FRACTURAS DE STRESS.
También conocidas como fracturas de March. (2). Son comunes en los bailarines, militares y corredores. El tercio medio y distal del 2º, 3º y 4º metatarsianos, son los sitios mas frecuentemente comprometidos. (2, 7).
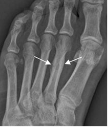
El estudio de Rx simple puede ser normal, encontrar zona de reacción perióstica o clara línea de fractura. (2). (Fig 34 y 35).
En la RM se manifiesta como un área mal definida, con disminución de la SI de la medula ósea en T1 y aumento en T2 y STIR. (7). (Fig 36 A y B).

Fig 34. Fractura de stress.
Rx AP. Reacción perióstica en el tercio medio del 2º metatarsiano, por fractura de stress.

Fig 35. Fractura de stress.
TAC reconstrucción axial. Fractura en el metatarsiano, con incipiente formación de callo óseo.

Fig 36 A. Fractura de stress.
A: RM coronal en T1 y B: RM coronal en STIR. Fracturas no desplazadas y de evolución aguda, en las bases del 2º y 3º metatarsianos.

Fig 36 B. Fractura de stress.
A: Rx AP. No se encuentran alteraciones.
B: RM Coronal en T1, C: RM coronal en STIR y D: RM axial en STIR. Fractura no desplazada y con formación de callo óseo, en la unión entre el tercio medio y distal del 3º metatarsiano, con cambios inflamatorios en los tejidos blandos.
| Fecha de creación | Marzo 1 de 2011 |
| Fecha de actualización | Noviembre 17, 2014 |