TRAUMA DE PATELA.
La patela es el mas grande hueso sesamoideo del cuerpo.
Hay 2 variantes comunes que deben diferenciarse de fracturas. La patela bipartita o tripartita (Fragmentación del hueso, con bordes escleróticos) y el defecto posterior (Imagen radiolúcida redondeada, de bordes densos y bien definidos). Ambos ocurren clásicamente a nivel superolateral. (18). (Fig 50).
Las fracturas son el resultado de un trauma directo o excesiva tensión, sobre el tendón del cuadriceps. La mayoría son trasversas y afectan el tercio medio. (21). (Fig 51 a 54).

Fig 50. Patela bipartita.
A: Rx AP de rodilla. Fragmento supero-externo en la patela de bordes escleróticos, por variante bipartita.
B: RM coronal en T1 y C: RM sagital en T1. Iguales hallazgos a los descritos en la Rx simple.

Fig 51. Contusión de la patela.
A: RM sagital en T1 y B: RM sagital en STIR. Trauma directo, con área hipointensa en T1 e hiperintensa en STIR, que corresponde a contusión. Existe hemartrosis asociada. (Flechas gruesas).

Fig 52 A. Fractura de patela.
A: Rx AP. Sutil imagen radiolúcida, en el borde superointerno de la patela.
B: TAC axial y C: TAC reconstrucción coronal. Se confirma fractura vertical y no desplazada de la patela.

Fig 52 B. Fractura de patela.
A: Rx AP y B: Rx lateral de rodilla. Fractura transversa, en el tercio medio de la patela, con prominencia de los tejidos blandos.

Fig 53. Fractura de patela.
A: Rx lateral de rodilla. No se encuentran anormalidades.
B: RM sagital en T1 y C: RM sagital en STIR. Edema óseo, con fractura lineal y en sentido oblicuo.

Fig 54. Avulsión de patela.
A: Rx tangencial y B: Rx lateral de patela. Avulsión del polo inferior de la patela, con desplazamiento inferomedial del fragmento.
La luxación de la patela se produce por trauma en valgo y rotación interna de la rodilla y generalmente es lateral. (23).
En ocasiones la luxación es transitoria, se reduce espontáneamente y su diagnóstico es difícil. (1, 21).
Con la Rx simple no existen dificultades para su detección. (Fig 55 A).
En la RM existe contusión osea en la parte medial de la patela y la parte anterior del cóndilo femoral lateral. (1, 21). (Fig 55 B).
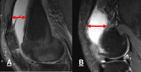
En todas las lesiones se encuentra hemartrosis asociada. (24). Se puede hacer el diagnóstico de derrame, cuando el diámetro AP en un corte sagital es mayor de 4 mm a nivel del saco suprapatelar y mas de 10 mm en el receso lateral. (25). (Fig 56 A y 56 B).
El retináculo medial siempre está lesionado de forma parcial o completa, pero el cartílago articular puede estar conservado. (12, 21, 24). (Fig 57 A y 57 B).
En los casos de lesión crónica, puede encontrarse una lesión osteocondral en la parte interna de la patela. (25). (Fig 58).

Fig 55 A. Luxación de patela.
Rx tangencial de patela. Desplazamiento lateral de la patela, por luxación.

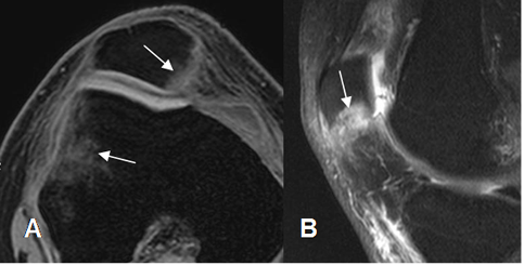
Fig 55 B. Luxación de patela.
A: RM axial en STIR. Luxación reducida, con contusión en el cóndilo femoral lateral y el borde interno de la patela.
B: RM sagital en STIR. El mismo paciente, con contusión en el polo inferior de la patela.

Fig 56 A. Derrame articular.
A y B: RM sagital en STIR. Derrame articular, con incremento del diámetro AP
a nivel suprapatelar, en A y del receso lateral, en B.

Fig 56 B. Lipoartrosis.
A: Rx lateral. Fractura conminuta del fémur distal. Se visualiza en cojinete graso a nivel suprapatelar, por derrame articular.
B: TAC reconstrucción sagital y C: TAC axial. Nivel grasa/líquido intra-articular, que indica lipoartrosis.

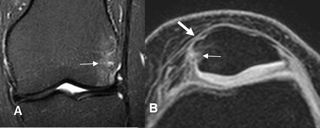
Fig 57 A. Adelgazamiento del retináculo.
A: RM coronal en STIR y B: RM axial en 3D T1 STIR. Contusión femoropatelar, por luxación. (Flechas delgadas).
Cambios inflamatorios en los tejidos blandos y adelgazamiento del retináculo medial, por ruptura parcial. (Flecha gruesa).

Fig 57 B. Ruptura del retináculo.
A: RM coronal en STIR y B: RM axial en FFE T1 STIR. Contusión del cóndilo lateral y el borde interno de la patela. (Flechas delgadas). Hay ruptura del retináculo medial. (Flecha gruesa).

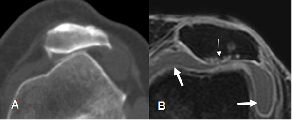
Fig 58. Luxación crónica de patela.
A: TAC axial. Lateralización de la patela, con pérdida del espacio patelofemoral y formación de osteofitos.
B: RM axial en FFE T1 STIR. Lateralización de la patela, con pérdida del cartílago articular y lesiones osteocondrales en el vértice. Existe derrame articular asociado. (Flechas gruesas).
| Fecha de creación | Marzo 1 de 2011 |
| Fecha de actualización | Junio 14, 2014 |