SINDROMES DE PINZAMIENTO POSTERIOR.
PINZAMIENTO POSTERIOR:
Este síndrome es también conocido como síndrome de os trigonum o de compresión talar y ha sido descrito clásicamente en bailarines de ballet o en personas que hacen hiperflexión, al pararse en las puntas de los dedos. (18).
Se caracteriza clínicamente por dolor en la región posterolateral del tobillo y es ocasionado por lesión del LPAP, fractura del talo o disrupción de la sincondrosis de la os trigonum.
El mecanismo implicado es la compresión de los tejidos blandos y el talo posterior, entre la tibia y el calcáneo. (15).
La principal estructura comprometida es el tendón de flexor largo del hallux, produciéndose tenosinovitis. (18).
El síndrome es ocasionado por un componente óseo, que es el mas común o un componente de tejidos blandos. (15, 18).

Fig 98. Diagrama de las principales causas de pinzamiento posterior.
A: Proceso de Stieda. B: Os trígonum. C: Deformidad de Haglund y D: Prominencia de la plataforma tibial.
La RM se utiliza para hacer el Dx y muestra el edema óseo de las estructuras comprometidas, por contusión o fracturas ocultas, cambios inflamatorios en los tejidos blandos, sinovitis en el receso posterior de la articulación subtalar y tenosinovitis del flexor largo del hallux. (15). (Fig 99, 100, 101 y 102). Como hallazgo asociado, se puede encontrar engrosamiento de los ligamentos posteriores del tobillo. (18).
Se ha descrito el síndrome de Haglund, donde además de la deformidad ósea del talo, se encuentra tendinosis del aquiles y bursitis retrocalcánea. (18). (Fig 103).

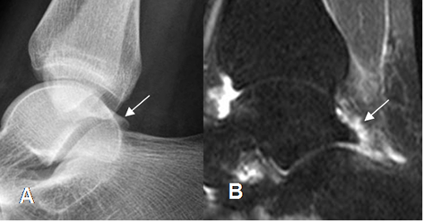
Fig 99. Pinzamiento posterior por proceso de Stieda.
A: Rx lateral y B: TAC reconstrucción sagital. Prominencia en la parte posterior del talo, que comprime los tejidos blandos y corresponde a proceso de Stieda.
C: TAC corta axial. Proceso de Stieda y osteofitos que ocupan el canal del flexor del hallux.

Fig 100. Pinzamiento posterior por proceso de Stieda.
A: Rx lateral. Presencia de proceso de Stieda.
B: RM sagital en STIR. Proceso de Stieda que produce pinzamiento y signos de sinovitis.

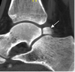
Fig 101 A. Pinzamiento posterior.
TAC reconstrucción sagital. Presencia de os trígonum.

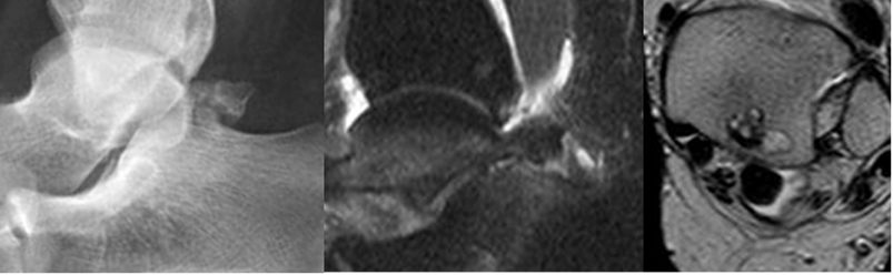
Fig 101 B. Pinzamiento posterior por os trígonum.
A: Rx lateral y B: RM sagital en STIR. Os trígono hipertrófico, que ocasiona pinzamiento y signos de sinovitis.
C: Engrosamiento del flexor largo del hallux, el cual está rodeado por líquido, por tendinitis crónica y tenosinovitis.

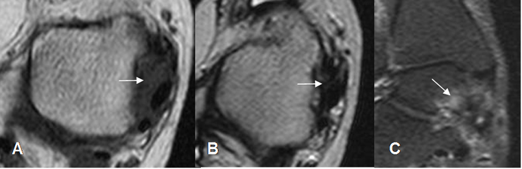
Fig 102. Pinzamiento posterolateral.
A: RM axial en T1, B: RM axial en T2 y C: RM coronal en STIR. Tejido inflamatorio hipointenso en T1 e hiperintenso en T2 y STIR, en la parte posterolateral del tobillo.

Fig 103. Pinzamiento posterior por sindrome de haglund.
A: Rx lateral. Prominencia del tubérculo del calcáneo, en la parte posterior.
B: RM sagital en T1. Engrosamiento del aquiles por tendinosis.
C: RM sagital en STIR. Presencia de líquido pre-aquiliano, por bursitis.
PINZAMIENTO POSTEROMEDIAL:
Es otra causa rara de dolor, que aparece después de una fuerte inversión del tobillo, donde se comprimen las fibras profundas del ligamento deltoideo. (15).
Como resultado aparece tejido de fibrosis, entre la parte posterior del maléolo interno y el talo. (18).
La RM muestra la lesión fibrosa, engrosamiento de los tejidos blandos y contusión ósea del maléolo interno y el talo. (15). (Fig 104).
Siempre hay alteración en la señal del LTAP y sinovitis asociada. Igualmente pueden encontrarse signos de pinzamiento anterolateral y lesión osteocondral del talo en la parte lateral. (18).

Fig 104. Pinzamiento posteromedial.
A: RM axial en T1 y B: RM axial en T2. Tejido inflamatorio crónico, hipointenso en ambas secuencias, rodeando los ligamentos y tendones mediales.
C: RM coronal en STIR. Contusión del talo.
| Fecha de creación | Marzo 1 de 2011 |
| Fecha de actualización | Noviembre 21, 2011 |