TRAUMA DEL TOBILLO.
Clasificación de las fracturas del tobillo, según Denis-Weber: (3, 28).

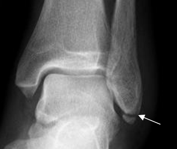
Fig 42. Fractura del maléolo externo.
Rx AP. Fractura del maléolo externo, por debajo de la sindesmosis.

Fig 43. Fracturas del meléolo externo.
A: TAC reconstrucción coronal y B: TAC reconstrucción sagital. Fractura en sentido transverso del maleolo externo, levemente desplazada.

Fig 44. Fractura del maléolo externo.
A: Rx AP y B: RM corte coronal en T2. Fractura no desplazada del maléolo externo (Flecha delgada), con edema de tejidos blandos. (Flecha gruesa).
| Fecha de creación | Marzo 1 de 2011 |
| Fecha de actualización | Diciembre 3, 2014 |