LUXOFRACTURAS.
DE LISFRANC: Lesión a nivel de la articulación tarsometatarsiana. En ocasiones los cambios son sutiles y se reconocen por la mala alineación.
Normalmente existe continuidad entre el 2º metatarsiano y la cuña medial en la proyección AP del pie y entre el 3º metatarsiano y la cuña lateral en al proyección oblicua. (Fig 53).
Generalmente los metatarsianos se desplazan posteriormente con o sin fracturas asociadas. (2).(Fig 54, 55 A y B).

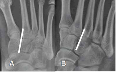
Fig 53. Alineación de los metatarsianos.
A: Rx AP del pie. Alineación entre el 2º metatarsiano y la cuña medial.
B: Rx oblicua del pie. Alineación entre el 3º metatarsiano y la cuña lateral.

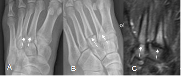
Fig 54. Fractura de metatarsianos.
A: Rx AP y B: Rx oblicua. Fracturas no desplazadas en las bases del 2º y 3º
metatarsianos, conservándose la alineación con las cuñas.
C: RM axial en STIR 6 meses después. Fracturas no consolidadas, que hacen sospechar la formación de seudoartrosis.

Fig 55 A. Fractura de metatarsianos.
A: Rx AP. Pérdida de la nitidez en las 2º y 3º articulaciones tarsometatarsianas, por fracturas.
B: TAC reconstrucción coronal. Fracturas conminutas en la cuña media y lateral, las cuales están desplazadas posteriormente.

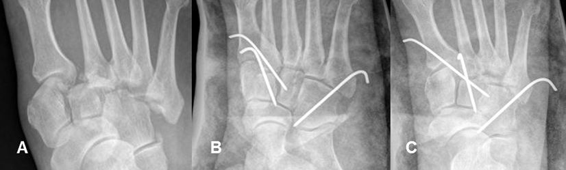
Fig 55 B. Luxofractura de Lisfranc.
A: Rx AP. Pérdida de las relaciones articulares entre todas las bases de los metatarsianos, las cuñas y el cuboides, por luxofractura de lisfranc.
B: Rx oblicua y C: Rx AP. Reducción de las luxaciones, con clavos de Steiman.
| Fecha de creación | Marzo 1 de 2011 |
| Fecha de actualización | Diciembre 1, 2014 |