TRAUMA DE PLATILLOS TIBIALES.
Son las fracturas mas frecuentes de la tibia proximal y pueden ser intra o extra-articulares.
En ocasiones pasan desapercibidas, si no se acompañan de algún grado de depresión. (21). En estos casos es útil el TAC y las reconstrucciones 3D, para confirmar el diagnóstico, cuantificar la depresión y valorar la extensión. (21, 22). Un desplazamiento mayor de 4 cm o depresión superior a 1 cm, son indicaciones de reducción quirúrgica. (1). (Fig 42 a 46).
Las fracturas de las espinas tibiales o eminencia intercondílea, son el resultado de giros violentos y por su mecanismo, se deben descartar las lesiones ligamentarias. (1,21).
La RM es una modalidad que puede aportar información adicional, como lesiones asociadas en los meniscos y ligamentos. (1). (Fig 47, 48 y 49).

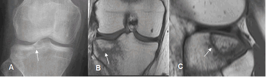
Fig 42. Fractura de la tibia.
A: Rx AP. Imágenes radiolúcidas en el tercio proximal de la tibia, por fracturas no desplazadas.
B: RM coronal en T1 y C: RM coronal en STIR. Imágenes hipointensas en T1 e hiperintensas en STIR, por fracturas no desplazadas.

Fig 43. Fractura de la tibia.
A: Rx digital AP, B: TAC axial y C: TAC reconstrucción coronal. Fractura lineal y no deprimida, del platillo tibial lateral.

Fig 44. Fractura de la tibia.
A: Rx AP. Fractura no desplazada del platillo tibial lateral.
B: RM coronal y C: RM sagital en T1. Fractura no deprimida y en sentido oblicuo, que compromete el platillo tibial lateral.

Fig 45. Fractura deprimida de la tibia.
A: Rx AP. Fractura deprimida del platillo tibial lateral.
B: TAC reconstrucción coronal y C: TAC reconstrucción sagital. Fractura conminuta y deprimida del platillo tibial lateral.

Fig 46. Fractura deprimida de la tibia.
A: Rx AP. Fractura deprimida del platillo tibial lateral.
B: RM coronal en T1 y C: RM sagital en T1. Fractura conminuta y deprimida del platillo tibial lateral.

Fig 47. Avulsión de la espina tibial anterior.
A: Rx lateral y B: Rx AP. Fragmento óseo proyectado sobre la parte anterior de la articulación, en la línea media. En la proyección lateral existe adicionalmente, una fractura de Segond. (Flecha gruesa).
C: RM sagital en T1. Avulsión de la espina tibial anterior, con alteración en la orientación y señal del LCA, por ruptura. (Flecha gruesa).

Fig 48. Avulsión de la espina tibial posterior.
A: Rx AP y B: Rx lateral. Fragmento óseo proyectado sobre la parte posterior de la articulación, a nivel de la línea media.
C: TAC reconstrucción sagital. Se confirma la avulsión de la espina tibial posterior.
Fig 49. Avulsión de la espina tibial posterior.
A: Rx lateral, B: TAC reconstrucción sagital y C: RM sagital en T2. Avulsión desplazada, de la espina tibial posterior. (Flecha delgada). En la RM se encuentra el LCP íntegro y de aspecto normal. (Flecha gruesa).
| Fecha de creación | Marzo 1 de 2011 |
| Fecha de actualización | Noviembre 7, 2011 |