CONTUSION OSEA.
Se relacionan con microfracturas de la trabécula, edema o hemorragia de la medula. En su fase aguda, se manifiestan en la RM como lesiones hipointensas en T1 e hiperintensas en T2 y STIR y generalmente se resuelven entre 8 y 12 semanas. (1).
Asociada a las contusiones, se pueden encontrar fracturas radiológicamente ocultas, que son diagnosticadas con RM y aparecen como líneas hipointensas en T1. (1). (Fig 31, 32 y 33).
La RM es muy útil, para la detección de fracturas en pacientes osteopénicos. (1)

Fig 31. Contusión del calcáneo.
A: Rx lateral, sin hallazgos anormales.
B: RM coronal y C: RM sagital en STIR. Zona hiperintensa en la parte anterolateral del calcáneo, compatible con contusión.

Fig 32. Contusión de los metatarsianos.
A: RM coronal y B: RM axial en STIR. Lesiones hiperintensas sobre el tercio distal del 2º y 5º metatarsianos, por contusiones óseas.

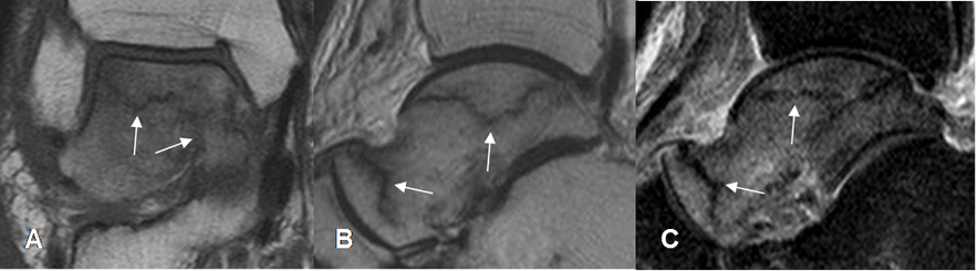
Fig 33. Fractura del talo.
A: RM coronal y B: RM sagital en T1. Talo hipointenso, con fracturas lineales.
C: RM sagital en STIR Edema óseo y confirmación de las fracturas lineales.
| Fecha de creación | Marzo 1 de 2011 |
| Fecha de actualización | Noviembre 17, 2014 |