COMPLICACIONES DE LAS FRACTURAS.
Las complicaciones pueden ser por la propia fractura o de los órganos vecinos. (1, 3).
Complicaciones de la fractura:

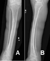
Fig 122. Consolidación retardada.
A: Rx AP. Fractura espiroidea en la tibia, que se manejó con reducción cerrada y estabilización con yeso.
B: Rx AP. Rx de control a los 4 meses, sin formación de callo óseo y los extremos no están en contacto.


Fig 124. Seudoartrosis del escafoides.
A: Rx AP y B: TAC reconstrucción coronal. Seudoartrosis del escafoides, manejada con tornillo.

Fig 125. Seudoartrosis.
A: Rx AP y B: TAC reconstrucción sagital. Fractura con extremos escleróticos y con poca formación de callo óseo, por seudoartrosis.

Fig 126. Seudoartrosis.
A: Rx AP. Fractura conminuta de la cabeza humeral.
B: Rx AP. Después de 7 meses persiste separación entre los fragmentos y no se encuentra callo óseo.
C: RM coronal en T2. El espacio entre los fragmentos está ocupado por líquido, confirmando el diagnóstico de seudoartrosis.

Fig 127. Aflojamiento.
A: Rx AP de cadera. Aflojamiento de la prótesis, con un espacio mayor de 2 mm. Adicionalmente hay fractura en el tercio medio del vástago. (Flecha gruesa).
B: TAC reconstrucción coronal. Otro caso con aflojamiento de la prótesis.
Fig 128. Consolidación defectuosa.
Rx AP. Fractura en la unión entre el tercio medio y proximal del fémur, que ha consolidando con desviación en varo.


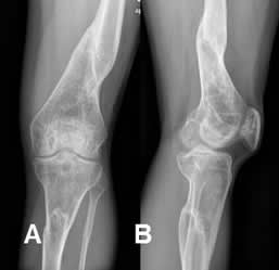
Fig 130 A. Mala consolidación.
A: Rx AP: Fractura en la diáfisis humeral, con callo óseo hipertrófico.
B: Rx AP. Completa consolidación, pero con fragmentos cabalgados.

Fig 130 B. Consolidación defectuosa.
A: Rx AP. Fractura consolidada y cabalgada del fémur distal.
B: Rx lateral. Adicionalmente se aprecia rotación en el eje longitudinal de los cóndilos femorales, en relación con los platillos tibiales.

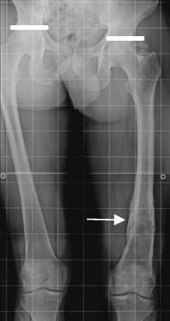
Fig 131. Acortamiento.
Rx telemétrica en AP. Fractura consolidada sobre el fémur izquierdo, que ocasiona acortamiento de la extremidad.

Fig 132. Osteonecrosis del escafoides.
A: Rx AP, B: TAC reconstrucción coronal y C: TAC reconstrucción sagital. Fractura del escafoides fijada con material de osteosíntesis. El polo inferior es denso y ha perdido volumen, por osteonecrosis. (Flechas gruesas). Adicionalmente hay signos de seudoartrosis, con aumento del espacio entre los extremos, esclerosis de los bordes y ausencia de callo óseo. (Flecha delgada).


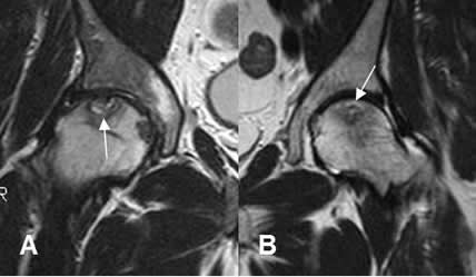
Fig 134. Osteonecrosis.
A y B: RM coronal en T2. Aunque no son pacientes con trauma, se muestran cambios por osteonecrosis. Signo del doble halo con reborde hiperintenso en T2, específico de esta patología.


Fig 136 A. Infección.
A: RM Coronal en STIR y B: RM sagital en STIR. PostQx de reconstrucción del LCA. Hay salida de material purulento por el orificio del túnel tibial y edema de la microtrabécula, por osteomielitis. (Flecha delgada).

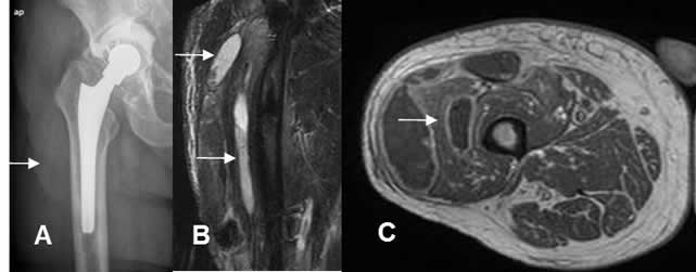
Fig 136 B. Infección postquirúrgica.
A: Rx AP. Prótesis de la cabeza femoral, por fractura basicervical. Se encuentra prominencia en los tejidos blandos.
B: RM coronal en STIR y C: RM axial en T1 con contraste. Edema de tejidos blandos, con colecciones líquidas cuyos bordes realzan con el contraste, por la formación de abscesos.

Fig 137. Infección asociada al material.
A: Rx AP. Infección en la prótesis de cabeza femoral, que obligó a su retiro. Hay luxación de la articulación y burbujas de aire en los tejidos blandos.
B: Ecografía. Imagen mal definida en los tejidos blandos, que corresponde a colección.
C: TAC axial y D: TAC reconstrucción coronal. Artritis séptica en la cadera, con abundante líquido y aire sobre la cavidad articular.

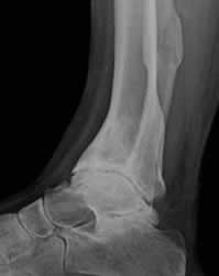
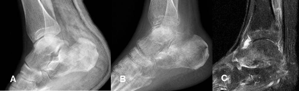
Fig 138. Artropatía neuropática. Patrón hipertrófico.
Rx lateral. Disminución del espacio tibioastragalino, con esclerosis y formación de osteofitos anteriores. Fractura consolidada de la tibia, como desencadenante.



Fig 140. Artrosis.
Rx AP. Fractura intra-articular de la falange distal. Luego de su consolidación, deja como secuela la fusión de la articulación.
| Fecha de creación | Marzo 1 de 2011 |
| Fecha de actualización | Diciembre 7, 2015 |