COMPLICACION EN OTROS ORGANOS.

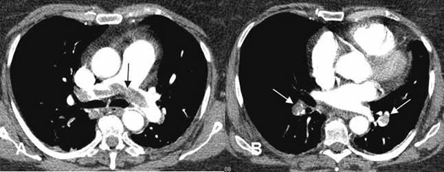
Fig 141. Tromboembolismo pulmonar.
A y B: TAC axial. Defectos de repleción en la arteria pulmonar y sus ramas principales, por TEP masivo.

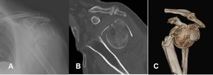
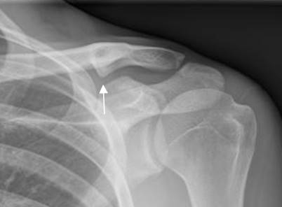
Fig 142 A. Luxofractura de hombro en reconstrucción 3 D.
A: Rx AP, B: TAC reconstrucción sagital y C: TAC reconstrucción 3 D. Luxofractura del hombro, con gran desplazamiento y angulación de la cabeza del húmero. Por las características de esta lesión, se debe descartar compromiso vascular.

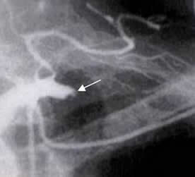
Fig 142 B. Trauma vascular.
Angiografía. Oclusión de la arteria subclavia izquierda, como complicación de una herida con arma cortopunzante, a nivel supraclavicular.

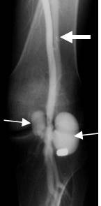
Fig 142 C. Oclusión.
A: Arteriografía AP. Oclusión de la arteria poplítea, después de una luxación de rodilla reducida.
B: Arteriografía lateral. Oclusión de la arteria poplítea, ocasionada por herida con arma de fuego.

Fig 142 D. Erosión de la íntima.
AngioTAC reconstrucción sagital. Disminución del calibre de la arteria poplítea por erosión de la íntima, después de una luxación de rodilla reducida.

Fig 142 E. Seudoaneurisma.
Arteriografía. Herida por arma cortopunzante axilar. Se identifica imagen sacular que se dirige superiormente y corresponde a seudoaneurisma.

Fig 142 F. Seudoaneurismas múltiples.
A y B: Arteriografía de extremidad superior. Paciente que recibe herida por perdigones. Muestra varias imágenes saculares, que corresponden a seudoaneurismas. (Flechas).

Fig 142 G. Seudoaneurisma.
AngioTAC reconstrucción coronal. Imagen sacular que se dirige hacia la parte medial de la pierna y corresponde a seudoaneurisma de la tibia anterior.

Fig 142 H. Fístula AV.
Arteriografía. Herida por arma cortopunzante en el hipogastrio. Paso tenue del contraste hacia la arteria iliaca externa derecha. (Flecha delgada). Llenado precoz de la vena iliaca común derecha, por fístula AV a nivel de la bifurcación iliaca. (Flecha gruesa).

Fig 142 I. Lesión compleja.
Arteriografía. Herida por proyectil de arma de fuego. Hay formación de seudoaneurismas en la arteria poplítea (Flechas delgadas) y visualización precoz de las venas poplítea y femoral superficial distal, por fístula AV asociada. (Flecha gruesa).

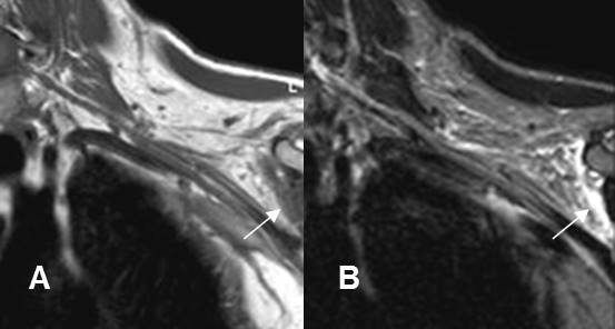
Fig 143. Neuropraxia.
A: RM coronal en T1y B: RM coronal en STIR. Cambios inflamatorios por encima de los vasos subclavios, que rodean las raíces nerviosas, las cuales permanecen integras. La lesión se produjo después de una luxación de hombro.

Fig 144. Ruptura de raíces.
A: RM axial y B: RM coronal en T2. Formación de seudomeningoceles en el lado derecho, por avulsión de las raíces.


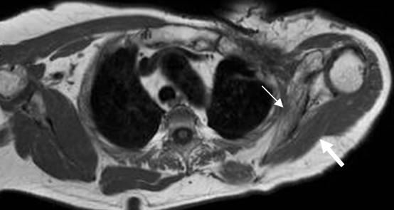
Fig 146. Denervación.
RM axial en T1. Atrofia de los músculos infraespinoso (Flecha gruesa) y subescapular (Flecha delgada), el cual presenta además degeneración grasa. Estos cambios son secundarios a denervación.

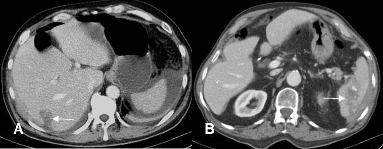
Fig 147. Lesión de vísceras.
A y B: TAC Axial. Imágenes hipodensas y lineales en el hígado y el bazo, que corresponden a contusiones. Se encuentra líquido periesplénico en ambos casos.

Fig 148. Lesión de vísceras.
A: Rx PA. Enfisema celular subcutáneo, lo que hace sospechar fractura costal y neumotórax.
B: TAC axial. Fractura costal que ocasiona estallido esplénico.

Fig 149. Hematoma muscular.
A: Rx lateral. Prominencia en los tejidos blandos de la región posterior.
B: Ecografía axial. Colección líquida dentro del músculo gemelo, por hematoma.

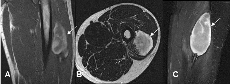
Fig 151. Hematoma muscular subagudo.
A: RM coronal en T1. Colección heterogénea, con áreas hiperintensas por evolución subaguda, en el músculo vasto externo.
B: RM axial en T2 y C: RM sagital en STIR. Colección intramuscular, definida e hiperintensa.

Fig 152. Ruptura muscular.
A: Ecografía longitudinal. Colección líquida, que corresponde a hematoma.
B: RM coronal en T2 y C: RM coronal en STIR. Ruptura en el origen de los isquiotibiales, con extremo retraído. (Flechas delgadas). Existe hematoma intermuscular asociado. (Flecha gruesas).

Fig 153. Miositis osificante.
A: Rx de cadera y B: TAC axial. 2 casos diferentes donde existe calcificación de tejidos blandos en relación con grupos musculares, por miositis osificante.

| Fecha de creación | Marzo 1 de 2011 |
| Fecha de actualización | Enero 16, 2015 |