OTRAS PATOLOGIAS TOBILLO.
MASAS DE TEJIDOS BLANDOS NO NEOPLASICAS:
GANGLION QUISTICO:
Son las más comunes masas de tejidos blandos que afectan el tobillo y el pie. (5).
Se localizan sobre el dorso de las articulaciones metatarsofalángicas o en el seno del tarso y son una causa frecuente de compresiones a este nivel. (1,5).
Clínicamente se encuentra una masa dolorosa, renitente y bien definida. (1).
En la ecografía se encuentra como una lesión quística y en la RM, una lesión homogénea, hipointensa o con SI intermedia en T1, según su contenido de proteínas e hiperintensa en T2 y STIR. Muestra una cápsula fibrosa hipointensa, que puede realzar con el contraste. La lesión puede ser uni o multilocular y se puede identificar una cola que se dirige hacia tendón o articulación donde se origina. (1,5). (Fig 140).
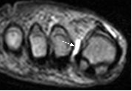
BURSITIS:
Pueden comprometer las bursas intermetatarsianas o los tendones de las cabezas de los metatarsianos.
Varias causas como el trauma, la infección, la gota y artritis reumatoidea, puede ocasionarla.
Recordar que la presencia de líquido sobre la 1º, 2º y 3º bursas intermetatarsianas, con un diámetro menor a 3 mm, puede ser normal. (5).
Se identifican como colecciones líquidas hipointensas en T1 e hiperintensas en T2 y STIR. (5). (Fig 141).

Fig 141. Bursitis.
RM coronal en T2. Líquido en el 1º espacio intermetatarsiano, por bursitis.
| Fecha de creación | Marzo 1 de 2011 |
| Fecha de actualización | Noviembre 22, 2011 |