ARTROPATIAS.
Sus cambios se discutirán mejor en el capitulo dedicado a este grupo de enfermedades.
La articulación del tobillo puede estar afectada por cualquiera de tipo de artropatía, siendo las más comunes:
- Artropatía degenerativa: Presencia de osteofitos, disminución no uniforme del espacio articular, esclerosis ósea y quistes subcondrales. El compromiso es asimétrico. (Fig 129 y 130).

Fig 129. Artropatía degenerativa.
A: Rx AP y B: RM axial en T1. Cambios degenerativos en 1º articulación metatarsofalángica, con disminución del espacio articular y esclerosis.
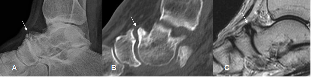
Fig 130 A. Artropatía degenerativa.
A: Rx lateral, B: TAC reconstrucción sagital y C: RM sagital en T2. Presencia de cambios degenerativos, con formación de osteofitos en la articulación taloescafoidea.

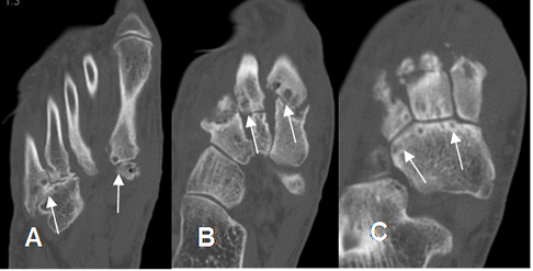
Fig 130 B. Artropatía degenerativa.
A, B y C: TAC axial. Cambios degenerativos con disminución del espacio y lesiones osteocondrales, en las articulaciones de Lisfranc (A y B) y de Chopart. (C).
- Artropatía neuropática: Puede semejar un proceso infeccioso tanto clínica, como radiológicamente. Ocurre por el microtrauma repetido en la articulación y los grupos ligamentarios, por la pérdida de la sensibilidad y la angiopatía asociada. Es más común en la articulación de lisfranc o tarsometatarsiana del 1º dedo. (23).Es una combinación de destrucción y producción ósea, que puede tener evolución aguda o crónica.
En la forma aguda se encuentra edema de tejidos blandos, que puede similar a la celulitis, pero sin cambios radiológicos significativos.
En la fase crónica hay deformidad, subluxación del medio y retropie y reabsorción de los huesos del tarso. (23). (Fig 131 y 132).

Fig 131. Artropatía neuropática en fase crónica.
A: Rx AP y B: Rx lateral del tobillo. Postquirúrgico de fractura del tobillo. Pérdida del espacio articular tibioastragalino, esclerosis, reabsorción ósea y subluxación.
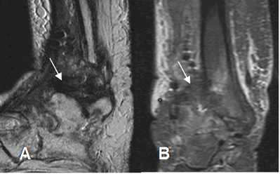
Fig 132. Artropatía neuropática en fase crónica.
A: RM sagital en T2 y B: RM coronal en STIR. Cambios residuales con signos de sinovitis crónica, hipointensa en ambas secuencias.
- Artritis séptica: Generalmente se producen por diseminación hematógena, pero en los pacientes diabéticos ocurre por continuidad, a partir de una infección en los tejidos blandos. (23).En el tobillo y el pie, la artritis inflamatoria ocurre más frecuentemente en la articulación subtalar y las metatarsofalángicas. (1).
Lo que prima es el derrame articular, la disminución del espacio y los cambios inflamatorios en los tejidos blandos. (23).
Es muy frecuente la asociación con fistulización.
- Artropatía reumática: En el pie, los cambios más precoces por esta patología aparecen en las articulaciones metatarsofalángicas. (5).Los hallazgos clásicos son osteopenia, disminución simétrica de los espacios articulares, erosiones y deformidad. Ausencia de osteofitos. (Fig 133).

Fig 133. Artropatía reumática.
A: Rx AP de pies. Signos de osteopenia, con subluxación de las articulaciones tarsometatarsianas y ausencia de osteofitos.
- Artropatía por gota: Típica afección de la articulación metatarsofalángica del 1º dedo, por el depósito de cristales de urato.Se encuentran lesiones en sacabocados, de bordes escleróticos y localización excéntrica. Asocio a cambios inflamatorios y nódulos de tejidos blandos.
(Tofos). (24). (Fig 134).

Fig 134. Artropatía por gota.
Rx AP del pie. Lesiones radiolúcidas, de bordes escleróticos, en el 1º metatarsiano (Flechas delgadas), con prominencia de tejidos blandos, que corresponde a tofo. (Flechas gruesas).
- Sinovitis villonodular pigmentaria: Ocasionada por proliferación sinovial, cuya principal característica es el depósito de hemosiderina., por el sangrado continuo. (25).En la RM hay engrosamiento focal o difuso de la sinovial, la cual es hipointensa en T1 y T2, por la presencia de hemosiderina y la fibrosis. (25).
| Fecha de creación |
Marzo 1 de 2011 |
| Fecha de actualización |
Noviembre 22, 2011 |