LESIONES MUSCULARES TOBILLO.
Las injurias tendinosas pueden ser agrupadas en 5 grupos, que coexisten y se superponen, siendo a veces indistinguibles con RM. (2).
Tendinosis:
Se caracteriza por degeneración y necrosis del tendón, con cambios inflamatorios o no y además hiperplasia angiofibroblástica.
En la ecografía existe engrosamiento focal o completo de las fibras, que adquieren forma fusiforme. Se asocia a neovascularización, la cual puede ser identificada con el análisis doppler. Pueden verse áreas hiperecoicas por fibrosis reparativa o calcificaciones. (4). (Fig 67).
En la RM se aprecia un tendón engrosado, con zonas de aumento en la SI de T1, DP y T2. (1, 7). (Fig 68, 69 y 70).

Fig 67. Tendinitis crónica.
A: Ecografía axial. Engrosamiento de los tendones peroneos, por inflamación crónica, los
cuales están además rodeados por líquido.
B: Doppler axial. Tendón peroneo engrosado y con aumento de la señal doppler, por neovascularización.

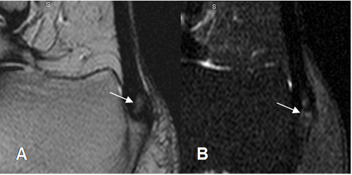
Fig 68. Tendinitis aguda.
A: RM sagital en T2 y B: RM sagital en STIR. Area hiperintensa sobre la inserción del tendón de aquiles, por inflamación aguda.

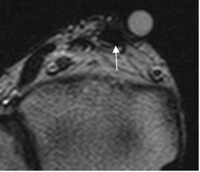
Fig 69. Tendinitis crónica del tibial anterior.
A: RM axial en T2. Engrosamiento del tendón tibial anterior. (Marca sobre la región de interés).

Fig 70. Tendinitis crónica de peroneos.
A: Rx oblicua del pie. Calcificación de la parte distal del peroneo corto, antes de su inserción.
B: RM axial en T2. Engrosamiento del tendón peroneo largo, por inflamación crónica.
Tenosinovitis:
Es la inflamación de la vaina tendinosa, por inflamación de la sinovial, infección o irritación mecánica. (7).
En la ecografía se identifica líquido rodeando el tendón, apareciendo como signo de target en plano axial y de la carrilera en el longitudinal. (4). (Fig 71 y 72).
Con la RM se observa líquido, proliferación de la sinovial o cicatriz del tendón y los tejidos blandos adyacentes. (Fig 73, 74 y 75). (1). Luego de la administración de contraste, hay realce del tendón. (7).

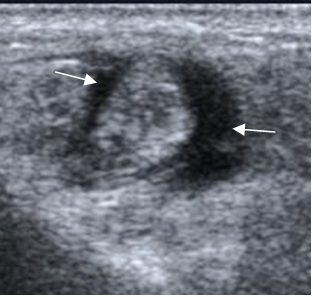
Fig 71. Tenosinovitis.
Ecografía axial. Tendones peroneos engrosados y rodeados por líquido, por tenosinovitis.

Fig 72. Tenosinovitis del aquiles.
Ecografía longitudinal. Liquido rodeando el tendón de aquiles, por tenosinovitis.

Fig 73. Tenosinovitis de músculos anteriores.
A: RM axial T2 del tobillo y B: RM coronal del pie en STIR. Líquido rodeando completamente
el tendón del extensor largo de los dedos y extensor propio del 2º dedo.

Fig 74. Tenosinovitis de los músculos del compartimiento posterior.
A: RM axial en T2. Líquido rodeando en tendón del tibial posterior.
B: RM axial en T2. Tenosinovitis del flexor largo del hallux (Flecha delgada) y flexor largo de los dedos. (Flecha gruesa).

Fig 75. Tenosinovitis de los peroneos.
A: RM axial en T2 y B: RM coronal en STIR. Presencia de líquido rodeando completamente,
los tendones peroneos por tenosinovitis.
Atrapamiento:
Es un tipo de tenosinovitis estenosante. En estos casos la inflamación crónica produce fibrosis, atrapamiento muscular y en algunos casos ruptura a largo plazo. (7).
Ruptura:
La ruptura tendinosa puede ocurrir por 2 mecanismos.
En un tendón debilitado por múltiples causas, entre ellas las infecciones o patologías sistémicas, como la diabetes o en un tendón sano, que hace un sobre-esfuerzo. (7).
La ruptura parcial se identifica como un área de aumento de la SI en T1, DP y T2, dentro del tendón, similar a los cambios por tendinosis. (1, 7). (Fig 76).
En la ruptura completa, se encuentra solución de continuidad de las fibras, con espacio hiperintenso en T2 entre los extremos. (7). (Fig 77 A).
En la rupturas agudas, el espacio entre los extremos muestra SI intermedia en T1 e hiperintensa en T2, por edema y hemorragia. En los casos crónicos el espacio puede ocuparse por fibrosis o grasa. (1). (Fig 77 B).
Con la ecografía, hay pérdida en la orientación de las fibras y área hipoecoica dentro del tendón en la ruptura parcial o discontinuidad en casos de ruptura completa. Entre los extremos, se encuentra un espacio lleno de líquido, tejido de granulación y fibrosis, dependiendo del tiempo de evolución. (4). (Fig 78).

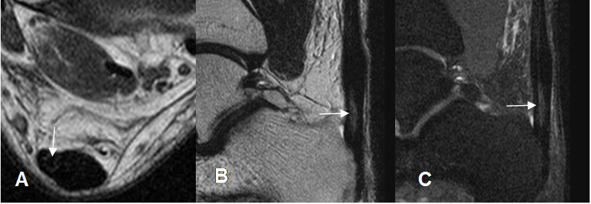
Fig 76. Ruptura tendinosa parcial.
A: RM axial en T2, B: RM sagital en T2 y C: RM sagital en STIR. Tendón engrosado, con zona hiperintensa por tendinitis o ruptura parcial.

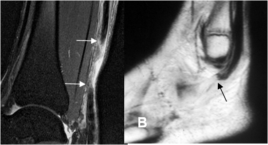
Fig 77 A. Ruptura tendinosa.
A: RM sagital en STIR, B: RM sagital en T2 y C: RM axial en STIR. Solución de continuidad en la mayoría de fibras del tendón extensor común de los dedos, como complicación de una artroscopia del tobillo.

Fig 77 B. Ruptura tendinosa completa.
A: RM sagital en STIR. Ruptura completa del aquiles, con líquido y tejido de granulación entre los extremos.
B: RM sagital en T1. Ruptura de los tendones peroneos, los cuales están retraídos y con extremos a nivel del maleolo externo.

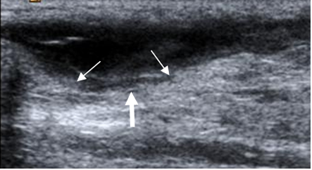
Fig 78. Ruptura tendinosa.
Ecografía vista sagital. Ruptura completa del aquiles, con líquido y tejido inflamatorio,
(Flecha gruesa), entre los extremos (Flechas delgadas).
Dislocación:
Es la pérdida de la posición normal del tendón, generalmente asociada a eventos traumáticos.
Ocurre principalmente en los tendones peroneos y el tibial posterior (1) y son mejor vistos en los cortes axiales.
| Fecha de creación | Marzo 1 de 2011 |
| Fecha de actualización | Agosto 20, 2012 |