SINDROME DEL SENO DEL TARSO.
El seno del tarso es el espacio comprendido entre el talo y el calcáneo, en la parte lateral del pie. Contiene grasa, estructuras neurovasculares y el ligamento talocalcáneo, como sus principales estructuras. (1). (Fig 105, 106 y 107).

Fig 105. Seno del tarso normal.
A: Rx AP y B: Rx lateral. Espacio normal en la parte lateral.

Fig 106. Seno del tarso normal.
A: TAC axial, B: TAC reconstrucción sagital y C: TAC en reconstrucción 3 D.
Espacio normal en la parte lateral.

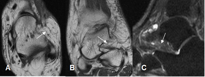
Fig 107. Seno del tarso normal.
A: RM axial y B: RM coronal en T1 y C: RM Sagital en STIR. Espacio del seno ocupado por tejido graso. (Flechas).
La patología se origina generalmente después de trauma en inversión, que produce fibrosis del receso, con o sin lesión del ligamento colateral lateral. (1).
Clínicamente se manifiesta con inestabilidad y dolor lateral.
En la RM existe obliteración de la grasa, líquido y fibrosis asociada, con o sin ruptura ligamentaria. (Fig 108).
En casos avanzados aparece osteoartrosis de la articulación subtalar y formación de quistes subcondrales. (1). (Fig 109).
Otras patologías que pueden originar síndrome del tarso, como gangliones, tumores (Lipomas, neurofibromas), etc. (Fig 109 y 110).

Fig 108. Sindrome del seno del tarso.
A: RM coronal en T1. Imagen hipointensa localizada en el seno del tarso, que reemplaza la grasa.
B: RM axial en T1 y C: RM axial en T2. Tejido inflamatorio en el seno del tarso, hipointenso en ambas secuencias por fibrosis crónica, que rodea los tendones peroneos (Flechas).

Fig 109. Sindrome del seno del tarso.
A: RM coronal en T1 y B: RM coronal en STIR. Lesiones osteocondrales en la articulación subtalar, (Flechas delgadas), con extensión de los cambios inflamatorios a la grasa del seno del tarso. (Flechas gruesas).

Fig 110. Ganglión en el seno del tarso.
RM axial en T2. Imagen redondeada y de consistencia quística en el seno del tarso, que corresponde a ganglión.

Fig 111. Lipoma del seno del tarso.
A: RM axial en T1 y B: RM axial en STIR. Lesión ovalada e hiperintensa que ocupa el seno del tarso, hiperintensa en T1 y que suprime en STIR, por lipoma.
| Fecha de creación | Marzo 1 de 2011 |
| Fecha de actualización | Noviembre 21, 2011 |