis de la mortaja tibio-peronea-astragalina, por lesión ligamentaria.

Fig 199. Fractura de Monteggia.
A: Rx AP y B: Rx lateral. Fractura conminuta con angulación anterior del cúbito proximal (Flecha delgada) y luxación en la cabeza del radio. (Flecha gruesa).
Fig 200. Enfermedad de Osgood Schlatter.
A: Rx lateral, B: RM sagital en T1 y C: RM sagital en STIR. Fragmentación de la espina tibial anterior. (Flechas delgadas). En las imágenes de RM hay cambios inflamatorios en la parte anterior de la tibia y la grasa de hoffa.(Flechas gruesas).

Fig 201. Fractura de Stieda.
Rx AP. Fragmento suelto, por avulsión del cóndilo femoral medial.

Fig 202. Fractura del paleador.
A: Rx lateral. No se aprecian alteraciones, pero solo son evaluables 5 cuerpos vertebrales.
B: TAC axial C: TAC reconstrucción sagital. Fracturas no desplazadas en las apófisis espinosas de C6 y C7.

Fig 203. Luxo fractura de Rolando.
A: Rx AP y B: Rx oblicua. Luxofractura conminuta de la articulación carpometacarpiana del pulgar.

Fig 204. Fractura del saltador.
A: TAC axial y B: TAC reconstrucción coronal. Fractura en la parte superior del sacro.
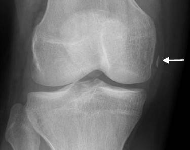
Fig 205. Fractura de Segond.
A: Rx AP de rodilla. Fragmento óseo por encima de la cabeza del peroné, paralelo al borde del platillo tibial, que corresponde a fractura de Segond.
B: RM coronal en STIR. Contusión asociada del cóndilo femoral y platillo tibial lateral.
C: RM sagital en STIR. Este tipo de lesión se asocia con ruptura del LCA.

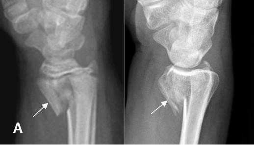
Fig 206. Fractura de Smith.
A y B: Rx lateral de muñeca. Fractura de Smith, con desplazamiento anterior del fragmento distal del radio.

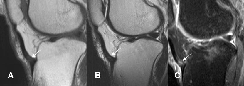
Fig 207. Rodilla del saltador.
A: RM sagital en T1, B: RM sagital en T2 y C: RM sagital en STIR. Cambios inflamatorios agudos en la inserción del tendón patelar el cual es hipointenso en T1 e hiperintenso en T2 y STIR, por inflamación aguda.
| Fecha de creación | Marzo 1 de 2011 |
| Fecha de actualización | Enero 26, 2015 |