FIBROMATOSIS PLANTAR.
Es también conocida como enfermedad de Ledderhose.
Corresponde a una forma de fibrosis superficial localizada, que aparecen en la parte interna de la fascia plantar. (5).
Los nódulos pueden ser únicos o múltiples y generalmente son menores de 3 cm. (20). Tienen baja SI en T1 y T2 y un grado variable de realce con el contraste. (5, 19).
(Fig 112, 113 A y B).
En casos de lesión agresiva, hay compromiso del tejido subcutáneo, músculo o hueso y los nódulos pueden ser hiperintensos en T2 y STIR. (20).
Estas lesiones deben diferenciarse de los nódulos reumatoideos, que son lesiones de tejidos blandos, localizada entre el calcáneo y la piel y que realza con el contraste. (20).

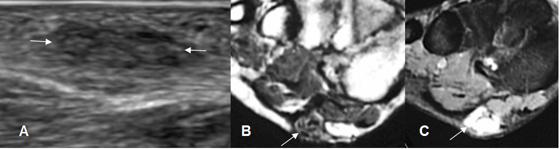
Fig 112. Fibromatosis plantar.
A: Ecografía vista sagital. Imagen hipoecoica y parcialmente definida en la planta del pie.
B: RM coronal en T1 y C: RM coronal en STIR. Area redondeada y superficial, que
reemplaza la grasa, hipointensa en T1 e hiperintensa en STIR.

Fig 113 A. Fibromatosis plantar.
A: RM coronal y B: RM axial en T1 con contraste. Imagen ovalada, la cual realza con el contraste, que compromete el ramo del 2º dedo de la fascia plantar y corresponde a fibromatosis.
C: RM coronal y D: RM axial con contraste. Igual paciente anterior con lesión en el otro pie, que compromete los ramos faciales del 1º, 2º y 3º dedo, por fibromatosis.

Fig 113 B. Fibromatosis plantar gigante.
A: RM sagital en T2. Imagen ovalada en la planta del pie, hipointensa en T2, por la presencia de tejido fibroso.
B: RM sagital en T1 simple y C: RM T1 con contraste. Lesión hipointensa, que realza fuertemente con el contraste.
| Fecha de creación | Marzo 1 de 2011 |
| Fecha de actualización | Diciembre 3, 2014 |