GENERALIDADES SACROILIACAS.
Las articulaciones sacroilíacas (SI) tienen 2 componentes. Los 2/3 inferiores presentan cartílago articular y el 1/3 superior es una sindesmosis.
Está fijada por los ligamentos interóseos: (1). (Fig 1 y 2).

Fig 1. Ligamentos normales de articulación sacroiliaca.
Sacroiliaco posterior (SIP) y anterior (SIA), sacroespinoso (SE) y sacrotuberoso (ST).

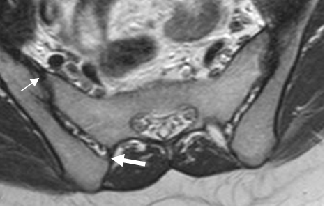
Fig 2. Ligamentos normales de articulación sacroiliaca.
RM axial en T1. Ligamentos sacroiliaco anterior (Flecha delgada) y posterior (Flecha gruesa).
Como el cartílago del componente iliaco es más delgado, los cambios degenerativos son más precoces y comprometan inicialmente esta estructura. (1).
| Fecha de creación | Marzo 1 de 2011 |
| Fecha de actualización | Noviembre 17, 2014 |