TRAUMA DEL CALCANEO.
El calcáneo es el hueso que soporta el peso del cuerpo y es la estructura que mas comúnmente se fractura en el pie. (9).
Las fracturas de este hueso, se pueden dividir en intra y extra-articulares.
La mayoría de las fracturas son intra-articulares, producidas por un mecanismo de compresión axial.
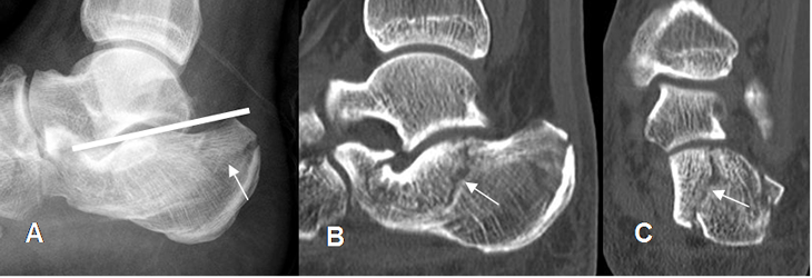
Se diagnostican con una proyección lateral, que permite medir el ángulo de Bohler. Esta formado por la intersección entre las líneas que unen la parte mas superior del calcáneo, con su parte anterior y posterior. La amplitud normal está entre 20º y 40º. En casos de fracturas, el ángulo está disminuido. (9). (Fig 45 y 46 A y B).
Ante una fractura del calcáneo por caída de altura, se debe descartar fractura asociada de la columna vertebral. (Fig 47).
El estudio con TAC y reconstrucciones tridimensionales, es el estudio de elección para su caracterización y la planificación quirúrgica. (2). (Fig 48).

Fig 45. Angulo de Bohler normal.

Fig 46 A. Fractura de calcáneo.
A: Rx lateral, B: TAC reconstrucción lateral y C: TAC reconstrucción coronal.
Fractura impactada y conminuta del calcáneo, con ángulo de Bohler plano.

Fig 46 B. Fractura del calcáneo.
A: Rx lateral y B: RM sagital en T2. Fractura impactada, con disminución del ángulo de bohler.

Fig 47. Fractura del calcáneo.
A: Rx lateral y B: TAC axial de calcáneo. Fractura impactada y conminuta del calcáneo, con un ángulo de Bohler negativo.
C: TAC reconstrucción lateral. Fractura asociada en el cuerpo de D12.

Fig 48. Fractura del calcáneo.
A: TAC axial, B: TAC reconstrucción coronal y C: TAC reconstrucción sagital.
Fractura conminuta del calcáneo, con múltiples fragmentos sueltos.
| Fecha de creación | Marzo 1 de 2011 |
| Fecha de actualización | Enero 18, 2012 |