FASCEITIS PLANTAR.
Es una causa de dolor plantar, ocasionado por stress mecánico, que produce microfracturas e inflamación en la fascia plantar y los tejidos vecino. (1, 6).
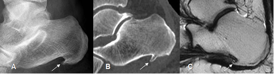
En la Rx lateral, puede identificarse un espolón calcáneo, pero debe tenerse en cuenta que puede estar presente en el 25% de pacientes asintomáticos. (1). (Fig 114).

Fig 114. Espolón calcáneo.
A: Rx lateral, B: TAC reconstrucción sagital y C: RM T2 sagital del tobillo.
Con la ecografía se aprecia una fascia hipoecoica, inflamada con el estudio doppler y engrosada, con un diámetro mayor de 5 mm a nivel de la inserción calcánea. (4).
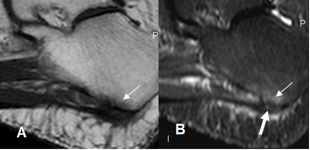
En la RM mide más de 8 mm de espesor, siendo de señal intermedia en T1 e hiperintensa en T2, en su parte proximal. (1). (Fig 115 y 116).
En los casos crónicos se asocia a formación de espolón, secundario a la periostitis y puede calcificarse. (6).
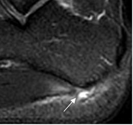
Su ruptura generalmente ocurre en una fascia inflamada y asociada a infiltración local de esteroides. Se observa como solución de continuidad con o sin retracción, edema y hemorragia. (6). (Fig 117).

Fig 115. Fasceitis plantar.
A: RM sagital en T1 y B: RM sagital en STIR. Zona hipointensa en T1 e hiperintensa en STIR, sobre la inserción de la fascia por osteítis. (Flecha delgada). Hay área hiperintensa en la fascia, por inflamación o ruptura parcial. (Flecha gruesa).

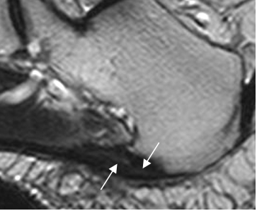
Fig 116. Fasceitis plantar.
RM sagital en T2. Fascia engrosada y con áreas hiperintensas, por cambios inflamatorios.

Fig 117. Ruptura parcial.
RM sagital en STIR. Ruptura parcial de la fascia a nivel de su inserción (Flecha), con cambios inflamatorios periféricos.
| Fecha de creación | Marzo 1 de 2011 |
| Fecha de actualización | Noviembre 22, 2011 |