SINDROMES DE PINZAMIENTO ANTERIOR.
Los síndromes de pinzamiento son causas de dolor crónico, que resultan de esguinces del tobillo (15) y clínicamente su diagnóstico es casi de exclusión. (16).
Por su localización y sintomatología, se clasifican en: (15):
PINZAMIENTO ANTERIOR:
Es también llamado tobillo del futbolista. (16). Es común en personas con stress repetido en dorsiflexión del tobillo, que produce microfracturas o sangrado perióstico, que ocasiona la formación de osteofitos. (15).
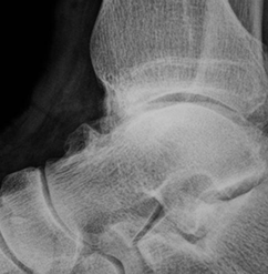
En la Rx lateral se detectan los osteofitos en forma de pico de pájaro, en la parte anterior de la articulación tibiotalar (15, 16). (Fig 89).
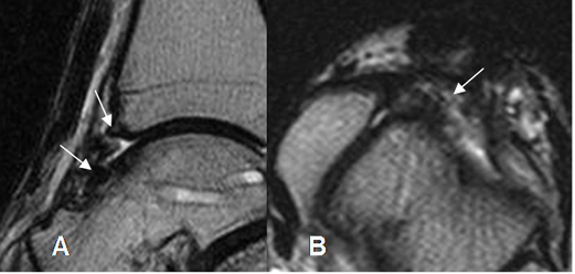
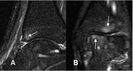
Con la RM se valora el grado de daño cartilaginoso (16). Además se aprecia el edema óseo y los signos de sinovitis en el receso capsular anterior. (15). (Fig 90, 91).

Fig 89. Pinzamiento anterior.
Rx lateral. Formación de osteofitos en la parte anterior de la tibia y el borde superior del talo.

Fig 90. Pinzamiento anterior.
A: RM sagital en T2. Formación de osteofitos.
B: RM axial en T2. Derrame articular en la parte anterior de la articulación, con sinovitis asociada. (Flecha).

Fig 91. Pinzamiento anterior.
A: RM sagital y B: RM coronal en STIR. Edema óseo en la tibia y el talo, por el microtrauma repetido.
PINZAMIENTO ANTEROLATERAL:
Es una causa común de dolor lateral crónico, que se asocia con lesiones de los LPAA y LTPA. (1).
Esta lesión aparece hasta en el 3% de los pacientes, después de una inversión forzada menor. (15).
Se puede valorar con Rx AP y de stress. Un ensanchamiento del espacio tibioperoneo más de 5 mm, al comparar con el contralateral o un desplazamiento absoluto mayor de 9 mm, indica ruptura del LPAA. (17).
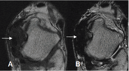
La sinovitis crónica secundaria a la inestabilidad, produce una masa de tejidos blandos, que ocupa el receso anterolateral. (1). Se identifica en la RM, como una imagen irregular hipointensa en T1 y T2, que oblitera el receso. (17). (Fig 92).
También puede encontrarse líquido asociado y lesiones osteocondrales de la tibia y el talo. (17). (Fig 93).
Todos estos cambios son mejor visualizados con ArtroRM. Con esta técnica, no se identifica el receso anterolateral, por la formación de adherencias entre el peroné y la cápsula articular. (15, 16).

Fig 92. Pinzamiento anterolateral.
A: RM coronal en T1. Alteración en la señal y morfología de los componentes del LCL.
B: RM axial en T2. Grupo ligamentario lateral engrosado e hipointenso por fibrosis crónica.

Fig 93. Pinzamiento anterolateral.
A: TAC reconstrucción coronal, B: RM coronal en T1 y C: RM coronal en STIR. Lesión osteocondral en la parte superoexterna del talo.
PINZAMIENTO ANTEROMEDIAL:
Es una causa poco frecuente de dolor crónico en el tobillo, que puede aparecer aislada u originarse por una ruptura parcial de los componentes profundos del ligamento deltoideo. (15).
El microtrauma repetido ocasiona una lesión meniscoide o fibrosis, secundaria al engrosamiento de la cápsula y la sinovitis. Igualmente puede haber formación de osteofitos y lesión osteocondral. (15,16). (Fig 94, 95, 96 y 97).
Con la ArtroRM se identifica la lesión meniscoide y el engrosamiento del LTAA. (15).

Fig 94. Pinzamiento anteromedial.
A: TAC corte axial y B: Reconstrucción coronal. Imagen con densidad de tejidos blandos, en la parte medial, que corresponde a lesión meniscoide y produce pinzamiento anteromedial.

Fig 95. Pinzamiento anteromedial.
A: RM axial en T1. Alteración en la señal y morfología de los componentes del LCM.
B: RM axial en T2. Grupo ligamentario engrosado e hipointenso por fibrosis crónica.

Fig 96. Pinzamiento anteromedial.
A: RM coronal en T1. Alteración en la señal y morfología de los componentes del LCM.
B: RM coronal en T1 y C: coronal en STIR. Caso mas avanzado, con fibrosis y formación de lesión meniscoide.

Fig 97. Pinzamiento anteromedial.
A: Rx AP, B: RM coronal en STIR y C: RM coronal en T1. Lesión osteocondral en
la parte superointerna del talo.
| Fecha de creación | Marzo 1 de 2011 |
| Fecha de actualización | Noviembre 21, 2011 |