NEUROMA DE MORTON.
El neuroma no es un verdadero tumor. Corresponde a una lesión ocasionada por fibrosis del perineuro y degeneración neural. (5).
Es mas frecuente en las mujeres y se encuentra a nivel de las cabezas del 3º y 4º metatarsianos, aunque cualquier espacio puede estar comprometido. (1).
Esta patología se manifiesta con dolor plantar que se irradia a los dedos y hasta el 33% de los pacientes son asintomáticos, pero con lesiones menores de 5 mm. (22).
La Rx simple del pie, generalmente no ayuda. (1).
La valoración con RM está indicada cuando la localización o características del dolor no son típicas o cuando se quiere excluir otra patología. (19).
Se aprecia mejor en los cortes coronales, como una lesión ovalada y bien definida, rodeada por grasa, entre los metatarsianos. (22).
Presenta una SI baja a intermedia en T1 y T2, por la presencia de fibrosis. (1). (Fig 120).
Muestra un alto realce del contraste en la secuencia T1 con supresión grasa, lo que aumenta la sensibilidad. (1, 5). (Fig 121).
El engrosamiento del nervio, frecuentemente se asocia con bursitis. (1).
Puede encontrarse líquido fisiológico entre las bursas intermetatarsianas y se considera patológico, si tienen más de 3 mm de diámetro transverso o se localiza en el 4º espacio. (22). (Fig 122).
El Dx diferencial incluye: Neurofibroma, bursitis intermetatarsal, fracturas de stress, fractura o necrosis de los sesamoideos, quiste sinovial, nódulos reumatoideos, tumor de células gigantes, fibromatosis plantar y granuloma a cuerpo extraño. (22).

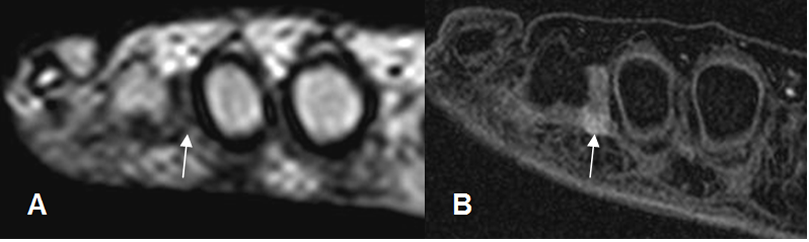
Fig 120. Neuroma de Morton.
A: RM coronal en T2 y B: RM coronal en STIR. Lesión de tejidos blandos entre el 3º y 4º metatarsianos, hipointensa en T2 e hiperintensa en STIR, compatible con neuroma de morton.

Fig 121. Neuroma de Morton.
A: RM coronal en T1 simple y B: RM coronal en T1 con contraste. Lesión hipointensa entre
el 3º y 4º metatarsianos, que realza con el contraste y corresponde a neuroma de morton.

Fig 122. Bursitis.
RM coronal en STIR. Líquido rodeando el 1º dedo y el espacio entre el 3º y 4º, por bursitis.
| Fecha de creación | Marzo 1 de 2011 |
| Fecha de actualización | Diciembre 3, 2014 |